Suppr超能文献

肝细胞癌衍生的外泌体 miRNA-21 通过将肝星状细胞转化为癌相关成纤维细胞促进肿瘤进展。

Hepatocellular carcinoma-derived exosomal miRNA-21 contributes to tumor progression by converting hepatocyte stellate cells to cancer-associated fibroblasts.

机构信息

Department of Hepatobiliary Surgery, Affiliated Drum Tower Hospital of Nanjing University Medical School, 321, Zhongshan Road, Nanjing, 210008, Jiangsu Province, China.

Department of Clinical Biobank, Nantong University Affiliated Hospital, 20, Xisi Road, Nantong, 226001, Jiangsu Province, China.

出版信息

J Exp Clin Cancer Res. 2018 Dec 27;37(1):324. doi: 10.1186/s13046-018-0965-2.

Abstract

BACKGROUND

Hepatocellular carcinoma (HCC) remains a global challenge due to its high morbidity and mortality rates as well as poor response to treatment. The communication between tumor-derived elements and stroma plays a critical role in facilitating cancer progression of HCC. Exosomes are small extracellular vesicles (EVs) that are released from the cells upon fusion of multivesicular bodies with the plasma membrane. There is emerging evidence indicating that exosomes play a central role in cell-to-cell communication. Much attention has been paid to exosomes since they are found to transport bioactive proteins, messenger RNA (mRNAs) and microRNA (miRNAs) that can be transferred in active form to adjacent cells or to distant organs. However, the mechanisms underlying such cancer progression remain largely unexplored.

METHODS

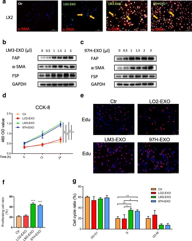
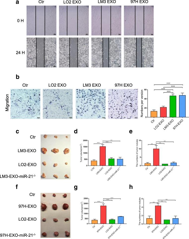
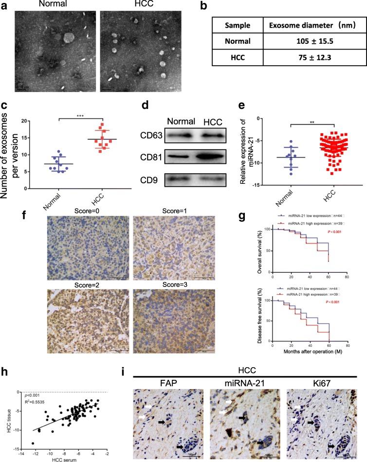
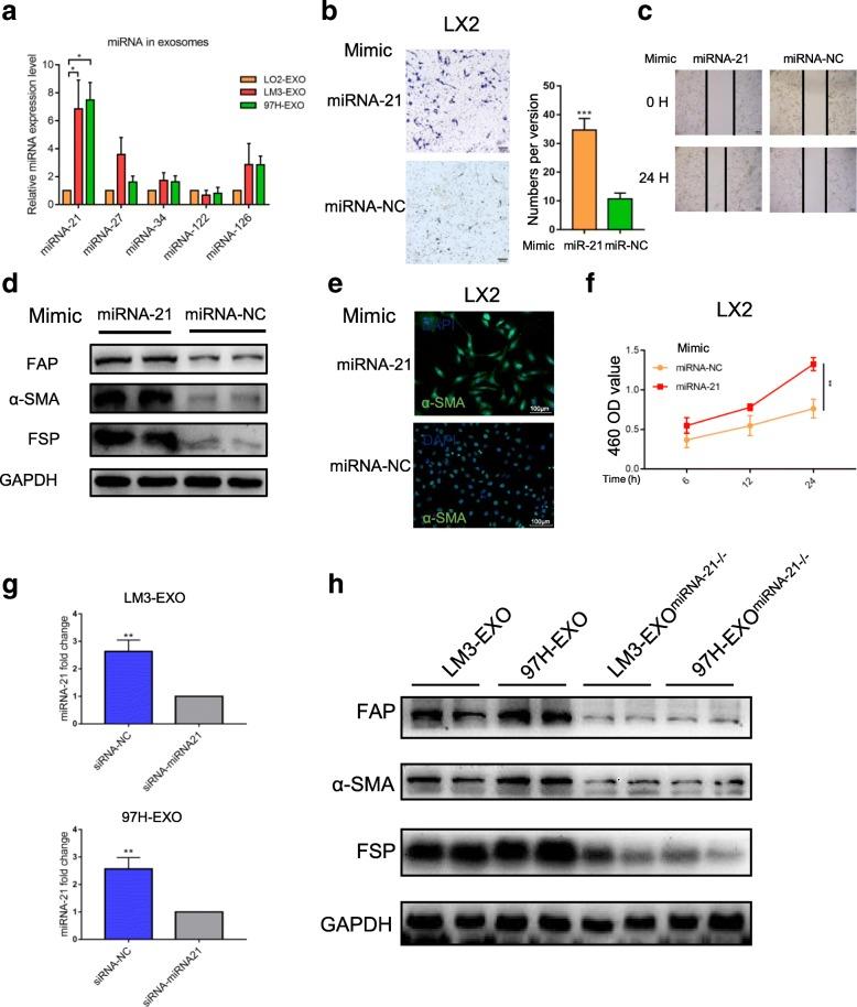
Exosomes were isolated by differential ultracentrifugation from conditioned medium of HCC cells and identified by electron microscopy and Western blotting analysis. Hepatic stellate cells (HSCs) were treated with different concentrations of exosomes, and the activation of HSCs was analyzed by Western blotting analysis, wound healing, migration assay, Edu assay, CCK-8 assay and flow cytometry. Moreover, the different miRNA levels of exosomes were tested by real-time quantitative PCR (RT-PCR). The angiogenic ability of activated HSCs was analyzed by qRT-PCR, CCK-8 assay and tube formation assay. In addition, the abnormal lipid metabolism of activated HSCs was analyzed by Western blotting analysis and Oil Red staining. Finally, the relationship between serum exosomal miRNA-21 and prognosis of HCC patients was evaluated.

