Suppr超能文献

FOXO3 直接调控自噬网络,以在成年神经干细胞中发挥功能调节蛋白质稳态。

FOXO3 directly regulates an autophagy network to functionally regulate proteostasis in adult neural stem cells.

机构信息

Neuroscience Graduate Program, Brown University, Providence, Rhode Island, United States of America.

Department of Molecular Biology, Cell Biology and Biochemistry, Brown University, Providence, Rhode Island, United States of America.

出版信息

PLoS Genet. 2019 Apr 11;15(4):e1008097. doi: 10.1371/journal.pgen.1008097. eCollection 2019 Apr.

Abstract

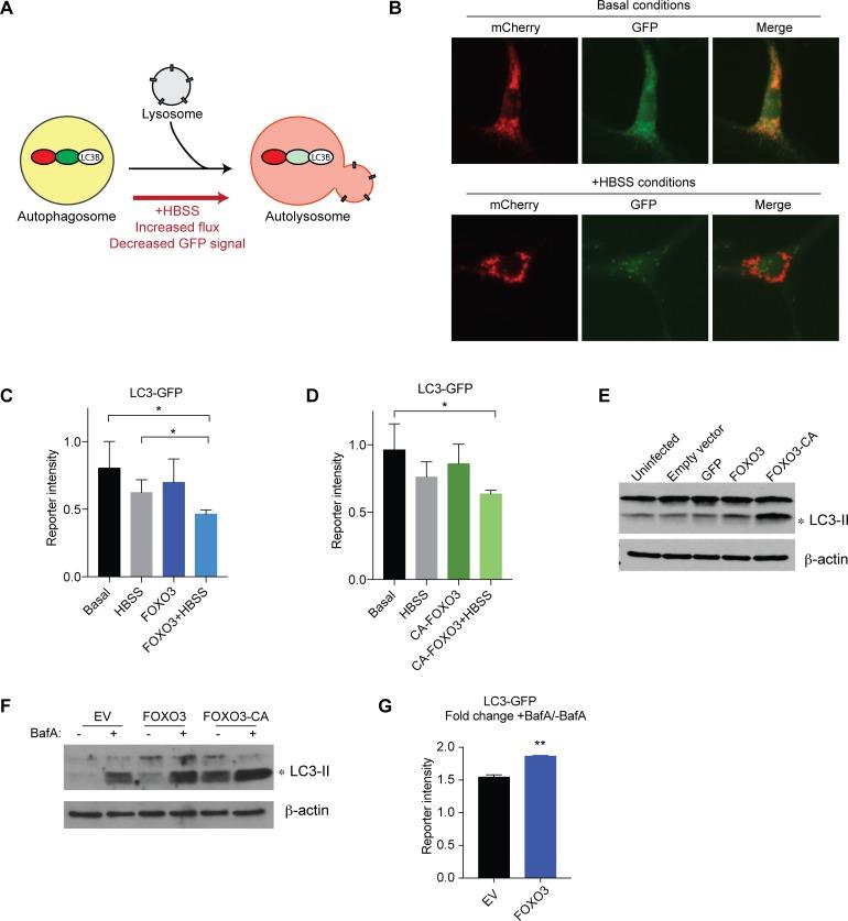
Maintenance of a healthy proteome is essential for cellular homeostasis and loss of proteostasis is associated with tissue dysfunction and neurodegenerative disease. The mechanisms that support proteostasis in healthy cells and how they become defective during aging or in disease states are not fully understood. Here, we investigate the transcriptional programs that are essential for neural stem and progenitor cell (NSPC) function and uncover a program of autophagy genes under the control of the transcription factor FOXO3. Using genomic approaches, we observe that FOXO3 directly binds a network of target genes in adult NSPCs that are involved in autophagy, and find that FOXO3 functionally regulates induction of autophagy in these cells. Interestingly, in the absence of FOXO activity, aggregates accumulate in NSPCs, and this effect is reversed by TOR (target of rapamycin) inhibition. Surprisingly, enhancing FOXO3 causes nucleation of protein aggregates, but does not increase their degradation. The work presented here identifies a genomic network under the direct control of a key transcriptional regulator of aging that is critical for maintaining a healthy mammalian stem cell pool to support lifelong neurogenesis.

摘要

维持健康的蛋白质组对于细胞内稳态至关重要,蛋白质稳态的丧失与组织功能障碍和神经退行性疾病有关。支持健康细胞蛋白质稳态的机制以及它们在衰老或疾病状态下如何出现缺陷尚不完全清楚。在这里,我们研究了支持神经干细胞和祖细胞 (NSPC) 功能所必需的转录程序,并揭示了转录因子 FOXO3 控制下的自噬基因程序。通过基因组方法,我们观察到 FOXO3 直接结合成年 NSPC 中参与自噬的一组靶基因,并发现 FOXO3 可在这些细胞中调节自噬的诱导。有趣的是,在没有 FOXO 活性的情况下,聚集体在 NSPC 中积累,而这一效应可以被 TOR(雷帕霉素靶蛋白)抑制所逆转。令人惊讶的是,增强 FOXO3 会导致蛋白质聚集体的成核,但不会增加它们的降解。本工作确定了一个受衰老关键转录调节因子直接控制的基因组网络,该网络对于维持健康的哺乳动物干细胞库以支持终生神经发生至关重要。

https://cdn.ncbi.nlm.nih.gov/pmc/blobs/ecba/6478346/5dda419e60db/pgen.1008097.g001.jpg

文献AI研究员

20分钟写一篇综述,助力文献阅读效率提升50倍。

立即体验

用中文搜PubMed

大模型驱动的PubMed中文搜索引擎

马上搜索

文档翻译

学术文献翻译模型,支持多种主流文档格式。

立即体验