Suppr超能文献

WTAP的基因表达与膀胱癌及患者预后之间的关系。

Relationship between the genetic expression of WTAP and bladder cancer and patient prognosis.

作者信息

Chen Lezhong, Wang Xinghuan

机构信息

Department of Urology, Zhongnan Hospital of Wuhan University, Wuhan, Hubei 430071, P.R. China.

Department of Urology, Baoan Central Hospital of Shenzhen, Shenzhen, Guangdong 518102, P.R. China.

出版信息

Oncol Lett. 2018 Dec;16(6):6966-6970. doi: 10.3892/ol.2018.9554. Epub 2018 Oct 5.

Abstract

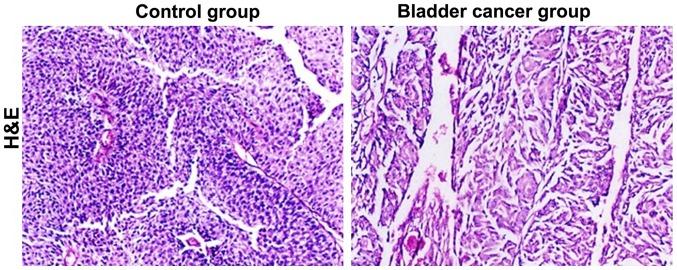
The relationship between the gene expression of Wilms tumor 1-associated protein (WTAP) and bladder cancer was investigated to study the effect of its expression on patient prognosis. Sixty-two fresh specimens of bladder transitional cell cancer tissues were collected as the bladder cancer group, while 20 normal bladder mucosa specimens comprised the control group. Hematoxylin and eosin staining was conducted to detect the pathological differences between the groups and the immunohistochemistry was used to test the expression levels of WTAP in the tissues. Reverse transcription-polymerase chain reaction (RT-PCR) was used to detect the mRNA expression levels of WTAP. Moreover, western blot analysis was used to examine the WTAP expression levels. At the same time, Cox regression multi-factor survival analysis was conducted for the related factors to the prognoses of bladder cancer patients. The structures of cells in the bladder cancer group were destroyed as was evident by the shrunken cell nuclei, while the tissues in the control group were intact. WTAP expression in the bladder cancer group was significantly increased compared with that in the control group. A small number of mRNAs and proteins were higher in the bladder cancer group than that in the control group. The differences in WTAP expression between the bladder cancer and control groups were statistically significant (P<0.05). There were obvious differences in the postoperative recurrence risk between the patients with a negative WTAP protein expression and those with a positive one (P<0.05). In conclusion, WTAP may play an important role in the occurrence and development of bladder cancer and can be considered as a potential target for bladder cancer treatment, providing a new basis for clinical diagnoses.

摘要

研究了威尔姆斯瘤1相关蛋白(WTAP)的基因表达与膀胱癌之间的关系,以探讨其表达对患者预后的影响。收集62例膀胱移行细胞癌组织新鲜标本作为膀胱癌组,20例正常膀胱黏膜标本作为对照组。进行苏木精-伊红染色以检测两组之间的病理差异,并采用免疫组织化学检测组织中WTAP的表达水平。采用逆转录-聚合酶链反应(RT-PCR)检测WTAP的mRNA表达水平。此外,采用蛋白质免疫印迹分析检测WTAP的表达水平。同时,对膀胱癌患者预后的相关因素进行Cox回归多因素生存分析。膀胱癌组细胞结构被破坏,细胞核萎缩明显,而对照组组织完整。膀胱癌组WTAP表达较对照组显著增加。膀胱癌组少量mRNA和蛋白质水平高于对照组。膀胱癌组与对照组WTAP表达差异有统计学意义(P<0.05)。WTAP蛋白表达阴性与阳性患者术后复发风险有明显差异(P<0.05)。综上所述,WTAP可能在膀胱癌的发生发展中起重要作用,可被视为膀胱癌治疗的潜在靶点,为临床诊断提供新的依据。

https://cdn.ncbi.nlm.nih.gov/pmc/blobs/4f98/6256415/341d23500139/ol-16-06-6966-g00.jpg

文献AI研究员

20分钟写一篇综述,助力文献阅读效率提升50倍。

立即体验

用中文搜PubMed

大模型驱动的PubMed中文搜索引擎

马上搜索

文档翻译

学术文献翻译模型,支持多种主流文档格式。

立即体验