Suppr超能文献

DNase-1 处理在大鼠肠缺血再灌注损伤模型中发挥保护作用。

DNase-1 Treatment Exerts Protective Effects in a Rat Model of Intestinal Ischemia-Reperfusion Injury.

机构信息

Research Institute of General Surgery, Jinling Hospital, Nanjing University School of Medicine, Nanjing, 210002, Jiangsu Province, P.R. China.

出版信息

Sci Rep. 2018 Dec 12;8(1):17788. doi: 10.1038/s41598-018-36198-2.

Abstract

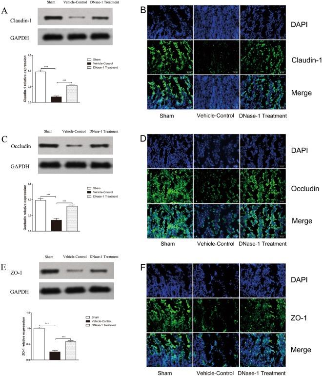
A growing number of studies have recently revealed a potential role for neutrophil extracellular traps (NETs) in the development of inflammation, coagulation and cell death. Deleterious consequences of NETs have been identified in ischemia-reperfusion (I/R)-induced organ damage, thrombosis and sepsis. And exogenous DNase-I has been suggested as a therapeutic strategy to attenuate ischemia-reperfusion (I/R) injuries in the kidney, brain and myocardium. Herein, we designed a study to investigate whether NETs contribute to the pathogenesis of intestinal I/R injury and evaluated the therapeutic value of DNase-1 in a rat model of intestinal I/R injury. In this rat model of intestinal I/R injury, we found that extracellular DNA was readily detectable in rat serum after 1 h of ischemia and 2 h of reperfusion. Treatment with DNase-1 significantly reduced the inflammatory response, restored intestinal barrier integrity and increased the expression of tight junction proteins. Our results indicate the existence of NETs in I/R-challenged intestinal tissues and firstly provide more evidence that DNase-1 may be an effective treatment for attenuating intestinal I/R injury.

摘要

越来越多的研究最近揭示了中性粒细胞胞外陷阱 (NETs) 在炎症、凝血和细胞死亡发展中的潜在作用。在缺血再灌注 (I/R) 诱导的器官损伤、血栓形成和败血症中,已经发现 NETs 的有害后果。外源性 DNase-I 已被提议作为一种治疗策略,以减轻肾脏、大脑和心肌的缺血再灌注 (I/R) 损伤。在此,我们设计了一项研究,以调查 NETs 是否有助于肠道 I/R 损伤的发病机制,并评估 DNase-1 在肠道 I/R 损伤大鼠模型中的治疗价值。在这种肠道 I/R 损伤大鼠模型中,我们发现缺血 1 小时和再灌注 2 小时后,大鼠血清中很容易检测到细胞外 DNA。DNase-1 治疗可显著减轻炎症反应,恢复肠道屏障完整性,并增加紧密连接蛋白的表达。我们的结果表明,在 I/R 挑战的肠道组织中存在 NETs,并首次提供更多证据表明 DNase-1 可能是一种有效治疗方法,可减轻肠道 I/R 损伤。

https://cdn.ncbi.nlm.nih.gov/pmc/blobs/56ee/6290768/2e5efe2591a8/41598_2018_36198_Fig1_HTML.jpg

文献AI研究员

20分钟写一篇综述,助力文献阅读效率提升50倍。

立即体验

用中文搜PubMed

大模型驱动的PubMed中文搜索引擎

马上搜索

文档翻译

学术文献翻译模型,支持多种主流文档格式。

立即体验