Suppr超能文献

咪唑通过激活凋亡途径抑制结肠癌细胞生长。

Inhibition of Colon Cancer Cell Growth by Imidazole Through Activation of Apoptotic Pathway.

机构信息

Department of General Surgery, The First People's Hospital of Yunnan Province, The Affiliated Hospital of Kunming University of Science and Technology, Kunming, Yunnan, China (mainland).

Department of General Surgery, The Second Affiliated Hospital of Xi'an Medical University, Xi'an, Shaanxi, China (mainland).

出版信息

Med Sci Monit. 2019 Oct 10;25:7597-7604. doi: 10.12659/MSM.917779.

Abstract

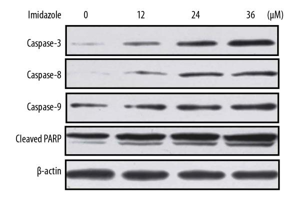
BACKGROUND This study aimed to investigate the inhibitory effect of imidazole on colon cancer cell proliferation and understand the mechanism involved. MATERIAL AND METHODS MTT assay and flow cytometry using Hoechst 33258 staining were used to assess cell proliferation and morphology, respectively. Changes in protein expression was determined by western blotting assay. The reactive oxygen species (ROS) production in DLD-1 cells was analyzed by flow cytometry using DCFH-DA (2',7'-dichlorofluorescein diacetate) stain. RESULTS DLD-1 and HCT-116 cell viability was suppressed by imidazole in a concentration-based manner. At the concentration of 36 μM, imidazole reduced DLD-1 and HCT-116 cell viability to 22% and 28%, respectively. Treatment with imidazole led to chromatin material condensation, detaching of cells, and apoptotic nuclei. In imidazole treated cells, the G1/G0 phase cell proportion increased, whereas in the S and G2/M phases the cell proportion decreased. Imidazole treatment of DLD-1 cells markedly promoted activation of caspase-3, caspase-8, and caspase-9. The level of cleaved PARP1 was also upregulated in DLD-1 cells with imidazole treatment. Treatment of DLD-1 cells with imidazole suppressed Bcl-2 and promoted Bax, p53, and cytc expression. The Akt activation was suppressed by imidazole treatment in DLD-1 cells. ROS generation in DLD-1 cells was enhanced markedly by treatment with imidazole. CONCLUSIONS The present study demonstrated that imidazole inhibited colon cancer cell viability through activation of apoptosis and cell cycle arrest by increasing the generation of ROS, caspase activation, and apoptotic protein expression. Therefore, imidazole can act as a therapeutic molecule for the treatment of colon cancer.

摘要

背景

本研究旨在探讨咪唑对结肠癌细胞增殖的抑制作用,并探讨其相关机制。

材料与方法

采用 MTT 法和 Hoechst 33258 染色的流式细胞术分别评估细胞增殖和形态变化,采用 Western blot 法检测蛋白表达变化,采用 DCFH-DA(2',7'-二氯荧光素二乙酸酯)染色的流式细胞术分析 DLD-1 细胞中活性氧(ROS)的产生。

结果

咪唑以浓度依赖的方式抑制 DLD-1 和 HCT-116 细胞活力。在 36 μM 的浓度下,咪唑将 DLD-1 和 HCT-116 细胞活力分别降低至 22%和 28%。用咪唑处理导致染色质物质浓缩、细胞脱落和凋亡核。在咪唑处理的细胞中,G1/G0 期细胞比例增加,而 S 和 G2/M 期细胞比例减少。咪唑处理 DLD-1 细胞明显促进了 caspase-3、caspase-8 和 caspase-9 的激活。在咪唑处理的 DLD-1 细胞中,cleaved PARP1 的水平也上调。用咪唑处理 DLD-1 细胞抑制了 Bcl-2 的表达,促进了 Bax、p53 和 cytc 的表达。用咪唑处理 DLD-1 细胞抑制了 Akt 的激活。用咪唑处理明显增强了 DLD-1 细胞中 ROS 的产生。

结论

本研究表明,咪唑通过增加 ROS 的产生、caspase 的激活和凋亡蛋白的表达,抑制结肠癌细胞活力,从而诱导细胞凋亡和细胞周期阻滞。因此,咪唑可以作为治疗结肠癌的治疗分子。

https://cdn.ncbi.nlm.nih.gov/pmc/blobs/e136/6798726/8399782df9fa/medscimonit-25-7597-g001.jpg

文献AI研究员

20分钟写一篇综述,助力文献阅读效率提升50倍。

立即体验

用中文搜PubMed

大模型驱动的PubMed中文搜索引擎

马上搜索

文档翻译

学术文献翻译模型,支持多种主流文档格式。

立即体验