Suppr超能文献

APC/C 使核糖-5-磷酸水平和 DNA 合成与细胞周期进程同步。

APC/C synchronizes ribose-5-phosphate levels and DNA synthesis to cell cycle progression.

机构信息

Obstetrics & Gynecology Hospital of Fudan University, State Key Laboratory of Genetic Engineering, School of Life Sciences and Institutes of Biomedical Sciences, Fudan University, Shanghai, 200438, P.R. China.

Key Laboratory of Reproduction Regulation of NPFPC and Collaborative Innovation Center for Genetics and Development, Shanghai Key Laboratory of Female Reproductive Endocrine Related Diseases, Fudan University, Shanghai, 200438, P.R. China.

出版信息

Nat Commun. 2019 Jun 7;10(1):2502. doi: 10.1038/s41467-019-10375-x.

Abstract

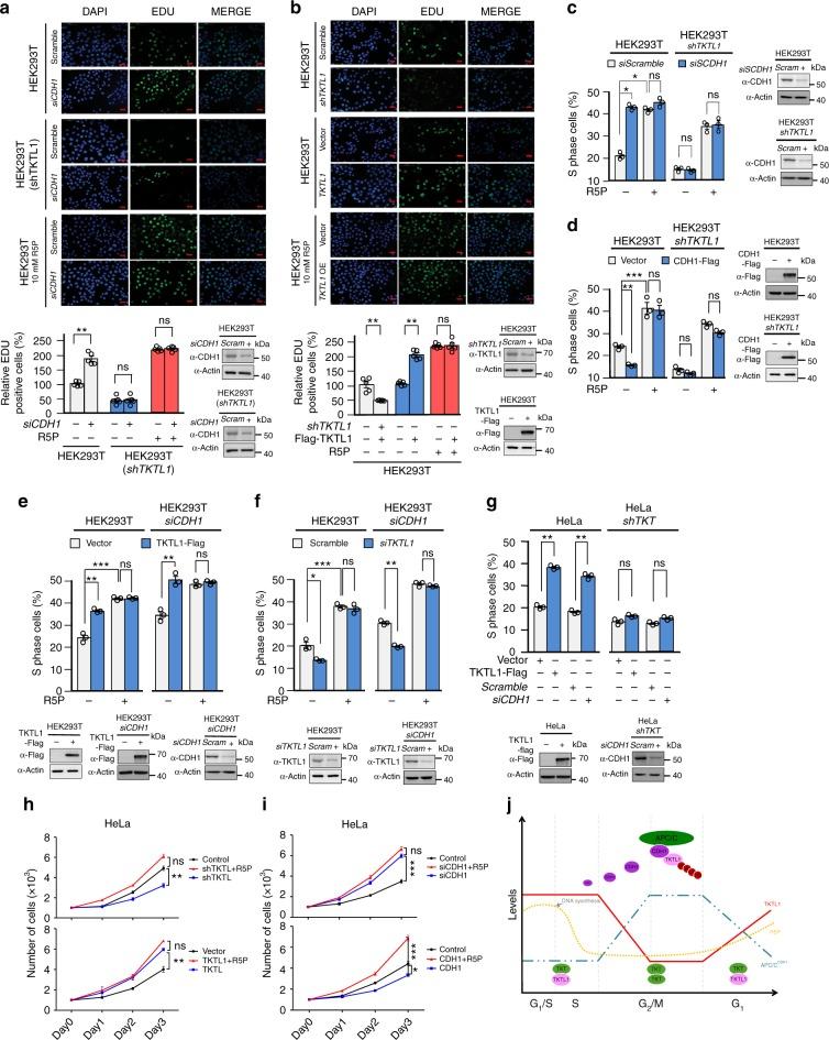
Accumulation of nucleotide building blocks prior to and during S phase facilitates DNA duplication. Herein, we find that the anaphase-promoting complex/cyclosome (APC/C) synchronizes ribose-5-phosphate levels and DNA synthesis during the cell cycle. In late G and S phases, transketolase-like 1 (TKTL1) is overexpressed and forms stable TKTL1-transketolase heterodimers that accumulate ribose-5-phosphate. This accumulation occurs by asymmetric production of ribose-5-phosphate from the non-oxidative pentose phosphate pathway and prevention of ribose-5-phosphate removal by depleting transketolase homodimers. In the G and M phases after DNA synthesis, expression of the APC/C adaptor CDH1 allows APC/C to degrade D-box-containing TKTL1, abrogating ribose-5-phosphate accumulation by TKTL1. TKTL1-overexpressing cancer cells exhibit elevated ribose-5-phosphate levels. The low CDH1 or high TKTL1-induced accumulation of ribose-5-phosphate facilitates nucleotide and DNA synthesis as well as cell cycle progression in a ribose-5-phosphate-saturable manner. Here we reveal that the cell cycle control machinery regulates DNA synthesis by mediating ribose-5-phosphate sufficiency.

摘要

核苷酸前体在 S 期之前和期间的积累有助于 DNA 复制。在此,我们发现后期促进复合物/环体(APC/C)在细胞周期中同步核糖-5-磷酸水平和 DNA 合成。在晚期 G1 和 S 期,转酮醇酶样 1(TKTL1)过表达并形成稳定的 TKTL1-转酮醇酶异源二聚体,从而积累核糖-5-磷酸。这种积累是通过非氧化戊糖磷酸途径不对称地产生核糖-5-磷酸和消耗转酮醇酶同源二聚体来防止核糖-5-磷酸的去除来实现的。在 DNA 合成后的 G1 和 M 期,APC/C 衔接蛋白 CDH1 的表达使 APC/C 能够降解含有 D 盒的 TKTL1,从而阻止 TKTL1 积累核糖-5-磷酸。TKTL1 过表达的癌细胞表现出升高的核糖-5-磷酸水平。低 CDH1 或高 TKTL1 诱导的核糖-5-磷酸积累以核糖-5-磷酸可饱和的方式促进核苷酸和 DNA 合成以及细胞周期进程。在这里,我们揭示了细胞周期调控机制通过调节核糖-5-磷酸的充足性来调节 DNA 合成。

https://cdn.ncbi.nlm.nih.gov/pmc/blobs/4f8b/6555833/2f47d4f57945/41467_2019_10375_Fig1_HTML.jpg

文献AI研究员

20分钟写一篇综述,助力文献阅读效率提升50倍。

立即体验

用中文搜PubMed

大模型驱动的PubMed中文搜索引擎

马上搜索

文档翻译

学术文献翻译模型,支持多种主流文档格式。

立即体验