RESULTS

We showed that HCC cells exhibited a great capacity to convert normal HSCs to cancer-associated fibroblasts (CAFs). Moreover, our data revealed that HCC cells secreted exosomal miRNA-21 that directly targeted PTEN, leading to activation of PDK1/AKT signaling in HSCs. Activated CAFs further promoted cancer progression by secreting angiogenic cytokines, including VEGF, MMP2, MMP9, bFGF and TGF-β. Clinical data indicated that high level of serum exosomal miRNA-21 was correlated with greater activation of CAFs and higher vessel density in HCC patients.

CONCLUSIONS

Intercellular crosstalk between tumor cells and HSCs was mediated by tumor-derived exosomes that controlled progression of HCC. Our findings provided potential targets for prevention and treatment of live cancer.

摘要

背景

肝细胞癌(HCC)仍然是一个全球性的挑战,因为它的发病率和死亡率很高,而且对治疗的反应也很差。肿瘤衍生元素与基质之间的通讯在促进 HCC 的癌症进展中起着关键作用。外泌体是小细胞外囊泡(EVs),当多泡体与质膜融合时,这些囊泡从细胞中释放出来。有越来越多的证据表明,外泌体在细胞间通讯中起着核心作用。由于它们被发现可以运输具有生物活性的蛋白质、信使 RNA(mRNA)和 microRNA(miRNA),并且可以以活性形式转移到相邻细胞或远处器官,因此人们对外泌体给予了极大的关注。然而,这种癌症进展的机制在很大程度上仍未得到探索。

方法

通过差速超速离心法从 HCC 细胞的条件培养基中分离出外泌体,并通过电子显微镜和 Western blot 分析进行鉴定。用不同浓度的外泌体处理肝星状细胞(HSCs),通过 Western blot 分析、划痕愈合、迁移实验、Edu 实验、CCK-8 实验和流式细胞术分析 HSCs 的激活。此外,通过实时定量 PCR(RT-PCR)测试外泌体的不同 miRNA 水平。通过 qRT-PCR、CCK-8 实验和管形成实验分析激活的 HSCs 的血管生成能力。此外,通过 Western blot 分析和油红染色分析激活的 HSCs 的异常脂质代谢。最后,评估血清外泌体 miRNA-21 与 HCC 患者预后的关系。

结果

我们发现 HCC 细胞具有将正常 HSCs 转化为癌相关成纤维细胞(CAFs)的强大能力。此外,我们的数据显示,HCC 细胞分泌的外泌体 miRNA-21 直接靶向 PTEN,导致 HSCs 中 PDK1/AKT 信号的激活。激活的 CAFs 通过分泌血管生成细胞因子,包括 VEGF、MMP2、MMP9、bFGF 和 TGF-β,进一步促进癌症进展。临床数据表明,血清外泌体 miRNA-21 水平高与 HCC 患者 CAFs 的更大激活和更高的血管密度相关。

结论

肿瘤细胞与 HSCs 之间的细胞间通讯是由肿瘤衍生的外泌体介导的,这些外泌体控制着 HCC 的进展。我们的研究结果为预防和治疗肝癌提供了潜在的靶点。

https://cdn.ncbi.nlm.nih.gov/pmc/blobs/69af/6307162/1e13cfedde1e/13046_2018_965_Fig1_HTML.jpg

文献AI研究员

20分钟写一篇综述,助力文献阅读效率提升50倍。

立即体验

用中文搜PubMed

大模型驱动的PubMed中文搜索引擎

马上搜索

文档翻译

学术文献翻译模型,支持多种主流文档格式。

立即体验