Suppr超能文献

Fyn 激酶调节微胶质细胞中错误折叠的 α-突触核蛋白摄取和 NLRP3 炎性小体的激活。

Fyn kinase regulates misfolded α-synuclein uptake and NLRP3 inflammasome activation in microglia.

机构信息

Parkinson Disorders Research Program, Iowa Center for Advanced Neurotoxicology, Department of Biomedical Sciences, Iowa State University, Ames, IA.

Neuroregeneration and Stem Cell Programs, Institute for Cell Engineering, Johns Hopkins University School of Medicine, Baltimore, MD.

出版信息

J Exp Med. 2019 Jun 3;216(6):1411-1430. doi: 10.1084/jem.20182191. Epub 2019 Apr 29.

Abstract

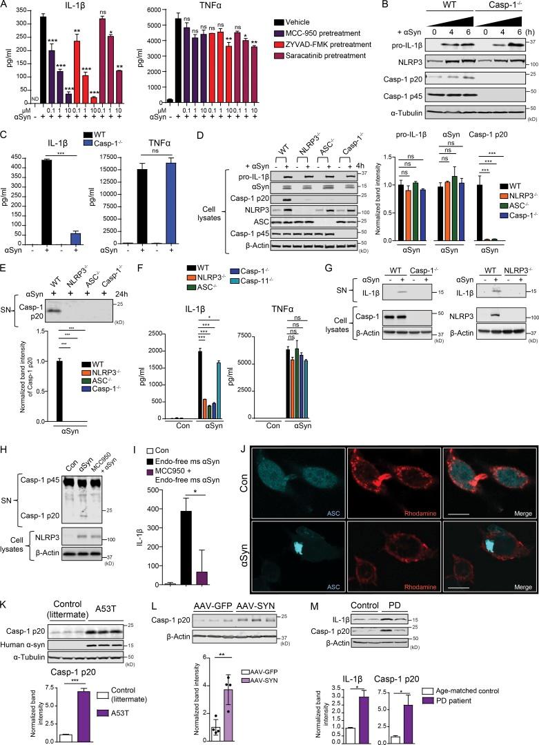
Persistent microglia-mediated neuroinflammation is a major pathophysiological contributor to the progression of Parkinson's disease (PD), but the cell-signaling mechanisms governing chronic neuroinflammation are not well understood. Here, we show that Fyn kinase, in conjunction with the class B scavenger receptor CD36, regulates the microglial uptake of aggregated human α-synuclein (αSyn), which is the major component of PD-associated Lewy bodies. αSyn can effectively mediate LPS-independent priming and activation of the microglial NLRP3 inflammasome. Fyn kinase regulates both of these processes; it mediates PKCδ-dependent NF-κB-p65 nuclear translocation, leading to inflammasome priming, and facilitates αSyn import into microglia, contributing to the generation of mitochondrial reactive oxygen species and consequently to inflammasome activation. In vivo experiments using A53T and viral-αSyn overexpression mouse models as well as human PD neuropathological results further confirm the role of Fyn in NLRP3 inflammasome activation. Collectively, our study identifies a novel Fyn-mediated signaling mechanism that amplifies neuroinflammation in PD.

摘要

持续的小胶质细胞介导的神经炎症是帕金森病(PD)进展的主要病理生理因素,但调控慢性神经炎症的细胞信号机制尚不清楚。在这里,我们表明 Fyn 激酶与 B 类清道夫受体 CD36 一起调节小胶质细胞对聚集的人α-突触核蛋白(αSyn)的摄取,αSyn 是 PD 相关路易体的主要成分。αSyn 可以有效地介导 LPS 非依赖性的小胶质细胞 NLRP3 炎性体的启动和激活。Fyn 激酶调节这两个过程;它介导 PKCδ 依赖性 NF-κB-p65 核易位,导致炎性体的启动,并促进 αSyn 进入小胶质细胞,导致线粒体活性氧的产生,进而导致炎性体的激活。使用 A53T 和病毒-αSyn 过表达小鼠模型以及人类 PD 神经病理学结果的体内实验进一步证实了 Fyn 在 NLRP3 炎性体激活中的作用。总的来说,我们的研究确定了一种新的 Fyn 介导的信号机制,该机制放大了 PD 中的神经炎症。

https://cdn.ncbi.nlm.nih.gov/pmc/blobs/14b9/6547864/8ee863fdb712/JEM_20182191_Fig1.jpg

文献AI研究员

20分钟写一篇综述,助力文献阅读效率提升50倍。

立即体验

用中文搜PubMed

大模型驱动的PubMed中文搜索引擎

马上搜索

文档翻译

学术文献翻译模型,支持多种主流文档格式。

立即体验