Suppr超能文献

子痫前期患者母血清中的乙酸盐减少,胎儿胸腺和调节性 T 细胞发育受损。

Decreased maternal serum acetate and impaired fetal thymic and regulatory T cell development in preeclampsia.

机构信息

Charles Perkins Centre Nepean, The University of Sydney, Penrith, 2750, NSW, Australia.

Sydney Medical School Nepean, The University of Sydney, Penrith, 2750, NSW, Australia.

出版信息

Nat Commun. 2019 Jul 10;10(1):3031. doi: 10.1038/s41467-019-10703-1.

Abstract

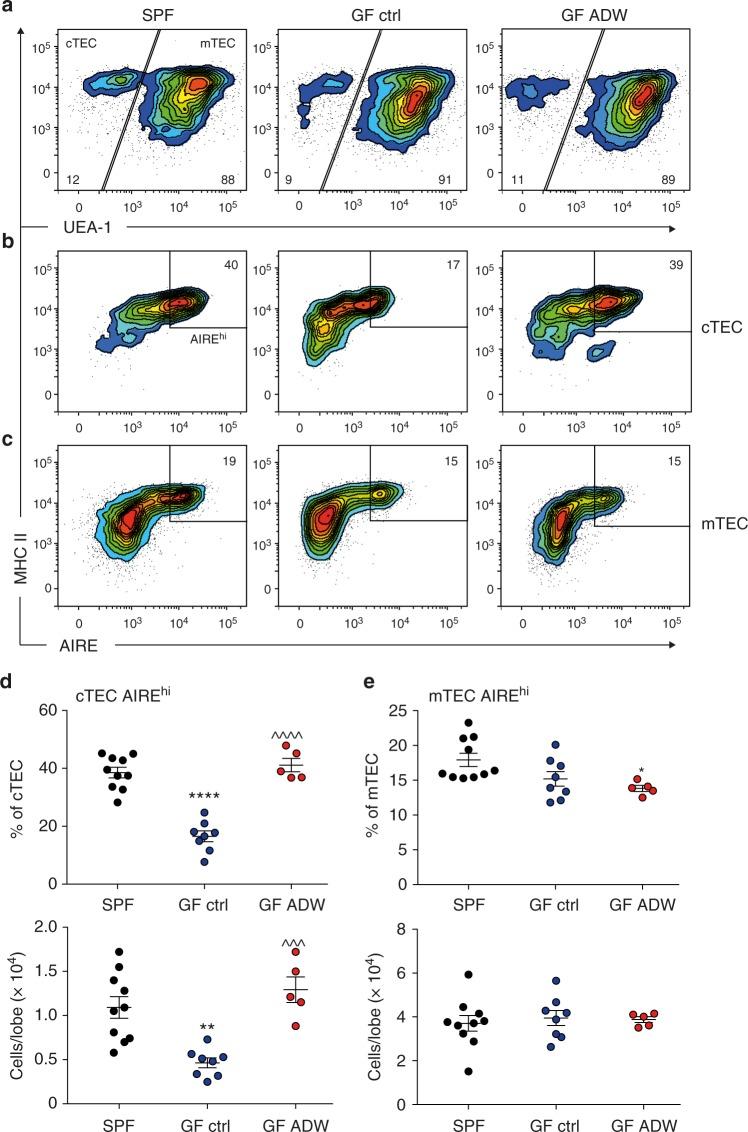
Maternal immune dysregulation seems to affect fetal or postnatal immune development. Preeclampsia is a pregnancy-associated disorder with an immune basis and is linked to atopic disorders in offspring. Here we show reduction of fetal thymic size, altered thymic architecture and reduced fetal thymic regulatory T (Treg) cell output in preeclamptic pregnancies, which persists up to 4 years of age in human offspring. In germ-free mice, fetal thymic CD4 T cell and Treg cell development are compromised, but rescued by maternal supplementation with the intestinal bacterial metabolite short chain fatty acid (SCFA) acetate, which induces upregulation of the autoimmune regulator (AIRE), known to contribute to Treg cell generation. In our human cohorts, low maternal serum acetate is associated with subsequent preeclampsia, and correlates with serum acetate in the fetus. These findings suggest a potential role of acetate in the pathogenesis of preeclampsia and immune development in offspring.

摘要

母体免疫失调似乎会影响胎儿或产后的免疫发育。子痫前期是一种与免疫有关的妊娠疾病,并与后代的特应性疾病有关。在这里,我们发现子痫前期妊娠胎儿胸腺大小减小,胸腺结构改变,胎儿胸腺调节性 T(Treg)细胞产生减少,在人类后代中持续到 4 岁。在无菌小鼠中,胎儿胸腺 CD4 T 细胞和 Treg 细胞的发育受到损害,但通过母体补充肠道细菌代谢产物短链脂肪酸(SCFA)乙酸得到挽救,乙酸诱导自身免疫调节因子(AIRE)的上调,已知其有助于 Treg 细胞的产生。在我们的人类队列中,母体血清乙酸水平低与随后的子痫前期有关,并与胎儿血清中的乙酸水平相关。这些发现表明乙酸在子痫前期的发病机制和后代的免疫发育中可能具有重要作用。

https://cdn.ncbi.nlm.nih.gov/pmc/blobs/acaa/6620275/1e7b82b38d5f/41467_2019_10703_Fig1_HTML.jpg

文献AI研究员

20分钟写一篇综述,助力文献阅读效率提升50倍。

立即体验

用中文搜PubMed

大模型驱动的PubMed中文搜索引擎

马上搜索

文档翻译

学术文献翻译模型,支持多种主流文档格式。

立即体验