Suppr超能文献

抑制 mTOR 和谷氨酰胺代谢两者对 SKG 小鼠关节炎的累加作用。

Additive effects of inhibiting both mTOR and glutamine metabolism on the arthritis in SKG mice.

机构信息

Rheumatology and Clinical Immunology, Kobe University Graduate School of Medicine, Kobe, Japan.

出版信息

Sci Rep. 2019 Apr 23;9(1):6374. doi: 10.1038/s41598-019-42932-1.

Abstract

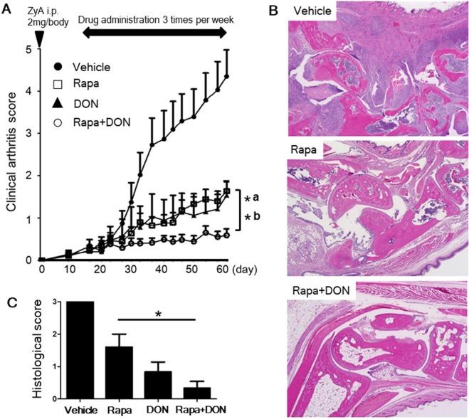
Glutamine metabolism and the mechanistic target of rapamycin (mTOR) pathway are activated cooperatively in the differentiation and activation of inflammatory immune cells. But the combined inhibition of both pathways was rarely investigated. This study investigated how inhibiting both glutamine metabolism with 6-diazo-5-oxo-L-norleucine (DON) and mTOR with rapamycin affects immune cells and the arthritis in a mouse model. We revealed that rapamycin and DON additively suppressed CD4 T cell proliferation, and both of them inhibited Th17 cell differentiation. While DON inhibited the differentiation of dendritic cells and macrophages and facilitated that of Ly6G granulocytic (G)-MDSCs more strongly than did rapamycin, G-MDSCs treated with rapamycin but not DON suppressed CD4 T cell proliferation in vitro. The combination of rapamycin and DON significantly suppressed the arthritis in SKG mice more strongly than did each monotherapy in vivo. The numbers of CD4 T and Th17 cells in the spleen were lowest in mice treated with the combination therapy. Thus, combined treatment with rapamycin and DON additively ameliorated the arthritis in SKG mice, possibly by suppressing CD4 T cell proliferation and Th17 differentiation. These results suggest the combination of rapamycin and DON may be a potential novel therapy for arthritis.

摘要

谷氨酰胺代谢和雷帕霉素(mTOR)途径的机制靶点在炎症免疫细胞的分化和激活中协同激活。但是,很少有研究同时抑制这两条通路。本研究探讨了用 6-二氮-5-氧-L-正亮氨酸(DON)抑制谷氨酰胺代谢和用雷帕霉素抑制 mTOR 对小鼠模型中的免疫细胞和关节炎的影响。我们发现雷帕霉素和 DON 可相加抑制 CD4 T 细胞增殖,且它们均可抑制 Th17 细胞分化。虽然 DON 比雷帕霉素更强烈地抑制树突状细胞和巨噬细胞的分化,并促进 Ly6G 粒细胞(G)-髓系来源抑制细胞的分化,但用雷帕霉素处理的 G-MDSC 而非 DON 在体外抑制 CD4 T 细胞增殖。雷帕霉素和 DON 的联合治疗比单独用药更能显著抑制 SKG 小鼠的关节炎,体内。在接受联合治疗的小鼠中,脾脏中 CD4 T 和 Th17 细胞的数量最低。因此,雷帕霉素和 DON 的联合治疗可相加改善 SKG 小鼠的关节炎,可能通过抑制 CD4 T 细胞增殖和 Th17 分化。这些结果表明,雷帕霉素和 DON 的联合治疗可能是关节炎的一种潜在新疗法。

https://cdn.ncbi.nlm.nih.gov/pmc/blobs/5adb/6476881/ffc6cd193a66/41598_2019_42932_Fig1_HTML.jpg

