Suppr超能文献

新型潜在可逆转肽基精氨酸脱亚氨酶抑制剂的发现。

Discovery of Novel Potential Reversible Peptidyl Arginine Deiminase Inhibitor.

机构信息

Broegelmann Research Laboratory, Department of Clinical Science, University of Bergen, N-5021 Bergen, Norway.

Department of Microbiology, Faculty of Biochemistry, Biophysics and Biotechnology, Jagiellonian University, 30-387 Kraków, Poland.

出版信息

Int J Mol Sci. 2019 May 2;20(9):2174. doi: 10.3390/ijms20092174.

Abstract

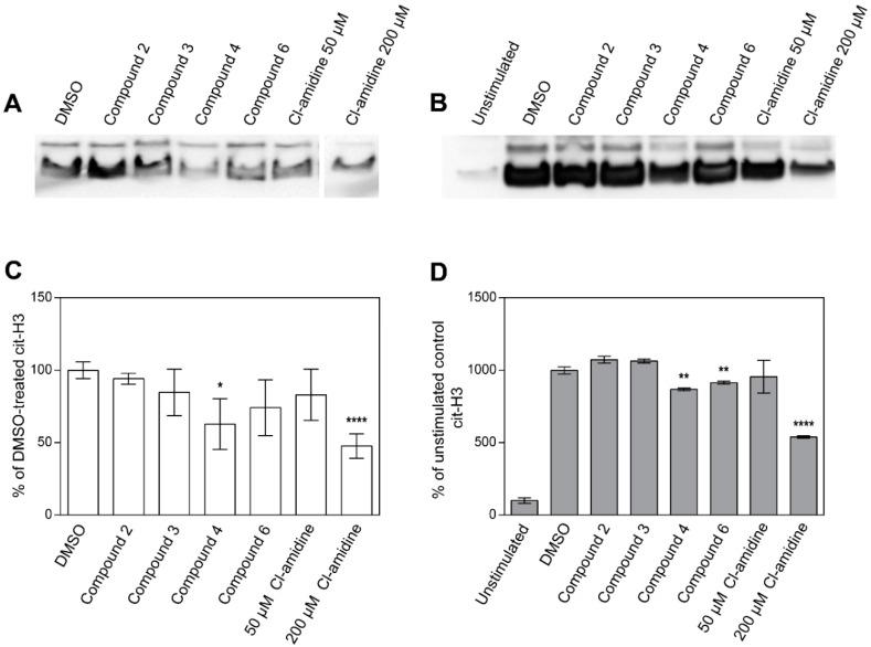
Citrullination, a posttranslational modification, is catalyzed by peptidylarginine deiminases (PADs), a unique family of enzymes that converts peptidyl-arginine to peptidyl-citrulline. Overexpression and/or increased PAD activity is observed in rheumatoid arthritis (RA), Alzheimer's disease, multiple sclerosis, and cancer. Moreover, bacterial PADs, such as PAD (PPAD), may have a role in the pathogenesis of RA, indicating PADs as promising therapeutic targets. Herein, six novel compounds were examined as potential inhibitors of human PAD4 and PPAD, and compared to an irreversible PAD inhibitor, Cl-amidine. Four of the tested compounds (compounds , , , and ) exhibited a micromolar-range inhibition potency against PAD4 and no effect against PPAD in the in vitro assays. Compound was able to inhibit the PAD4-induced citrullination of H3 histone with higher efficiency than Cl-amidine. In conclusion, compound was highly effective and presents a promising direction in the search for novel RA treatment strategies.

摘要

瓜氨酸化,一种翻译后修饰,由肽基精氨酸脱亚氨酶(PADs)催化,是一种独特的酶家族,可将肽基精氨酸转化为肽基瓜氨酸。在类风湿关节炎(RA)、阿尔茨海默病、多发性硬化症和癌症中观察到 PADs 的过度表达和/或活性增加。此外,细菌 PADs,如 PAD(PPAD),可能在 RA 的发病机制中发挥作用,表明 PADs 是有前途的治疗靶点。在此,研究了六种新型化合物作为人 PAD4 和 PPAD 的潜在抑制剂,并与不可逆 PAD 抑制剂 Cl-amidine 进行了比较。在体外测定中,四种测试化合物(化合物 、 、 、 )对 PAD4 具有微摩尔范围的抑制作用,对 PPAD 没有影响。化合物 能够更有效地抑制 PAD4 诱导的组蛋白 H3 瓜氨酸化,比 Cl-amidine 更有效。总之,化合物 非常有效,为寻找新型 RA 治疗策略提供了有希望的方向。

https://cdn.ncbi.nlm.nih.gov/pmc/blobs/7a07/6539144/a260d0cc322b/ijms-20-02174-g001.jpg

文献AI研究员

20分钟写一篇综述,助力文献阅读效率提升50倍。

立即体验

用中文搜PubMed

大模型驱动的PubMed中文搜索引擎

马上搜索

文档翻译

学术文献翻译模型,支持多种主流文档格式。

立即体验