Suppr超能文献

循环 ITIH4 水平升高与非酒精性脂肪性肝病相关的肝细胞癌相关:从猪模型到人体研究。

Elevated levels of circulating ITIH4 are associated with hepatocellular carcinoma with nonalcoholic fatty liver disease: from pig model to human study.

机构信息

Department of Surgery, Graduate School of Medicine, Kyoto University, Kyoto, Japan.

Department of Surgery, Hyogo College of Medicine, Mukogowacho, Nishinomiya, Hyogo, 663-8501, Japan.

出版信息

BMC Cancer. 2019 Jun 25;19(1):621. doi: 10.1186/s12885-019-5825-8.

Abstract

BACKGROUND

Noninvasive biomarkers are urgently needed for optimal management of nonalcoholic fatty liver disease (NAFLD) for the prevention of disease progression into nonalcoholic steatohepatitis (NASH) and hepatocellular carcinoma (HCC). In order to identify the biomarkers, we generated the swine hepatocellular carcinoma (HCC) model associated with NAFLD and performed serum proteomics on the model.

METHODS

Microminipigs were fed a high-fat diet to induce NAFLD and a normal diet as the control. To induce HCC, diethylnitrosamine was intraperitoneally administered. Biopsied liver samples were histopathologically analyzed every 12 weeks. Serum proteins were separated by blue native two-dimensional gel electrophoresis and proteins of interest were subsequently identified by MALDI-TOF MS/MS. Human serum samples were analyzed to validate the candidate protein using antibody-mediated characterization.

RESULTS

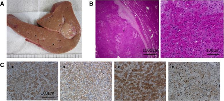
In the NAFLD pigs, hepatic histology of nonalcoholic steatohepatitis (NASH) was observed at 36 weeks, and HCC developed at 60 weeks. Among serum proteins identified with MALDI-TOF MS/MS, serum inter-alpha-trypsin inhibitor heavy chain 4 (ITIH4), an acute response protein which is secreted primarily by liver, was identified as the most characteristic protein corresponding with NAFLD progression and HCC development in the NAFLD pigs. With immunoassay, serum ITIH4 levels in the NAFLD pigs were chronologically increased in comparison with those in control animal. Furthermore, immunohistochemistry showed ITIH4 expression in hepatocytes also increased in both the cancer lesions and parenchyma as NAFLD progressed. Human study is also consistent with this observation because serum ITIH4 levels were significantly higher in HCC-NAFLD patients than in the simple steatosis, NASH, and virus-related HCC patients. Of note, HCC-NAFLD patients who had higher serum ITIH4 levels exhibited poorer prognosis after hepatectomy.

CONCLUSIONS

We established an HCC pig model associated with NAFLD. Serum proteomics on the swine HCC with NAFLD model implicated ITIH4 as a non-invasive biomarker reflecting NAFLD progression as well as subsequent HCC development. Most importantly, the results in the swine study have been validated in human cohort studies. Dissecting speciation of serum ITIH4 promises to have clinical utility in monitoring the disease.

摘要

背景

非酒精性脂肪性肝病 (NAFLD) 的最佳管理迫切需要非侵入性生物标志物,以防止疾病进展为非酒精性脂肪性肝炎 (NASH) 和肝细胞癌 (HCC)。为了鉴定这些生物标志物,我们生成了与 NAFLD 相关的猪肝细胞癌 (HCC) 模型,并对该模型进行了血清蛋白质组学研究。

方法

使用高脂肪饮食诱导微型猪发生 NAFLD,并以正常饮食作为对照。用二乙基亚硝胺经腹腔注射诱导 HCC。每 12 周对活检的肝组织样本进行组织病理学分析。通过蓝色 native 二维凝胶电泳分离血清蛋白,然后通过 MALDI-TOF MS/MS 鉴定感兴趣的蛋白。使用抗体介导的鉴定方法,用人血清样本分析来验证候选蛋白。

结果

在 NAFLD 猪中,36 周时观察到非酒精性脂肪性肝炎 (NASH) 的肝组织学变化,60 周时发生 HCC。通过 MALDI-TOF MS/MS 鉴定的血清蛋白中,血清α-胰蛋白酶抑制剂重链 4(ITIH4)被鉴定为最具特征性的蛋白,其与 NAFLD 猪的 NAFLD 进展和 HCC 发展相对应。通过免疫测定,与对照动物相比,NAFLD 猪的血清 ITIH4 水平随时间呈递增趋势。此外,免疫组织化学显示,随着 NAFLD 的进展,ITIH4 在肝癌病变和实质中的表达也增加。人类研究也与这一观察结果一致,因为 HCC-NAFLD 患者的血清 ITIH4 水平明显高于单纯性脂肪变性、NASH 和病毒性 HCC 患者。值得注意的是,血清 ITIH4 水平较高的 HCC-NAFLD 患者在肝切除术后预后较差。

结论

我们建立了一个与 NAFLD 相关的 HCC 猪模型。在伴有 NAFLD 的猪 HCC 模型上进行的血清蛋白质组学研究表明,ITIH4 是一种非侵入性生物标志物,可反映 NAFLD 的进展以及随后的 HCC 发展。最重要的是,猪研究的结果已在人类队列研究中得到验证。解析血清 ITIH4 的特异性有望在疾病监测中具有临床应用价值。

https://cdn.ncbi.nlm.nih.gov/pmc/blobs/d025/6591942/cde848c74d81/12885_2019_5825_Fig1_HTML.jpg

文献AI研究员

20分钟写一篇综述,助力文献阅读效率提升50倍。

立即体验

用中文搜PubMed

大模型驱动的PubMed中文搜索引擎

马上搜索

文档翻译

学术文献翻译模型,支持多种主流文档格式。

立即体验