Suppr超能文献

黄连素通过调节脑源性神经营养因子(BDNF)、胰岛素样生长因子-1(IGF-1)、过氧化物酶体增殖物激活受体γ(PPAR-γ)和腺苷酸活化蛋白激酶(AMPK)的表达对新生诱导的2型糖尿病神经病变的改善作用

Ameliorative Effect of Berberine on Neonatally Induced Type 2 Diabetic Neuropathy via Modulation of BDNF, IGF-1, PPAR-γ, and AMPK Expressions.

作者信息

Zhou Guangju, Yan Mingzhu, Guo Gang, Tong Nanwei

机构信息

Department of Endocrinology and Metabolism, West China Hospital of Sichuan University, Chengdu, China.

Department of Neurology, Xijing Hospital, Fourth Military Medical University (FMMU), Shaanxi, China.

出版信息

Dose Response. 2019 Jul 16;17(3):1559325819862449. doi: 10.1177/1559325819862449. eCollection 2019 Jul-Sep.

Abstract

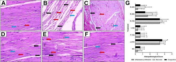
Neonatal-streptozotocin (n-STZ)-induced diabetes mimics most of the clinicopathological symptoms of type 2 diabetes mellitus (T2DM) peripheral neuropathy. Berberine, a plant alkaloid, is reported to have antidiabetic, antioxidant, anti-inflammatory, and neuroprotective potential. The aim of the present study was to investigate the potential of berberine against n-STZ-induced painful diabetic peripheral polyneuropathy by assessing various biochemical, electrophysiological, morphological, and ultrastructural studies. Type 2 diabetes mellitus was produced neonatal at the age of 2 days (10-12 g) by STZ (90 mg/kg intraperitoneal). After confirmation of neuropathy at 6 weeks, rats were treated with berberine (10, 20, and 40 mg/kg). Administration of n-STZ resulted in T2DM-induced neuropathic pain reflected by a significant alterations ( .05) in hyperalgesia, allodynia, and motor as well as sensory nerve conduction velocities whereas berberine (20 and 40 mg/kg) treatment significantly attenuated ( .05) these alterations. Berberine treatment significantly inhibited ( .05) STZ-induced alterations in aldose reductase, glycated hemoglobin, serum insulin, hepatic cholesterol, and triglyceride levels. The elevated oxido-nitrosative stress and decreased Na-K-ATPase and pulse Ox levels were significantly attenuated ( .05) by berberine. It also significantly downregulated ( .05) neural tumor necrosis factor-α (TNF-α), interleukin (IL)-1β and IL-6 messenger RNA (mRNA), and protein expressions both. Streptozotocin-induced downregulated mRNA expressions of brain-derived neurotrophic factor (BDNF), insulin-like growth factor (IGF-1), and peroxisome proliferator-activated receptors-γ (PPAR-γ) in sciatic nerve were significantly upregulated ( .05) by berberine. Western blot analysis revealed that STZ-induced alterations in adenosine monophosphate protein kinase (AMPK; Thr-172) and protein phosphatase 2C-α protein expressions in dorsal root ganglia were inhibited by berberine. It also attenuated histological and ultrastructural alterations induced in sciatic nerve by STZ. In conclusion, berberine exerts its neuroprotective effect against n-STZ-induced diabetic peripheral neuropathy via modulation of pro-inflammatory cytokines (TNF α, IL-1β, and IL-6), oxido-nitrosative stress, BDNF, IGF-1, PPAR-γ, and AMPK expression to ameliorate impaired allodynia, hyperalgesia, and nerve conduction velocity during T2DM.

摘要

新生链脲佐菌素(n-STZ)诱导的糖尿病模拟了2型糖尿病(T2DM)周围神经病变的大多数临床病理症状。黄连素是一种植物生物碱,据报道具有抗糖尿病、抗氧化、抗炎和神经保护潜力。本研究的目的是通过评估各种生化、电生理、形态学和超微结构研究,探讨黄连素对n-STZ诱导的疼痛性糖尿病周围多发性神经病变的作用。在2日龄(10-12克)时通过腹腔注射链脲佐菌素(90毫克/千克)诱导新生大鼠患2型糖尿病。在6周时确认神经病变后,用黄连素(10、20和40毫克/千克)治疗大鼠。给予n-STZ导致T2DM诱导的神经性疼痛,表现为痛觉过敏、异常性疼痛以及运动和感觉神经传导速度的显著改变(P<0.05),而黄连素(20和40毫克/千克)治疗显著减轻了这些改变(P<0.05)。黄连素治疗显著抑制了(P<0.05)STZ诱导的醛糖还原酶、糖化血红蛋白、血清胰岛素、肝胆固醇和甘油三酯水平的改变。黄连素显著减轻了氧化亚硝化应激的升高以及Na-K-ATP酶和脉搏氧水平的降低(P<0.05)。它还显著下调了(P<0.05)神经肿瘤坏死因子-α(TNF-α)、白细胞介素(IL)-1β和IL-6信使核糖核酸(mRNA)以及蛋白质表达。链脲佐菌素诱导的坐骨神经中脑源性神经营养因子(BDNF)、胰岛素样生长因子(IGF-1)和过氧化物酶体增殖物激活受体-γ(PPAR-γ)mRNA表达下调,而黄连素使其显著上调(P<0.05)。蛋白质印迹分析显示,黄连素抑制了STZ诱导的背根神经节中腺苷单磷酸蛋白激酶(AMPK;苏氨酸-172)和蛋白磷酸酶2C-α蛋白表达的改变。它还减轻了STZ诱导的坐骨神经组织学和超微结构改变。总之,黄连素通过调节促炎细胞因子(TNF-α、IL-1β和IL-6)、氧化亚硝化应激、BDNF、IGF-1、PPAR-γ和AMPK表达,对n-STZ诱导的糖尿病周围神经病变发挥神经保护作用,以改善T2DM期间受损的异常性疼痛、痛觉过敏和神经传导速度。

https://cdn.ncbi.nlm.nih.gov/pmc/blobs/5cf8/6636227/403df91a937a/10.1177_1559325819862449-fig1.jpg

文献AI研究员

20分钟写一篇综述,助力文献阅读效率提升50倍。

立即体验

用中文搜PubMed

大模型驱动的PubMed中文搜索引擎

马上搜索

文档翻译

学术文献翻译模型,支持多种主流文档格式。

立即体验