Suppr超能文献

细胞周期蛋白依赖性激酶2(CK2)在前列腺癌中的促生存作用是通过维持和促进雄激素受体及核因子κB p65的表达来介导的。

CK2 Pro-Survival Role in Prostate Cancer Is Mediated via Maintenance and Promotion of Androgen Receptor and NFκB p65 Expression.

作者信息

Trembley Janeen H, Kren Betsy T, Abedin Md J, Shaughnessy Daniel P, Li Yingming, Dehm Scott M, Ahmed Khalil

机构信息

Research Service, Minneapolis VA Health Care System, Minneapolis, MN 55417, USA.

Department of Laboratory Medicine and Pathology, University of Minnesota, Minneapolis, MN 55455, USA.

出版信息

Pharmaceuticals (Basel). 2019 Jun 14;12(2):89. doi: 10.3390/ph12020089.

Abstract

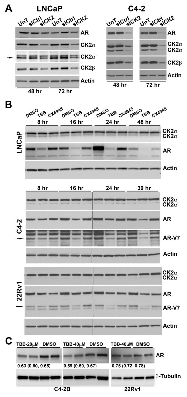
The prosurvival protein kinase CK2, androgen receptor (AR), and nuclear factor kappa B (NFκB) interact in the function of prostate cells, and there is evidence of crosstalk between these signals in the pathobiology of prostate cancer (PCa). As CK2 is elevated in PCa, and AR and NFκB are involved in the development and progression of prostate cancer, we investigated their interaction in benign and malignant prostate cells in the presence of altered CK2 expression. Our results show that elevation of CK2 levels caused increased levels of AR and NFκB p65 in prostate cells of different phenotypes. Analysis of TCGA PCa data indicated that AR and CK2α RNA expression are strongly correlated. Small molecule inhibition or molecular down-regulation of CK2 caused reduction in AR mRNA expression and protein levels in PCa cells and in orthotopic xenograft tumors by various pathways. Among these, regulation of AR protein stability plays a unifying role in CK2 maintenance of AR protein levels. Our results show induction of various endoplasmic reticulum stress signals after CK2 inhibition, which may play a role in the PCa cell death response. Of note, CK2 inhibition caused loss of cell viability in both parental and enzalutamide-resistant castrate-resistant PCa cells. The present work elucidates the specific link of CK2 to the pathogenesis of PCa in association with AR and NFκB expression; further, the observation that inhibition of CK2 can exert a growth inhibitory effect on therapy-resistant PCa cells emphasizes the potential utility of CK2 inhibition in patients who are on enzalutamide treatment for advanced cancer.

摘要

促生存蛋白激酶CK2、雄激素受体(AR)和核因子κB(NFκB)在前列腺细胞功能中相互作用,并且在前列腺癌(PCa)的病理生物学中存在这些信号之间相互作用的证据。由于CK2在PCa中升高,且AR和NFκB参与前列腺癌的发生和发展,我们研究了在CK2表达改变的情况下它们在良性和恶性前列腺细胞中的相互作用。我们的结果表明,CK2水平升高导致不同表型前列腺细胞中AR和NFκB p65水平升高。对TCGA前列腺癌数据的分析表明,AR和CK2α RNA表达密切相关。CK2的小分子抑制或分子下调通过多种途径导致PCa细胞和原位异种移植肿瘤中AR mRNA表达和蛋白水平降低。其中,AR蛋白稳定性的调节在CK2维持AR蛋白水平中起统一作用。我们的结果表明,CK2抑制后诱导了各种内质网应激信号,这可能在PCa细胞死亡反应中起作用。值得注意的是,CK2抑制导致亲代和恩杂鲁胺耐药的去势抵抗性PCa细胞的细胞活力丧失。本研究阐明了CK2与PCa发病机制中AR和NFκB表达的具体联系;此外,抑制CK2可对治疗耐药的PCa细胞发挥生长抑制作用这一观察结果强调了CK2抑制在接受恩杂鲁胺治疗晚期癌症患者中的潜在效用。

https://cdn.ncbi.nlm.nih.gov/pmc/blobs/94bd/6631211/d3a919be038d/pharmaceuticals-12-00089-g001.jpg

文献AI研究员

20分钟写一篇综述,助力文献阅读效率提升50倍。

立即体验

用中文搜PubMed

大模型驱动的PubMed中文搜索引擎

马上搜索

文档翻译

学术文献翻译模型,支持多种主流文档格式。

立即体验