Suppr超能文献

WTAP是高级别浆液性卵巢癌的一个预后标志物,并调节卵巢癌细胞的进展。

WTAP is a prognostic marker of high-grade serous ovarian cancer and regulates the progression of ovarian cancer cells.

作者信息

Yu Hai-Lan, Ma Xu-Dong, Tong Jin-Fei, Li Jian-Qiong, Guan Xiao-Jing, Yang Jian-Hua

机构信息

Assisted Reproduction Unit, Department of Obstetrics and Gynecology, Sir Run Run Shaw Hospital, Zhejiang University School of Medicine, Hangzhou, People's Republic of China.

Key Laboratory of Reproductive Dysfunction Management of Zhejiang Province, Hangzhou, People's Republic of China.

出版信息

Onco Targets Ther. 2019 Aug 6;12:6191-6201. doi: 10.2147/OTT.S205730. eCollection 2019.

Abstract

BACKGROUND

The Wilms' tumor suppressor WT1 is reported to work in a range of physiological processes at both transcriptional and posttranscriptional level. WT1-associating protein (WTAP), a nuclear protein co-localized with splicing factors, also plays a vital role in cellular function and cancer progression. However, little is known about the role of WTAP in ovarian cancer and the underlying mechanism.

MATERIALS AND METHODS

To evaluate the expression of WTAP, multiple means were applied in clinical tissues, including immunohistochemistry, quantitative reverse transcriptase PCR (qRT-PCR), and Western blot. Two representative ovarian cancer cell lines (3AO and SKOV3) were used to assess the malignant influence of WTAP on proliferation, apoptosis, and migration. To explore its function, WTAP was additionally down-regulated by lentivirus.

RESULTS

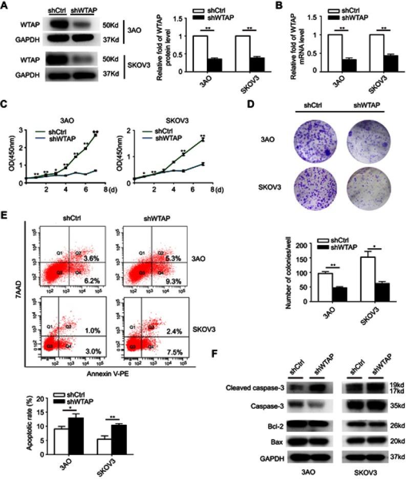
High expression of WTAP in high-grade serous ovarian carcinoma (HGSOC) predicted a shorter overall survival (<0.01). Furthermore, WTAP expression was higher in HGSOC, compared with that in normal ovary group (<0.01), benign ovarian tumor group (<0.01), and non-HGSOC group (<0.05). In HGSOC, high expression of WTAP was significantly related with the lymph node metastasis (<0.05). In ovarian cancer cell lines, cell proliferation and migration were considerably reduced after WTAP was down-regulated, while apoptotic rate was increased. Moreover, the effect of WTAP in 3AO and SKOV3 might be relevant with MAPK and AKT signaling pathways.

CONCLUSION

WTAP is highly expressed in HGSOC, and indicates a worse survival outcome. Therefore, it is highly possible that WTAP has a prognostic implication in the patients of HGSOC. In addition, WTAP down-regulation also plays a tumor suppressor role in 3AO and SKOV3 cell lines.

摘要

背景

据报道,威尔姆斯肿瘤抑制因子WT1在一系列生理过程的转录和转录后水平发挥作用。WT1相关蛋白(WTAP)是一种与剪接因子共定位的核蛋白,在细胞功能和癌症进展中也起着至关重要的作用。然而,关于WTAP在卵巢癌中的作用及其潜在机制知之甚少。

材料与方法

为评估WTAP的表达,在临床组织中采用了多种方法,包括免疫组化、定量逆转录聚合酶链反应(qRT-PCR)和蛋白质免疫印迹法。使用两种具有代表性的卵巢癌细胞系(3AO和SKOV3)来评估WTAP对增殖、凋亡和迁移的恶性影响。为探究其功能,通过慢病毒进一步下调WTAP。

结果

WTAP在高级别浆液性卵巢癌(HGSOC)中的高表达预示着总生存期较短(<0.01)。此外,与正常卵巢组(<0.01)、良性卵巢肿瘤组(<0.01)和非HGSOC组(<0.05)相比,HGSOC中WTAP的表达更高。在HGSOC中,WTAP的高表达与淋巴结转移显著相关(<0.05)。在卵巢癌细胞系中,WTAP下调后细胞增殖和迁移明显减少,而凋亡率增加。此外,WTAP在3AO和SKOV3中的作用可能与MAPK和AKT信号通路有关。

结论

WTAP在HGSOC中高表达,提示生存结果较差。因此,WTAP很可能对HGSOC患者具有预后意义。此外,WTAP下调在3AO和SKOV3细胞系中也发挥肿瘤抑制作用。

https://cdn.ncbi.nlm.nih.gov/pmc/blobs/d41b/6689666/a1815b5268d3/OTT-12-6191-g0001.jpg

文献AI研究员

20分钟写一篇综述,助力文献阅读效率提升50倍。

立即体验

用中文搜PubMed

大模型驱动的PubMed中文搜索引擎

马上搜索

文档翻译

学术文献翻译模型,支持多种主流文档格式。

立即体验