Suppr超能文献

EB 病毒微小 RNA 减弱 T 细胞介导的免疫控制

MicroRNAs of Epstein-Barr Virus Attenuate T-Cell-Mediated Immune Control .

机构信息

Viral Immunobiology, Institute of Experimental Immunology, University of Zürich, Zürich, Switzerland.

Institute of Medical Virology, University of Zürich, Zürich, Switzerland.

出版信息

mBio. 2019 Jan 15;10(1):e01941-18. doi: 10.1128/mBio.01941-18.

Abstract

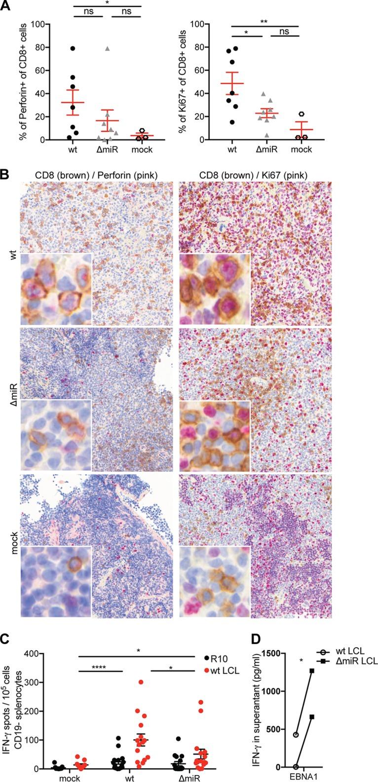
The human persistent and oncogenic Epstein-Barr virus (EBV) was one of the first viruses that were described to express viral microRNAs (miRNAs). These have been proposed to modulate many host and viral functions, but their predominant role has remained unclear. We compared recombinant EBVs expressing or lacking miRNAs during infection of mice with reconstituted human immune system components and found that miRNA-deficient EBV replicates to lower viral titers with decreased frequencies of proliferating EBV-infected B cells. In response, activated cytotoxic EBV-specific T cells expand to lower frequencies than during infection with miRNA-expressing EBV. However, when we depleted CD8 T cells the miRNA-deficient virus reached similar viral loads as wild-type EBV, increasing by more than 200-fold in the spleens of infected animals. Furthermore, CD8 T cell depletion resulted in lymphoma formation in the majority of animals after miRNA-deficient EBV infection, while no tumors emerged when CD8 T cells were present. Thus, miRNAs mainly serve the purpose of immune evasion from T cells and could become a therapeutic target to render EBV-associated malignancies more immunogenic. Epstein-Barr virus (EBV) infects the majority of the human population and usually persists asymptomatically within its host. Nevertheless, EBV is the causative agent for infectious mononucleosis (IM) and for lymphoproliferative disorders, including Burkitt and Hodgkin lymphomas. The immune system of the infected host is thought to prevent tumor formation in healthy virus carriers. EBV was one of the first viruses described to express miRNAs, and many host and viral targets were identified for these However, their role during EBV infection remained unclear. This work is the first to describe that EBV miRNAs mainly increase viremia and virus-associated lymphomas through dampening antigen recognition by adaptive immune responses in mice with reconstituted immune responses. Currently, there is no prophylactic or therapeutic treatment to restrict IM or EBV-associated malignancies; thus, targeting EBV miRNAs could promote immune responses and limit EBV-associated pathologies.

摘要

人类持续性和致癌性 EBV(Epstein-Barr virus)是最早被描述表达病毒 microRNA(miRNA)的病毒之一。这些 miRNA 被提出可以调节许多宿主和病毒功能,但它们的主要作用仍然不清楚。我们比较了在感染具有重建的人免疫系统成分的小鼠时表达或缺乏 miRNA 的重组 EBV,并发现 miRNA 缺陷 EBV 的复制导致病毒滴度降低,增殖的 EBV 感染 B 细胞频率降低。作为回应,激活的细胞毒性 EBV 特异性 T 细胞的扩增频率低于表达 miRNA 的 EBV 感染时。然而,当我们耗尽 CD8 T 细胞时,miRNA 缺陷病毒达到与野生型 EBV 相似的病毒载量,在感染动物的脾脏中增加了 200 多倍。此外,miRNA 缺陷 EBV 感染后,CD8 T 细胞耗竭导致大多数动物形成淋巴瘤,而当存在 CD8 T 细胞时则不会出现肿瘤。因此,miRNA 主要用于逃避 T 细胞的免疫逃逸,并且可能成为使 EBV 相关恶性肿瘤更具免疫原性的治疗靶点。Epstein-Barr virus (EBV) 感染了大多数人类人群,通常在其宿主内无症状地持续存在。然而,EBV 是传染性单核细胞增多症(IM)和淋巴增殖性疾病的病原体,包括 Burkitt 和霍奇金淋巴瘤。感染宿主的免疫系统被认为可以防止健康病毒携带者发生肿瘤形成。EBV 是最早被描述表达 miRNA 的病毒之一,并且已经鉴定出许多宿主和病毒靶标。然而,它们在 EBV 感染过程中的作用仍然不清楚。这项工作首次描述了 EBV miRNA 主要通过在具有重建免疫反应的小鼠中降低适应性免疫反应对抗原识别来增加病毒血症和病毒相关淋巴瘤。目前,尚无预防或治疗措施来限制 IM 或 EBV 相关恶性肿瘤;因此,靶向 EBV miRNA 可以促进免疫反应并限制 EBV 相关的病理。

https://cdn.ncbi.nlm.nih.gov/pmc/blobs/4ee0/6336420/c16db027fabf/mBio.01941-18-f0001.jpg

文献AI研究员

20分钟写一篇综述,助力文献阅读效率提升50倍。

立即体验

用中文搜PubMed

大模型驱动的PubMed中文搜索引擎

马上搜索

文档翻译

学术文献翻译模型,支持多种主流文档格式。

立即体验