Suppr超能文献

在血期鼠疟期间,对肝脏氧化状态和炎症及凋亡基因表达的影响。

Effect of on the Hepatic Oxidative Status and Expression of Inflammatory and Apoptotic Genes during Blood-Stage Murine Malaria.

机构信息

Department of Zoology, College of Science, King Saud University, Riyadh, Saudi Arabia.

Department of Zoology and Entomology, College of Science, Helwan University, Cairo, Egypt.

出版信息

Oxid Med Cell Longev. 2019 Jan 29;2019:8264861. doi: 10.1155/2019/8264861. eCollection 2019.

Abstract

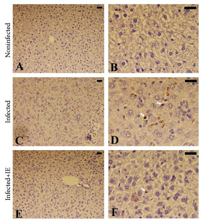
Malaria is a dangerous disease spread across several countries. Recent studies have focused on medicinal plants to discover alternative agents to the currently used drugs for malaria treatment. Here, we investigated the potential role of leaf extract (IE) on hepatic inflammation in mice with -infected erythrocytes. Female C57BL/6 mice were divided into three groups. The first group served as a control noninfected group, while the second and third groups were intraperitoneally injected with 10 erythrocytes parasitized by . Mice from the third group were treated daily with a dose of 100 mg/kg of IE for 7 days. IE significantly reduced the number of leukocytes and apoptotic cells. The numbers of CD68-positive cells decreased in the livers of mice from the treatment group. Moreover, IE raised the hepatic antioxidant levels (glutathione and catalase) and reduced the levels of hepatic oxidative stress markers (malondialdehyde, nitric oxide, and reactive oxygen species). IE regulated some functions of the genes related to immune responses, including apoptotic genes (B-cell lymphoma-2, Bax, and caspase-3) and cytokine genes (interleukin-1 (IL-1), IL-6, interferon-, and tumor necrosis factor-). Therefore, IE exerts significant effects against malaria and protects the liver from injury caused by via antioxidant and anti-inflammatory ways.

摘要

疟疾是一种在多个国家传播的危险疾病。最近的研究集中在药用植物上,以发现替代目前用于治疗疟疾的药物的新方法。在这里,我们研究了叶提取物(IE)对感染红细胞的小鼠肝炎症的潜在作用。将雌性 C57BL/6 小鼠分为三组。第一组作为未感染的对照组,第二组和第三组则通过腹腔内注射被感染的红细胞。第三组的小鼠每天用 100mg/kg 的 IE 剂量治疗 7 天。IE 显著减少了白细胞和凋亡细胞的数量。治疗组小鼠肝脏中的 CD68 阳性细胞数量减少。此外,IE 提高了肝抗氧化剂水平(谷胱甘肽和过氧化氢酶),降低了肝氧化应激标志物(丙二醛、一氧化氮和活性氧)的水平。IE 调节了与免疫反应相关的一些基因的功能,包括凋亡基因(B 细胞淋巴瘤-2、Bax 和 caspase-3)和细胞因子基因(白细胞介素-1(IL-1)、IL-6、干扰素-和肿瘤坏死因子-α)。因此,IE 对疟疾有显著的疗效,并通过抗氧化和抗炎作用保护肝脏免受疟原虫感染引起的损伤。

https://cdn.ncbi.nlm.nih.gov/pmc/blobs/6b3e/6374864/8c0fd7a07a94/OMCL2019-8264861.001.jpg

文献AI研究员

20分钟写一篇综述,助力文献阅读效率提升50倍。

立即体验

用中文搜PubMed

大模型驱动的PubMed中文搜索引擎

马上搜索

文档翻译

学术文献翻译模型,支持多种主流文档格式。

立即体验