Suppr超能文献

一种表达p14 FAST蛋白的溶瘤腺病毒载体可诱导广泛的合胞体形成并降低肿瘤生长速率。

An Oncolytic Adenovirus Vector Expressing p14 FAST Protein Induces Widespread Syncytium Formation and Reduces Tumor Growth Rate .

作者信息

Del Papa Josh, Petryk Julia, Bell John C, Parks Robin J

机构信息

Regenerative Medicine Program, Ottawa Hospital Research Institute, Ottawa, ON K1H 8L6, Canada.

Department of Biochemistry, Microbiology, and Immunology, Faculty of Medicine, University of Ottawa, Ottawa, ON K1N 6N5, Canada.

出版信息

Mol Ther Oncolytics. 2019 May 15;14:107-120. doi: 10.1016/j.omto.2019.05.001. eCollection 2019 Sep 27.

Abstract

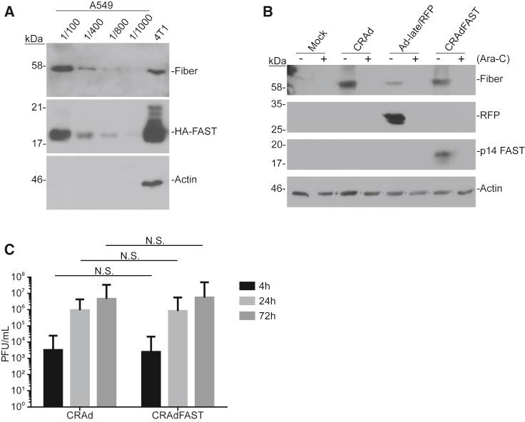
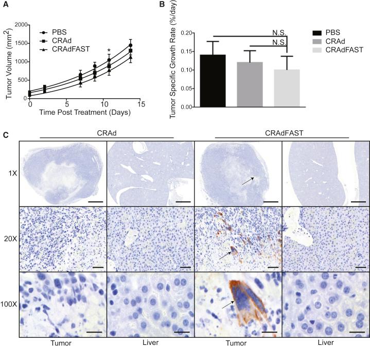
Intratumoral injection of oncolytic viruses provides a direct means of tumor cell destruction for inoperable tumors. Unfortunately, oncolytic vectors based on human adenovirus (HAdV) typically do not spread efficiently throughout the tumor mass, reducing the efficacy of treatment. In this study, we explore the efficacy of a conditionally replicating HAdV vector expressing the p14 Fusion-Associated Small Transmembrane (FAST) protein (CRAdFAST) in both immunocompetent and immunodeficient mouse models of cancer. The p14 FAST protein mediates cell-cell fusion, which may enhance spread of the virus-mediated, tumor cell-killing effect. In the murine 4T1 model of cancer, treatment with CRAdFAST resulted in enhanced cell death compared to vector lacking the p14 FAST gene, but it did not reduce the tumor growth rate . In the human A549 lung adenocarcinoma model of cancer, CRAdFAST showed significantly improved oncolytic efficacy and . In an A549 xenograft tumor model , CRAdFAST induced tumor cell fusion, which led to the formation of large acellular regions within the tumor and significantly reduced the tumor growth rate compared to control vector. Our results indicate that expression of p14 FAST from an oncolytic HAdV can improve vector efficacy for the treatment of cancer.

摘要

瘤内注射溶瘤病毒为无法手术切除的肿瘤提供了一种直接破坏肿瘤细胞的方法。不幸的是,基于人腺病毒(HAdV)的溶瘤载体通常不能有效地在整个肿瘤块中扩散,从而降低了治疗效果。在本研究中,我们探讨了一种表达p14融合相关小跨膜(FAST)蛋白的条件性复制HAdV载体(CRAdFAST)在免疫健全和免疫缺陷小鼠癌症模型中的疗效。p14 FAST蛋白介导细胞间融合,这可能会增强病毒介导的肿瘤细胞杀伤作用的传播。在小鼠4T1癌症模型中,与缺乏p14 FAST基因的载体相比,CRAdFAST治疗导致细胞死亡增加,但并未降低肿瘤生长速率。在人A549肺腺癌癌症模型中,CRAdFAST显示出显著提高的溶瘤疗效。在A549异种移植肿瘤模型中,CRAdFAST诱导肿瘤细胞融合,这导致肿瘤内形成大的无细胞区域,与对照载体相比,显著降低了肿瘤生长速率。我们的结果表明,来自溶瘤HAdV的p14 FAST表达可以提高载体治疗癌症的疗效。

https://cdn.ncbi.nlm.nih.gov/pmc/blobs/58e2/6539411/90ec3d2c2ba7/gr1.jpg

文献AI研究员

20分钟写一篇综述,助力文献阅读效率提升50倍。

立即体验

用中文搜PubMed

大模型驱动的PubMed中文搜索引擎

马上搜索

文档翻译

学术文献翻译模型,支持多种主流文档格式。

立即体验