相似文献

1
Additive effects of inhibiting both mTOR and glutamine metabolism on the arthritis in SKG mice.
Sci Rep. 2019 Apr 23;9(1):6374. doi: 10.1038/s41598-019-42932-1.
3
Targeting Glutamine Metabolism Ameliorates Autoimmune Hepatitis Inhibiting T Cell Activation and Differentiation.
Front Immunol. 2022 May 19;13:880262. doi: 10.3389/fimmu.2022.880262. eCollection 2022.
4
Critical role of the mTOR pathway in development and function of myeloid-derived suppressor cells in lal-/- mice.
Am J Pathol. 2014 Feb;184(2):397-408. doi: 10.1016/j.ajpath.2013.10.015. Epub 2013 Nov 26.
5
Targeting glutamine metabolism exhibits anti-tumor effects in thyroid cancer.
J Endocrinol Invest. 2024 Aug;47(8):1953-1969. doi: 10.1007/s40618-023-02294-y. Epub 2024 Feb 22.
8
Shuangshen granules attenuate lung metastasis by modulating bone marrow differentiation through mTOR signalling inhibition.
J Ethnopharmacol. 2021 Dec 5;281:113305. doi: 10.1016/j.jep.2020.113305. Epub 2020 Sep 3.

引用本文的文献

1
mTOR Signaling in Macrophages: All Depends on the Context.
Int J Mol Sci. 2025 Aug 6;26(15):7598. doi: 10.3390/ijms26157598.
4
Glutaminolysis of CD4 T Cells: A Potential Therapeutic Target in Viral Diseases.
J Inflamm Res. 2024 Feb 1;17:603-616. doi: 10.2147/JIR.S443482. eCollection 2024.
5
Metabolic requirements of Th17 cells and of B cells: Regulation and defects in health and in inflammatory diseases.
Front Immunol. 2022 Oct 14;13:990794. doi: 10.3389/fimmu.2022.990794. eCollection 2022.
6
Targeting Glutamine Metabolism Ameliorates Autoimmune Hepatitis Inhibiting T Cell Activation and Differentiation.
Front Immunol. 2022 May 19;13:880262. doi: 10.3389/fimmu.2022.880262. eCollection 2022.
7
Metabolites as drivers and targets in rheumatoid arthritis.
Clin Exp Immunol. 2022 Jun 11;208(2):167-180. doi: 10.1093/cei/uxab021.
8
Immunometabolic Therapeutic Targets of Graft-versus-Host Disease (GvHD).
Metabolites. 2021 Oct 27;11(11):736. doi: 10.3390/metabo11110736.
9
Modulating glutamine metabolism to control viral immuno-inflammatory lesions.
Cell Immunol. 2021 Dec;370:104450. doi: 10.1016/j.cellimm.2021.104450. Epub 2021 Oct 14.
10
Comorbidity-associated glutamine deficiency is a predisposition to severe COVID-19.
Cell Death Differ. 2021 Dec;28(12):3199-3213. doi: 10.1038/s41418-021-00892-y. Epub 2021 Oct 18.

本文引用的文献

1
Transcriptional factor ICER promotes glutaminolysis and the generation of Th17 cells.
Proc Natl Acad Sci U S A. 2018 Mar 6;115(10):2478-2483. doi: 10.1073/pnas.1714717115. Epub 2018 Feb 20.
2
Metabolism Controls the Balance of Th17/T-Regulatory Cells.
Front Immunol. 2017 Nov 27;8:1632. doi: 10.3389/fimmu.2017.01632. eCollection 2017.
4
CD11b+Gr-1 Tolerogenic Dendritic Cell-Like Cells Are Expanded in Interstitial Lung Disease in SKG Mice.
Arthritis Rheumatol. 2017 Dec;69(12):2314-2327. doi: 10.1002/art.40231. Epub 2017 Nov 9.
5
mTORC1 and mTORC2 as regulators of cell metabolism in immunity.
FEBS Lett. 2017 Oct;591(19):3089-3103. doi: 10.1002/1873-3468.12711. Epub 2017 Jun 23.
6
Amino-acid transporters in T-cell activation and differentiation.
Cell Death Dis. 2017 May 4;8(5):e2757. doi: 10.1038/cddis.2017.207.
8
Glutaminase 1 plays a key role in the cell growth of fibroblast-like synoviocytes in rheumatoid arthritis.
Arthritis Res Ther. 2017 Apr 11;19(1):76. doi: 10.1186/s13075-017-1283-3.

文献AI研究员

20分钟写一篇综述,助力文献阅读效率提升50倍。

立即体验

用中文搜PubMed

大模型驱动的PubMed中文搜索引擎

马上搜索

文档翻译

学术文献翻译模型,支持多种主流文档格式。

立即体验