Suppr超能文献

长链非编码 RNA 665 通过 miR-186-5p/MAP4K3 轴调控肝癌细胞活力、凋亡和自噬。

Long Intergenic Non-Protein Coding RNA 665 Regulates Viability, Apoptosis, and Autophagy via the MiR-186-5p/MAP4K3 Axis in Hepatocellular Carcinoma.

机构信息

Department of General Surgery, Jinchang Central Hospital, Jinchang, Gansu, China.

Department of Ultrasound, Shenzhen Hospital of Southern Medical University, Shenzhen, China.

出版信息

Yonsei Med J. 2019 Sep;60(9):842-853. doi: 10.3349/ymj.2019.60.9.842.

Abstract

PURPOSE

Long intergenic non-protein coding RNA 665 (LINC00665) plays a vital role in the development of cancer. Its function in hepatocellular carcinoma (HCC), however, remains largely unknown.

MATERIALS AND METHODS

The expressions of LINC00665, miR-186-5p, and MAP4K3 were determined by qRT-PCR. Cell viability and apoptosis were evaluated by MTT and flow cytometry, respectively. Autophagic puncta formation was observed by fluorescence microscopy. Bioinformatics analysis, luciferase reporter assay, RNA immunoprecipitation, and RNA pulldown were performed to identify associations among LINC00665, miR-186-5p, and MAP4K3. Western blot was utilized to examine the expressions of MAP4K3, Beclin-1, and LC3. Tumor growth was evaluated in a xenograft model.

RESULTS

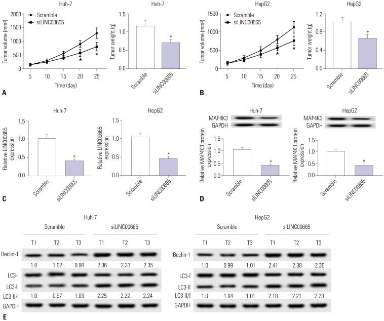
Elevations in LINC00665 were observed in HCC tissues and cells. The overall survival of HCC patients with high levels of LINC00665 was shorter than those with low levels. In vitro, LINC00665 depletion inhibited viability and induced apoptosis and autophagy. miR-186-5p interacted with LINC00665 and was downregulated in HCC tissues and cells. Upregulation of miR-186-5p inhibited viability and induced apoptosis and autophagy, which were attenuated by upregulation of LINC00665. MAP4K3 was found to possess binding sites with miR-186-5p and was upregulated in HCC tissues and cells. MAP4K3 depletion inhibited viability and induced apoptosis and autophagy, which were attenuated by miR-186-5p inhibitor. In vivo, miR-186-5p expression was negatively correlated with LINC00665 or MAP4K3 in HCC tissues, while LINC00665 was positively correlated with MAP4K3. LINC00665 knockdown suppressed tumor growth.

CONCLUSION

LINC00665 was involved in cell viability, apoptosis, and autophagy in HCC via miR-186-5p/MAP4K3 axis, which may provide a new approach for HCC treatment.

摘要

目的

长链非编码 RNA 665(LINC00665)在癌症的发展中起着至关重要的作用。然而,它在肝细胞癌(HCC)中的功能仍知之甚少。

材料与方法

通过 qRT-PCR 测定 LINC00665、miR-186-5p 和 MAP4K3 的表达。通过 MTT 和流式细胞术分别评估细胞活力和细胞凋亡。通过荧光显微镜观察自噬斑点形成。通过生物信息学分析、荧光素酶报告基因检测、RNA 免疫沉淀和 RNA 下拉实验来鉴定 LINC00665、miR-186-5p 和 MAP4K3 之间的关联。Western blot 用于检测 MAP4K3、Beclin-1 和 LC3 的表达。在异种移植模型中评估肿瘤生长。

结果

在 HCC 组织和细胞中观察到 LINC00665 的升高。LINC00665 水平高的 HCC 患者的总生存期短于 LINC00665 水平低的患者。体外,LINC00665 耗竭抑制细胞活力并诱导细胞凋亡和自噬。miR-186-5p 与 LINC00665 相互作用,在 HCC 组织和细胞中下调。miR-186-5p 的上调抑制细胞活力并诱导细胞凋亡和自噬,而 LINC00665 的上调则减弱了这些作用。发现 MAP4K3 与 miR-186-5p 具有结合位点,并在 HCC 组织和细胞中上调。MAP4K3 耗竭抑制细胞活力并诱导细胞凋亡和自噬,而 miR-186-5p 抑制剂则减弱了这些作用。体内,miR-186-5p 在 HCC 组织中与 LINC00665 或 MAP4K3 呈负相关,而 LINC00665 与 MAP4K3 呈正相关。LINC00665 敲低抑制肿瘤生长。

结论

LINC00665 通过 miR-186-5p/MAP4K3 轴参与 HCC 中的细胞活力、凋亡和自噬,这可能为 HCC 治疗提供新方法。

https://cdn.ncbi.nlm.nih.gov/pmc/blobs/9282/6704017/75e81295d1b8/ymj-60-842-g001.jpg

文献AI研究员

20分钟写一篇综述,助力文献阅读效率提升50倍。

立即体验

用中文搜PubMed

大模型驱动的PubMed中文搜索引擎

马上搜索

文档翻译

学术文献翻译模型,支持多种主流文档格式。

立即体验