Suppr超能文献

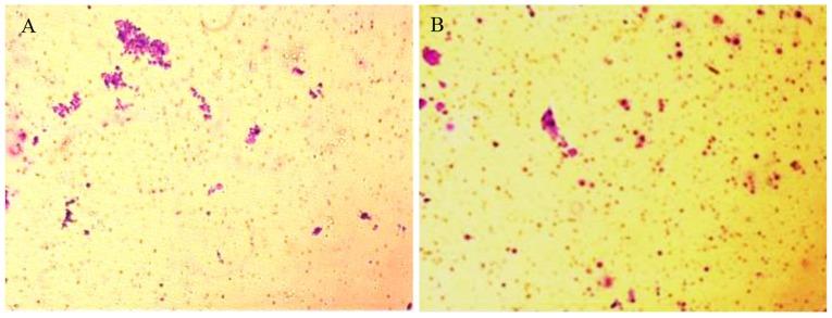
不同辐射剂量对 MMP1 表达的影响,以及 MMP1 敲低对 SW620 细胞活力和迁移的影响。

Effects of varying radiation dosages on MMP1 expression, and MMP1 knockdown on the viability and migration of SW620 cells.

机构信息

Department of Oncology, Qingdao Central Hospital, Qingdao, Shandong 266042, P.R. China.

Department of Respiratory Medicine, Linyi People's Hospital, Linyi, Shandong 276003, P.R. China.

出版信息

Mol Med Rep. 2019 Apr;19(4):2503-2508. doi: 10.3892/mmr.2019.9899. Epub 2019 Jan 28.

Abstract

Colorectal cancer (CRC), also known as bowel cancer, is one of the leading causes of cancer‑associated mortality worldwide at present. The aim of the present study was to detect the effects of matrix metalloproteinase 1 (MMP1) on the viability and migration of a CRC cell line in the presence or absence of variation X‑ray radiation doses. The CRC cell line, SW620, was cultured and treated with different X‑ray doses (0, 0.1, 0.5, 1, 3 and 6 Gy). MMP1 expression was downregulated via the application of a specific small interfering (si)‑RNA. The viability and migration of SW620 cells prior to and following transfection were detected with MTT and Transwell chamber assays, respectively. The application of siRNA transfection to silence MMP1 in SW620 cells resulted in reduced cell viability and migration (P<0.05). Compared with the control, the cell viability and migration of cells were significantly reduced when exposed to 0.5, 1, 3, and 6 Gy X‑ray radiation (P<0.05). In SW620 cells treated with different X‑ray doses, the mRNA expression levels of MMP1 were significantly reduced (P<0.05). Cells treated with 0.5 Gy X‑ray exposure exhibited the lowest mRNA expression levels of MMP1 when compared with other doses of X‑ray radiation. The expression of MMP1 was associated with the promotion of the viability and migration of SW620 cells. X‑ray radiation with 6 Gy dosages significantly reduced cell viability when compared with the control. Thus, MMP1‑targeted therapy combined with radiotherapy could be used for treating CRC.

摘要

结直肠癌(CRC),也称为肠癌,是目前全球癌症相关死亡率的主要原因之一。本研究旨在检测基质金属蛋白酶 1(MMP1)在存在或不存在不同 X 射线剂量变化的情况下对 CRC 细胞系活力和迁移的影响。将 CRC 细胞系 SW620 进行培养并分别用不同的 X 射线剂量(0、0.1、0.5、1、3 和 6 Gy)进行处理。通过应用特异性小干扰(si)RNA 下调 MMP1 的表达。用 MTT 和 Transwell 室测定法分别检测转染前后 SW620 细胞的活力和迁移。在 SW620 细胞中转染 siRNA 沉默 MMP1 可降低细胞活力和迁移(P<0.05)。与对照组相比,当暴露于 0.5、1、3 和 6 Gy X 射线时,细胞活力和迁移明显降低(P<0.05)。在接受不同 X 射线剂量处理的 SW620 细胞中,MMP1 的 mRNA 表达水平显著降低(P<0.05)。与其他 X 射线剂量相比,经 0.5 Gy X 射线照射处理的细胞中 MMP1 的 mRNA 表达水平最低。MMP1 的表达与 SW620 细胞活力和迁移的促进有关。与对照组相比,6 Gy 剂量的 X 射线照射可显著降低细胞活力。因此,针对 MMP1 的治疗联合放疗可用于治疗 CRC。

https://cdn.ncbi.nlm.nih.gov/pmc/blobs/d5f5/6423606/b9a2c8e62a8e/MMR-19-04-2503-g00.jpg

文献AI研究员

20分钟写一篇综述,助力文献阅读效率提升50倍。

立即体验

用中文搜PubMed

大模型驱动的PubMed中文搜索引擎

马上搜索

文档翻译

学术文献翻译模型,支持多种主流文档格式。

立即体验