Suppr超能文献

干性标志物 ALDH1A1 通过视黄酸/HIF-1α/VEGF 信号通路促进 MCF-7 乳腺癌细胞的血管生成。

Stemness marker ALDH1A1 promotes tumor angiogenesis via retinoic acid/HIF-1α/VEGF signalling in MCF-7 breast cancer cells.

机构信息

Department of Life Sciences, University of Siena, Via A. Moro 2, 53100, Siena, Italy.

Department of Medicine, Surgery and Neuroscience, University of Siena, Via A. Moro 2, 53100, Siena, Italy.

出版信息

J Exp Clin Cancer Res. 2018 Dec 12;37(1):311. doi: 10.1186/s13046-018-0975-0.

Abstract

BACKGROUND

Aldehyde dehydrogenase 1A1 (ALDH1A1), a member of aldehyde dehydrogenase family, is a marker of stemness in breast cancer. During tumor progression cancer stem cells (CSCs) have been reported to secrete angiogenic factors to orchestrate the formation of pathological angiogenesis. This vasculature can represent the source of self-renewal of CSCs and the route for further tumor spreading. The aim of the present study has been to assess whether ALDH1A1 controls the output of angiogenic factors in breast cancer cells and regulates tumor angiogenesis in a panel of in vitro and in vivo models.

METHODS

Stemness status of breast cancer cells was evaluated by the ability to form turmorspheres in vitro. A transwell system was used to assess the angiogenic features of human umbilical vein endothelial cells (HUVEC) when co-cultured with breast cancer cells MCF-7 harboring different levels of ALDH1A1. Under these conditions, we survey endothelial proliferation, migration, tube formation and permeability. Moreover, in vivo, MCF-7 xenografts in immunodeficient mice allow to evaluate blood flow, expression of angiogenic factors and microvascular density (MVD).

RESULTS

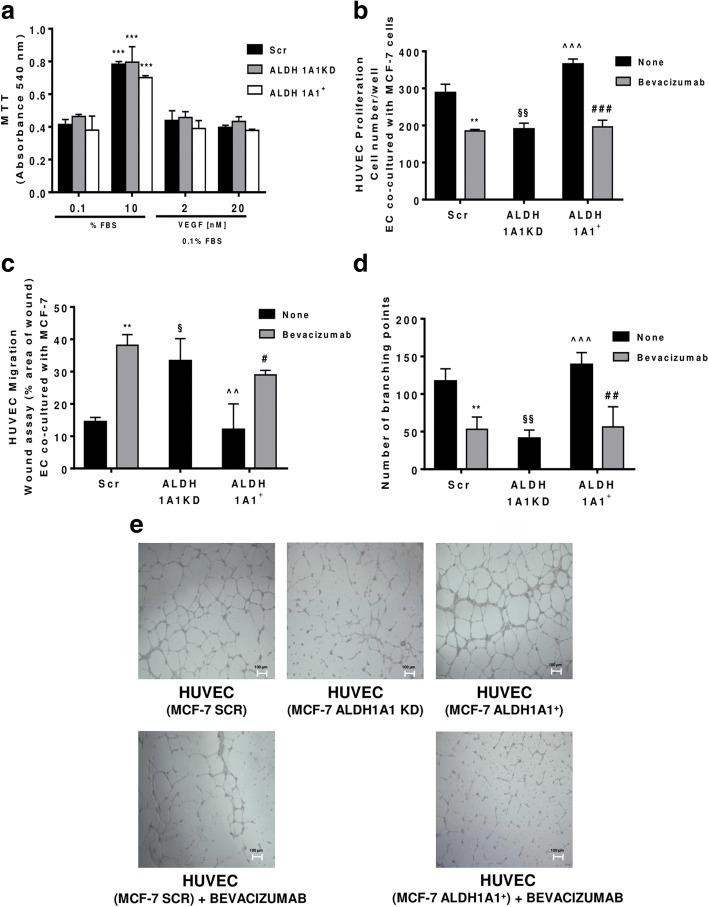
In MCF-7 we observed that ALDH1A1 activity conferred stemness property and its expression correlated with an activation of angiogenic factors. In particular we observed a significant upregulation of hypoxia inducible factor-1α (HIF-1α) and proangiogenic factors, such as vascular endothelial growth factor (VEGF). High levels of ALDH1A1, through the retinoic acid pathway, were significantly associated with VEGF-mediated angiogenesis in vitro. Co-culture of HUVEC with ALDH1A1 expressing tumor cells promoted endothelial proliferation, migration, tube formation and permeability. Conversely, downregulation of ALDH1A1 in MCF-7 resulted in reduction of proangiogenic factor release/expression and impaired HUVEC angiogenic functions. In vivo, when subcutaneously implanted in immunodeficient mice, ALDH1A1 overexpressing breast tumor cells displayed a higher expression of VEGF and MVD.

CONCLUSION

In breast tumors, ALDH1A1 expression primes a permissive microenvironment by promoting tumor angiogenesis via retinoic acid dependent mechanism. In conclusion, ALDH1A1 might be associated to progression and diffusion of breast cancer.

摘要

背景

醛脱氢酶 1A1(ALDH1A1)是醛脱氢酶家族的成员,是乳腺癌中干性的标志物。在肿瘤进展过程中,据报道癌症干细胞(CSC)会分泌血管生成因子来协调病理性血管生成的形成。这种脉管系统可以代表 CSC 的自我更新来源和肿瘤进一步扩散的途径。本研究的目的是评估 ALDH1A1 是否控制乳腺癌细胞中血管生成因子的输出,并在一系列体外和体内模型中调节肿瘤血管生成。

方法

通过在体外形成肿瘤球体来评估乳腺癌细胞的干性状态。使用 Transwell 系统评估具有不同 ALDH1A1 水平的 MCF-7 乳腺癌细胞与人类脐静脉内皮细胞(HUVEC)共培养时的血管生成特征。在这些条件下,我们检测内皮细胞的增殖、迁移、管形成和通透性。此外,在体内,免疫缺陷小鼠中的 MCF-7 异种移植允许评估血流、血管生成因子的表达和微血管密度(MVD)。

结果

在 MCF-7 中,我们观察到 ALDH1A1 活性赋予了干性特性,其表达与血管生成因子的激活相关。特别是,我们观察到缺氧诱导因子-1α(HIF-1α)和促血管生成因子(如血管内皮生长因子(VEGF))的显著上调。高水平的 ALDH1A1 通过视黄酸途径与体外 VEGF 介导的血管生成显著相关。与表达 ALDH1A1 的肿瘤细胞共培养促进了内皮细胞的增殖、迁移、管形成和通透性。相反,MCF-7 中 ALDH1A1 的下调导致促血管生成因子的释放/表达减少,并损害了 HUVEC 的血管生成功能。在体内,当皮下植入免疫缺陷小鼠时,ALDH1A1 过表达的乳腺癌肿瘤细胞表现出更高的 VEGF 和 MVD 表达。

结论

在乳腺癌中,ALDH1A1 的表达通过依赖视黄酸的机制促进肿瘤血管生成,从而为肿瘤的血管生成创造了一个许可的微环境。因此,ALDH1A1 可能与乳腺癌的进展和扩散有关。

https://cdn.ncbi.nlm.nih.gov/pmc/blobs/7e92/6291966/9647e9dd2b2a/13046_2018_975_Fig1_HTML.jpg

文献AI研究员

20分钟写一篇综述,助力文献阅读效率提升50倍。

立即体验

用中文搜PubMed

大模型驱动的PubMed中文搜索引擎

马上搜索

文档翻译

学术文献翻译模型,支持多种主流文档格式。

立即体验