Suppr超能文献

湄公血吸虫钙依赖性半胱氨酸蛋白酶(钙蛋白酶)的分子特征和功能分析。

Molecular characterization and functional analysis of the Schistosoma mekongi Ca-dependent cysteine protease (calpain).

机构信息

Department of Helminthology, Faculty of Tropical Medicine, Mahidol University, Bangkok, 10400, Thailand.

Department of Social and Environmental Medicine, Faculty of Tropical Medicine, Mahidol University, Bangkok, 10400, Thailand.

出版信息

Parasit Vectors. 2019 Jul 30;12(1):383. doi: 10.1186/s13071-019-3639-9.

Abstract

BACKGROUND

Schistosoma mekongi, which causes schistosomiasis in humans, is an important public health issue in Southeast Asia. Treatment with praziquantel is the primary method of control but emergence of praziquantel resistance requires the development of alternative drugs and vaccines. Calcium-dependent cysteine protease (calpain) is a novel vaccine candidate that has been studied in S. mansoni, S. japonicum, and protozoans including malaria, leishmania and trypanosomes. However, limited information is available on the properties and functions of calpain in other Schistosoma spp., including S. mekongi. In this study, we functionally characterized calpain 1 of S. mekongi (SmeCalp1).

RESULTS

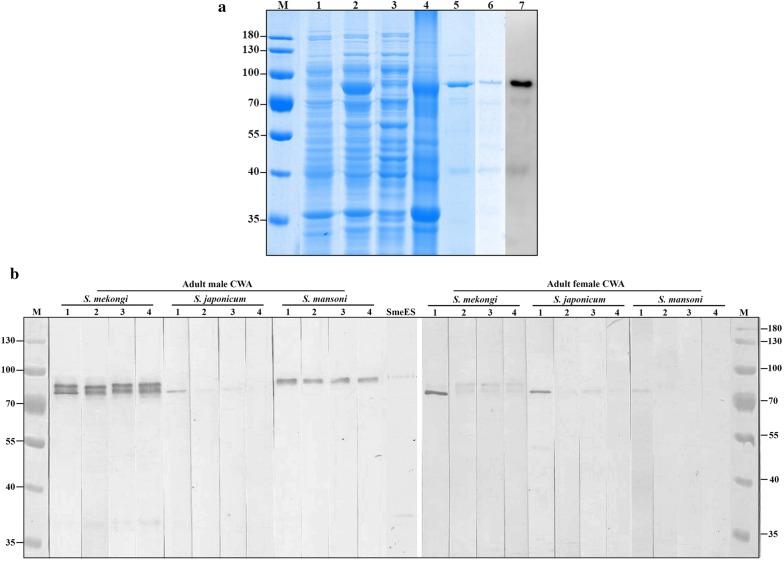
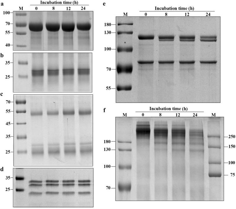
Calpain 1 of S. mekongi was obtained from transcriptomic analysis of S. mekongi; it had the highest expression level of all isoforms tested and was predominantly expressed in the adult male. SmeCalp1 cDNA is 2274 bp long and encodes 758 amino acids, with 85% to 90% homology with calpains in other Schistosoma species. Recombinant SmeCalp1 (rSmeCalp1), with a molecular weight of approximately 86.7 kDa, was expressed in bacteria and stimulated a marked antibody response in mice. Native SmeCalp1 was detected in crude worm extract and excretory-secretory product, and it was mainly localized in the tegument of the adult male; less signal was detected in the adult female worm. Thus, SmeCalp1 may play a role in surface membrane synthesis or host-parasite interaction. We assessed the protease activity of rSmeCalp1 and demonstrated that rSmeCalp1 could cleave the calpain substrate N-succinyl-Leu-Leu-Val-Tyr-7-amino-4-methylcoumarin, that was inhibited by calpain inhibitors (MDL28170 and E64c). Additionally, rSmeCalp1 could degrade the biological substrates fibronectin (blood clotting protein) and human complement C3, indicating important roles in the intravascular system and in host immune evasion.

CONCLUSIONS

SmeCalp1 is expressed on the tegumental surface of the parasite and can cleave host defense molecules; thus, it might participate in growth, development and survival during the entire life-cycle of S. mekongi. Information on the properties and functions of SmeCalp1 reported herein will be advantageous in the development of effective drugs and vaccines against S. mekongi and other schistosomes.

摘要

背景

湄公血吸虫可导致人体血吸虫病,是东南亚地区的一个重要公共卫生问题。以吡喹酮进行治疗是主要的控制方法,但吡喹酮耐药性的出现需要开发替代药物和疫苗。钙依赖性半胱氨酸蛋白酶(钙蛋白酶)是一种新型疫苗候选物,已在曼氏血吸虫、日本血吸虫和疟原虫、利什曼原虫和锥虫等原生动物中进行了研究。然而,关于钙蛋白酶在包括湄公血吸虫在内的其他血吸虫中的特性和功能的信息有限。在本研究中,我们对湄公血吸虫的钙蛋白酶 1(SmeCalp1)进行了功能表征。

结果

从湄公血吸虫的转录组分析中获得了湄公血吸虫的钙蛋白酶 1;它是所有测试同工型中表达水平最高的,主要在成年雄性中表达。SmeCalp1 cDNA 长 2274 个碱基对,编码 758 个氨基酸,与其他血吸虫种的钙蛋白酶具有 85%至 90%的同源性。重组 SmeCalp1(rSmeCalp1)的分子量约为 86.7 kDa,在细菌中表达,并在小鼠中引起明显的抗体反应。在粗虫提取物和排泄-分泌产物中检测到天然 SmeCalp1,主要定位于成年雄性的体被;在成年雌性虫中检测到的信号较少。因此,SmeCalp1 可能在表面膜合成或宿主-寄生虫相互作用中发挥作用。我们评估了 rSmeCalp1 的蛋白酶活性,并证明 rSmeCalp1 可以切割钙蛋白酶底物 N-琥珀酰-Leu-Leu-Val-Tyr-7-氨基-4-甲基香豆素,该反应可被钙蛋白酶抑制剂(MDL28170 和 E64c)抑制。此外,rSmeCalp1 可以降解生物底物纤维连接蛋白(血凝蛋白)和人补体 C3,表明其在血管系统和宿主免疫逃避中具有重要作用。

结论

SmeCalp1 表达在寄生虫的体被表面,可以切割宿主防御分子;因此,它可能参与湄公血吸虫整个生命周期的生长、发育和存活。本文报道的关于 SmeCalp1 的特性和功能的信息将有利于针对湄公血吸虫和其他血吸虫的有效药物和疫苗的开发。

https://cdn.ncbi.nlm.nih.gov/pmc/blobs/7d3b/6668146/9b873827696f/13071_2019_3639_Fig1_HTML.jpg

文献AI研究员

20分钟写一篇综述,助力文献阅读效率提升50倍。

立即体验

用中文搜PubMed

大模型驱动的PubMed中文搜索引擎

马上搜索

文档翻译

学术文献翻译模型,支持多种主流文档格式。

立即体验