Suppr超能文献

自闭症患者来源的诱导多能干细胞或人类诱导多能干细胞衍生的神经元是否会发展出过度活跃的神经元网络。

or human iPSC-derived neurons from individuals with autism develop hyperactive neuronal networks.

机构信息

Genetics & Genome Biology Program, The Hospital for Sick Children, Toronto, Canada.

The Centre for Applied Genomics, The Hospital for Sick Children, Toronto, Canada.

出版信息

Elife. 2019 Feb 12;8:e40092. doi: 10.7554/eLife.40092.

Abstract

UNLABELLED

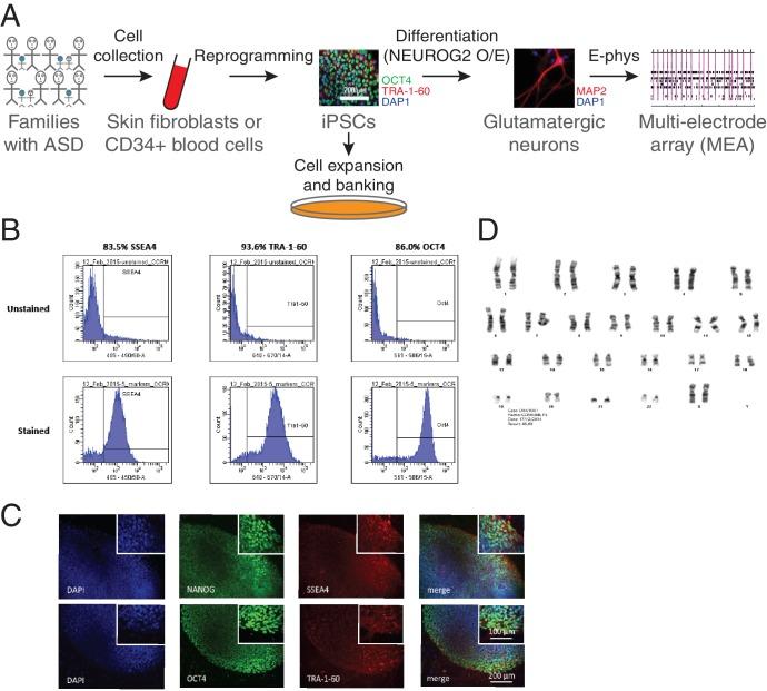
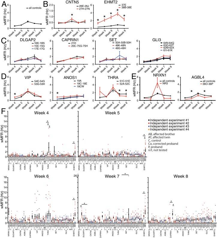
Induced pluripotent stem cell (iPSC)-derived neurons are increasingly used to model Autism Spectrum Disorder (ASD), which is clinically and genetically heterogeneous. To study the complex relationship of penetrant and weaker polygenic risk variants to ASD, 'isogenic' iPSC-derived neurons are critical. We developed a set of procedures to control for heterogeneity in reprogramming and differentiation, and generated 53 different iPSC-derived glutamatergic neuronal lines from 25 participants from 12 unrelated families with ASD. Heterozygous de novo and rare-inherited presumed-damaging variants were characterized in ASD risk genes/loci. Combinations of putative etiologic variants ( or ) in separate families were modeled. We used a multi-electrode array, with patch-clamp recordings, to determine a reproducible synaptic phenotype in 25% of the individuals with ASD (other relevant data on the remaining lines was collected). Our most compelling new results revealed a consistent spontaneous network hyperactivity in neurons deficient for or The biobank of iPSC-derived neurons and accompanying genomic data are available to accelerate ASD research.

EDITORIAL NOTE

This article has been through an editorial process in which authors decide how to respond to the issues raised during peer review. The Reviewing Editor's assessment is that all the issues have been addressed (see decision letter).

摘要

未加说明

诱导多能干细胞(iPSC)衍生的神经元越来越多地被用于模拟自闭症谱系障碍(ASD),其在临床上和遗传上具有异质性。为了研究外显和较弱的多基因风险变异与 ASD 的复杂关系,“同基因”iPSC 衍生的神经元至关重要。我们开发了一套程序来控制重编程和分化的异质性,并从 12 个无关的 ASD 家族中的 25 名参与者中生成了 53 条不同的 iPSC 衍生谷氨酸能神经元系。在 ASD 风险基因/位点中,对杂合新生和罕见遗传的假定有害变异进行了特征分析。对来自不同家族的假定病因变异(或)进行了组合建模。我们使用多电极阵列和膜片钳记录来确定 25%的 ASD 个体中具有可重复的突触表型(其余相关数据也在其余的细胞系中进行了收集)。我们最引人注目的新结果显示,或缺失的神经元中存在一致的自发性网络过度活跃。iPSC 衍生神经元的生物库和伴随的基因组数据可用于加速 ASD 研究。

编辑注释

本文经过编辑过程,作者在其中决定如何应对同行评审期间提出的问题。审稿人的评估是所有问题都已得到解决(见评审意见)。

https://cdn.ncbi.nlm.nih.gov/pmc/blobs/5528/6372285/c4341b048dcf/elife-40092-fig1.jpg

文献AI研究员

20分钟写一篇综述,助力文献阅读效率提升50倍。

立即体验

用中文搜PubMed

大模型驱动的PubMed中文搜索引擎

马上搜索

文档翻译

学术文献翻译模型,支持多种主流文档格式。

立即体验