Suppr超能文献

三维彩色血流多普勒和二维脉冲波多普勒经胸超声心动图在心脏手术后评估心输出量的可靠性

Reliability of three-dimensional color flow Doppler and two-dimensional pulse wave Doppler transthoracic echocardiography for estimating cardiac output after cardiac surgery.

作者信息

Hao Guang-Wei, Liu Yang, Ma Guo-Guang, Hou Jun-Yi, Zhu Du-Ming, Liu Lan, Zhang Ying, Liu Hua, Zhuang Ya-Min, Luo Zhe, Tu Guo-Wei, Yang Xiao-Mei, Chen Hai-Yan

机构信息

Department of Critical Care Medicine, Zhongshan Hospital, Fudan University, No. 180 Fenglin Road, Xuhui District, Shanghai, 200032, People's Republic of China.

Department of Echocardiography, Zhongshan Hospital, Fudan University, No. 180 Fenglin Road, Xuhui District, Shanghai, 200032, People's Republic of China.

出版信息

Cardiovasc Ultrasound. 2019 Apr 3;17(1):5. doi: 10.1186/s12947-019-0155-1.

Abstract

BACKGROUND

Three-dimensional color flow Doppler (3DCF) is a new convenient technique for cardiac output (CO) measurement. However, to date, no one has evaluated the accuracy of 3DCF echocardiography for CO measurement after cardiac surgery. Therefore, this single-center, prospective study was designed to evaluate the reliability of three-dimensional color flow and two-dimensional pulse wave Doppler (2D-PWD) transthoracic echocardiography for estimating cardiac output after cardiac surgery.

METHODS

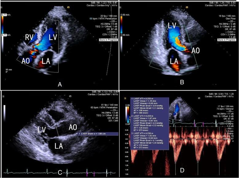
Post-cardiac surgical patients with a good acoustic window and a low dose or no dose of vasoactive drugs (norepinephrine < 0.05 μg/kg/min) were enrolled for CO estimation. Three different methods (third generation FloTrac/Vigileo™ [FT/V] system as the reference method, 3DCF, and 2D-PWD) were used to estimate CO before and after interventions (baseline, after volume expansion, and after a dobutamine test).

RESULTS

A total of 20 patients were enrolled in this study, and 59 pairs of CO measurements were collected (one pair was not included because of increasing drainage after the dobutamine test). Pearson's coefficients were 0.260 between the CO-FT/V and CO-PWD measurements and 0.729 between the CO-FT/V and CO-3DCF measurements. Bland-Altman analysis showed the bias between the absolute values of CO-FT/V and CO-PWD measurements was - 0.6 L/min with limits of agreement between - 3.3 L/min and 2.2 L/min, with a percentage error (PE) of 61.3%. The bias between CO-FT/V and CO-3DCF was - 0.14 L/min with limits of agreement between - 1.42 L /min and 1.14 L/min, with a PE of 29.9%. Four-quadrant plot analysis showed the concordance rate between ΔCO-PWD and ΔCO-3FT/V was 93.3%.

CONCLUSIONS

In a comparison with the FT/V system, 3DCF transthoracic echocardiography could accurately estimate CO in post-cardiac surgical patients, and the two methods could be considered interchangeable. Although 2D-PWD echocardiography was not as accurate as the 3D technique, its ability to track directional changes was reliable.

摘要

背景

三维彩色血流多普勒(3DCF)是一种用于测量心输出量(CO)的新型便捷技术。然而,迄今为止,尚无研究评估心脏手术后3DCF超声心动图测量CO的准确性。因此,本单中心前瞻性研究旨在评估三维彩色血流和二维脉冲波多普勒(2D-PWD)经胸超声心动图在心脏手术后估计心输出量的可靠性。

方法

入选心脏手术后声学窗口良好且使用低剂量或未使用血管活性药物(去甲肾上腺素<0.05μg/kg/min)的患者进行CO估计。采用三种不同方法(第三代FloTrac/Vigileo™[FT/V]系统作为参考方法、3DCF和2D-PWD)在干预前后(基线、容量扩充后和多巴酚丁胺试验后)估计CO。

结果

本研究共纳入20例患者,收集了59对CO测量值(一对因多巴酚丁胺试验后引流量增加未纳入)。CO-FT/V与CO-PWD测量值之间的Pearson系数为0.260,CO-FT/V与CO-3DCF测量值之间的Pearson系数为0.729。Bland-Altman分析显示,CO-FT/V与CO-PWD测量值绝对值之间的偏差为-0.6L/min,一致性界限为-3.3L/min至2.2L/min,百分比误差(PE)为61.3%。CO-FT/V与CO-3DCF之间的偏差为-0.14L/min,一致性界限为-1.42L/min至1.14L/min,PE为29.9%。四象限图分析显示,ΔCO-PWD与ΔCO-3FT/V之间的符合率为93.3%。

结论

与FT/V系统相比,3DCF经胸超声心动图可准确估计心脏手术后患者的CO,两种方法可视为可互换。虽然2D-PWD超声心动图不如三维技术准确,但其跟踪方向变化的能力可靠。

https://cdn.ncbi.nlm.nih.gov/pmc/blobs/dc01/6448273/6f462c00f437/12947_2019_155_Fig1_HTML.jpg

文献AI研究员

20分钟写一篇综述,助力文献阅读效率提升50倍。

立即体验

用中文搜PubMed

大模型驱动的PubMed中文搜索引擎

马上搜索

文档翻译

学术文献翻译模型,支持多种主流文档格式。

立即体验