Suppr超能文献

E6/E7 和 HPV16、HPV18 的 E6 上调角质形成细胞中的 IL-6 表达,与 p53 无关。

E6/E7 and E6 From HPV16 and HPV18 Upregulate IL-6 Expression Independently of p53 in Keratinocytes.

机构信息

Centro de Investigación Biomédica de Occidente, Instituto Mexicano del Seguro Social, Guadalajara, Mexico.

Programa de Doctorado en Ciencias Biomédicas, Centro Universitario de Ciencias de la Salud, Universidad de Guadalajara, Guadalajara, Mexico.

出版信息

Front Immunol. 2019 Jul 23;10:1676. doi: 10.3389/fimmu.2019.01676. eCollection 2019.

Abstract

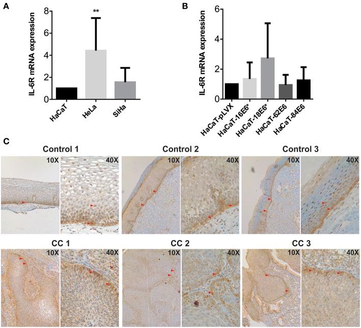
Keratinocyte infection with high-risk human papillomavirus genotypes has been linked to cancer development. In cervix, the alpha HPV16 and HPV18 have been reported as the mayor causative agents of cervical cancer. Oncogenic progression and chronic inflammation are closely related processes, with IL-6 as one of the main pro-inflammatory cytokines involved. However, there are limited studies about the regulation of IL-6 by low and high risk HPVs and the HPV proteins implicated in this modulation. In this work, we report the overexpression of IL-6 in HPV infected cervical cancer derived cell lines (HeLa and SiHa) compared to non-tumorigenic keratinocytes (HaCaT), and in Cervical Intraepithelial Neoplasia grade 1 HPV16 and HPV18 positive cervical samples compared to HPV negative samples without lesions. Moreover, we generated HaCaT keratinocytes that express E5, E6, and E7 from high risk (16 or 18) or low risk (62 and 84) HPVs. E5 proteins do not modify IL-6 expression, while E7 modestly increase it. Interestingly, E6 proteins in HaCaT cells upregulate IL-6 mRNA expression and protein secretion. Indeed, in HaCaT cells that express high risk HPV16E6 or HPV18E6 proteins, only the truncated E6 isoforms were expressed, showing the stronger IL-6 overexpression, while in HaCaT cells that express low risk HPV62 and HPV84 full length E6 proteins, IL-6 was also upregulated but not so drastically. Since HaCaT cells have a mutated p53 form that is not degraded by the introduction of E6 or E6/E7, it seems that E6/E7 regulate IL-6 by an additional mechanism independent of p53. In addition, basal keratinocytes showed a strong expression of IL-6R using immunohistochemistry, suggesting an autocrine mechanism over proliferative cells. Altogether, IL-6 cytokine expression in keratinocytes is upregulated by E6 and E7 proteins from HPVs 16, 18, 62, and 84, especially by high risk HPV16 and HPV18 E6, which may contribute to promote a pro-inflammatory and highly proliferative microenvironment that can persist over time and lead to cervical tumorigenesis.

摘要

高危型人乳头瘤病毒(HPV)感染与癌症的发生有关。在宫颈中,HPV16 和 HPV18 被报道为宫颈癌的主要致病因素。致癌进展和慢性炎症是密切相关的过程,IL-6 是涉及的主要促炎细胞因子之一。然而,关于低危和高危 HPV 对 IL-6 的调节以及 HPV 蛋白在这种调节中的作用,研究有限。在这项工作中,我们报告了与非肿瘤性角质形成细胞(HaCaT)相比,HPV 感染的宫颈癌衍生细胞系(HeLa 和 SiHa)中 IL-6 的过度表达,以及与 HPV 阴性无病变样本相比,HPV16 和 HPV18 阳性宫颈上皮内瘤变 1 级样本中 IL-6 的过度表达。此外,我们生成了表达高危型(16 或 18)或低危型(62 和 84)HPV 的 E5、E6 和 E7 的 HaCaT 角质形成细胞。E5 蛋白不改变 IL-6 的表达,而 E7 则适度增加。有趣的是,HaCaT 细胞中的 E6 蛋白上调了 IL-6 mRNA 的表达和蛋白分泌。事实上,在表达高危型 HPV16E6 或 HPV18E6 蛋白的 HaCaT 细胞中,仅表达截短的 E6 同工型,表现出更强的 IL-6 过表达,而在表达低危型 HPV62 和 HPV84 全长 E6 蛋白的 HaCaT 细胞中,IL-6 也被上调,但不那么明显。由于 HaCaT 细胞的 p53 形式发生突变,不会被 E6 或 E6/E7 降解,因此 E6/E7 通过一种独立于 p53 的额外机制调节 IL-6。此外,免疫组织化学显示基底角质形成细胞强烈表达 IL-6R,提示自分泌机制在增殖细胞上过度表达。总之,HPV16、18、62 和 84 的 E6 和 E7 蛋白上调了角质形成细胞中 IL-6 细胞因子的表达,尤其是高危型 HPV16 和 HPV18 的 E6,这可能有助于促进促炎和高度增殖的微环境,这种微环境可以持续存在并导致宫颈癌的发生。

https://cdn.ncbi.nlm.nih.gov/pmc/blobs/1d03/6664019/fbeec51dce96/fimmu-10-01676-g0001.jpg

文献AI研究员

20分钟写一篇综述,助力文献阅读效率提升50倍。

立即体验

用中文搜PubMed

大模型驱动的PubMed中文搜索引擎

马上搜索

文档翻译

学术文献翻译模型,支持多种主流文档格式。

立即体验