Suppr超能文献

局部进展期胰腺癌的消融性放疗:技术与结果。

Ablative radiation therapy for locally advanced pancreatic cancer: techniques and results.

机构信息

Department of Radiation Oncology, Memorial Sloan Kettering Cancer Center, 1275 York Ave, New York, NY, 10065, USA.

Department of Radiation Oncology, Henry Ford Cancer Institute, 2799 W Grand Blvd, Detroit, MI, 48202, USA.

出版信息

Radiat Oncol. 2019 Jun 6;14(1):95. doi: 10.1186/s13014-019-1309-x.

Abstract

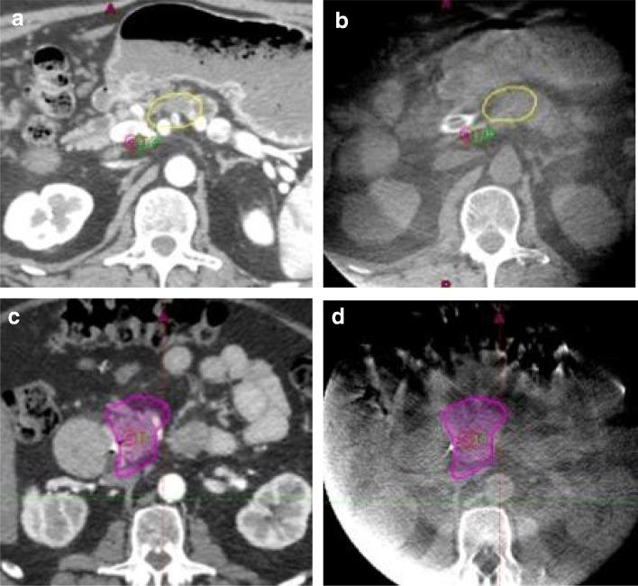
Standard doses of conventionally fractionated radiation have had minimal to no impact on the survival duration of patients with locally advanced unresectable pancreatic cancer (LAPC). The use of low-dose stereotactic body radiation (SBRT) in 3- to 5-fractionshas thus far produced a modest improvement in median survival with minimal toxicity and shorter duration of treatment, but failed to produce a meaningful difference at 2 years and beyond. A much higher biologically effective dose (BED) is likely needed to achieve tumor ablation The challenge is the delivery of ablative doses near the very sensitive gastrointestinal tract. Advanced organ motion management, image guidance, and adaptive planning techniques enable delivery of ablative doses of radiation (> = 100Gy BED) when more protracted hypofractionated regimens or advanced image guidance and adaptive planning are used. This approach has resulted in encouraging improvements in survival in several studies. This review will summarize the evolution of the radiation technique over time from conventional to ablative and describe the practical aspects of delivering ablative doses near the GI tract using cone beam CT image (CBCT) guidance and online adaptive MRI guidance.

摘要

标准剂量的常规分割放疗对局部晚期不可切除胰腺癌(LAPC)患者的生存时间几乎没有影响。低剂量立体定向体部放疗(SBRT)在 3-5 次分割中的应用迄今已使中位生存期略有改善,毒性最小,治疗时间缩短,但在 2 年及以后并未产生有意义的差异。需要更高的生物有效剂量(BED)才能实现肿瘤消融。挑战在于在非常敏感的胃肠道附近提供消融剂量。先进的器官运动管理、图像引导和自适应计划技术可在使用更延长的低分割方案或先进的图像引导和自适应计划时提供消融剂量的放疗(> = 100Gy BED)。这种方法已导致几项研究中生存的可喜改善。本综述将总结随着时间的推移,放疗技术从常规到消融的演变,并描述在胃肠道附近使用锥形束 CT 图像(CBCT)引导和在线自适应 MRI 引导来提供消融剂量的实际方面。

https://cdn.ncbi.nlm.nih.gov/pmc/blobs/b3b0/6555709/6a7264f573ff/13014_2019_1309_Fig1_HTML.jpg

文献AI研究员

20分钟写一篇综述,助力文献阅读效率提升50倍。

立即体验

用中文搜PubMed

大模型驱动的PubMed中文搜索引擎

马上搜索

文档翻译

学术文献翻译模型,支持多种主流文档格式。

立即体验