Suppr超能文献

载脂蛋白 L3、CGI-58 与肝内甘油三酯水解的抑制作用。

PNPLA3, CGI-58, and Inhibition of Hepatic Triglyceride Hydrolysis in Mice.

机构信息

Department of Molecular Genetics, University of Texas Southwestern Medical Center, Dallas, TX.

Department of Internal Medicine, University of Texas Southwestern Medical Center, Dallas, TX.

出版信息

Hepatology. 2019 Jun;69(6):2427-2441. doi: 10.1002/hep.30583. Epub 2019 Apr 9.

Abstract

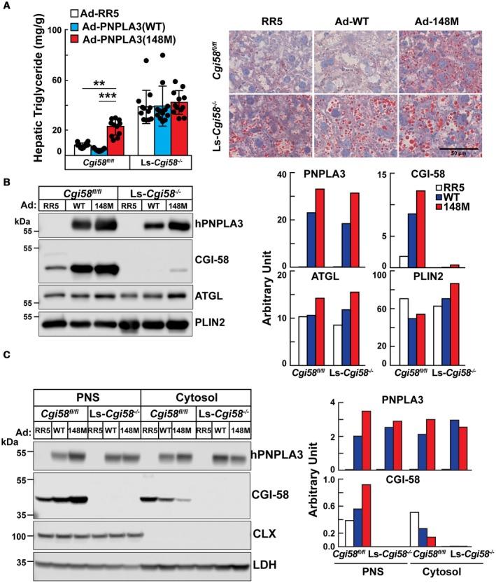
A variant (148M) in patatin-like phospholipase domain-containing protein 3 (PNPLA3) is a major risk factor for fatty liver disease. Despite its clinical importance, the pathogenic mechanism linking the variant to liver disease remains poorly defined. Previously, we showed that PNPLA3(148M) accumulates to high levels on hepatic lipid droplets (LDs). Here we examined the effect of that accumulation on triglyceride (TG) hydrolysis by adipose triglyceride lipase (ATGL), the major lipase in the liver. As expected, overexpression of ATGL in cultured hepatoma (HuH-7) cells depleted the cells of LDs, but unexpectedly, co-expression of PNPLA3(wild type [WT] or 148M) with ATGL inhibited that depletion. The inhibitory effect of PNPLA3 was not caused by the displacement of ATGL from LDs. We tested the hypothesis that PNPLA3 interferes with ATGL activity by interacting with its cofactor, comparative gene identification-58 (CGI-58). Evidence supporting such an interaction came from two findings. First, co-expression of PNPLA3 and CGI-58 resulted in LD depletion in cultured cells, but expression of PNPLA3 alone did not. Second, PNPLA3 failed to localize to hepatic LDs in liver-specific Cgi-58 knockout (KO) mice. Moreover, overexpression of PNPLA3(148M) increased hepatic TG levels in WT, but not in Cgi-58 KO mice. Thus, the pro-steatotic effects of PNPLA3 required the presence of CGI-58. Co-immunoprecipitation and pulldown experiments in livers of mice and in vitro using purified proteins provided evidence that PNPLA3 and CGI-58 can interact directly. Conclusion: Taken together, these findings are consistent with a model in which PNPLA3(148M) promotes steatosis by CGI-58-dependent inhibition of ATGL on LDs.

摘要

载脂蛋白 patatin 样磷脂酶结构域蛋白 3(PNPLA3)的变体(148M)是脂肪性肝病的主要危险因素。尽管其具有临床重要性,但将该变体与肝病联系起来的致病机制仍未得到明确界定。此前,我们表明 PNPLA3(148M)在肝脂滴(LD)上大量积累。在此,我们研究了这种积累对脂肪甘油三酯酶(ATGL)水解甘油三酯(TG)的影响,ATGL 是肝脏中主要的脂肪酶。正如预期的那样,在培养的肝癌(HuH-7)细胞中转染 ATGL 会耗尽细胞中的 LD,但出乎意料的是,PNPLA3(野生型 [WT] 或 148M)与 ATGL 的共表达抑制了这种耗竭。PNPLA3 的抑制作用不是由 ATGL 从 LD 上的置换引起的。我们检验了以下假设,即 PNPLA3 通过与它的辅助因子比较基因鉴定-58(CGI-58)相互作用来干扰 ATGL 活性。支持这种相互作用的证据来自两个发现。首先,PNPLA3 和 CGI-58 的共表达导致培养细胞中的 LD 耗竭,但单独表达 PNPLA3 则不会。其次,在肝脏特异性 Cgi-58 敲除(KO)小鼠中,PNPLA3 未能定位于肝 LD。此外,PNPLA3(148M)的过表达增加了 WT 小鼠而非 Cgi-58 KO 小鼠的肝 TG 水平。因此,PNPLA3 的促脂肪变性作用需要 CGI-58 的存在。在小鼠肝脏和使用纯化蛋白进行的体外共免疫沉淀和下拉实验提供了证据,表明 PNPLA3 和 CGI-58 可以直接相互作用。结论:总之,这些发现与以下模型一致,即 PNPLA3(148M)通过 CGI-58 依赖的 LD 上 ATGL 抑制促进脂肪变性。

https://cdn.ncbi.nlm.nih.gov/pmc/blobs/1c0b/6563103/2791a0bbdefd/HEP-69-2427-g001.jpg

文献AI研究员

20分钟写一篇综述,助力文献阅读效率提升50倍。

立即体验

用中文搜PubMed

大模型驱动的PubMed中文搜索引擎

马上搜索

文档翻译

学术文献翻译模型,支持多种主流文档格式。

立即体验