Suppr超能文献

替普瑞酮治疗可改善 mdx 小鼠的表型。

Tempol treatment shows phenotype improvement in mdx mice.

机构信息

Department of Structural and Functional Biology, Institute of Biology, State University of Campinas (UNICAMP), Campinas, São Paulo, Brazil.

出版信息

PLoS One. 2019 Apr 22;14(4):e0215590. doi: 10.1371/journal.pone.0215590. eCollection 2019.

Abstract

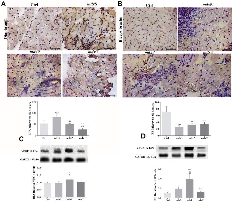
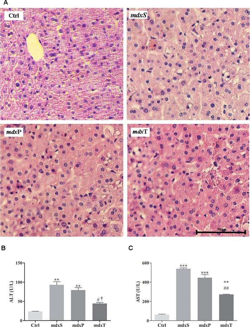
Considering potential Tempol effects on mdx muscle fibers, in this study we evaluated its effects on relevant dystrophic phenotypic characteristics, such as muscle degeneration, inflammatory process and angiogenesis, which as yet have not been investigated. Mdx mice were randomly assigned into three groups: mdxS, the control group receiving intraperitoneal (i.p.) injections of saline solution (100μL); mdxP, positive control group receiving prednisolone (1mg/kg) by oral gavage; and mdxT, treated group receiving i.p. injections of tempol (100 mg/kg). C57BL/10 mice were also used as controls. Tempol treatment promoted gain in muscle strength and reduced myonecrosis and inflammatory response in the dystrophic diaphragm (DIA) and biceps brachii (BB) muscles. No evidence of Tempol's beneficial performance on angiogenesis in DIA and BB mdx muscles was found. The findings presented here show that Tempol treatment improves dystrophic phenotype, supporting its use as a potential therapeutic strategy in DMD.

摘要

考虑到 Tempo 对 mdx 肌肉纤维的潜在影响,本研究评估了它对相关的营养不良表型特征的影响,如肌肉退化、炎症过程和血管生成,这些特征尚未被研究过。mdx 小鼠被随机分为三组:mdxS,对照组接受腹腔(i.p.)注射生理盐水(100μL);mdxP,阳性对照组接受口服泼尼松龙(1mg/kg);mdxT,治疗组接受腹腔注射 Tempo(100mg/kg)。C57BL/10 小鼠也被用作对照。Tempo 治疗促进了肌肉力量的增加,并减少了营养不良的膈肌(DIA)和肱二头肌(BB)肌肉的肌坏死和炎症反应。在 DIA 和 BB mdx 肌肉中没有发现 Tempo 对血管生成有益作用的证据。本研究结果表明,Tempo 治疗改善了营养不良表型,支持其作为 DMD 的潜在治疗策略。

https://cdn.ncbi.nlm.nih.gov/pmc/blobs/3530/6476507/09b3a34c5300/pone.0215590.g001.jpg

文献AI研究员

20分钟写一篇综述,助力文献阅读效率提升50倍。

立即体验

用中文搜PubMed

大模型驱动的PubMed中文搜索引擎

马上搜索

文档翻译

学术文献翻译模型,支持多种主流文档格式。

立即体验