Suppr超能文献

鸭蛋型鸭源 Tembusu 病毒分离株对北京鸭雏鸭的致病性。

Pathogenicity of egg-type duck-origin isolate of Tembusu virus in Pekin ducklings.

机构信息

Key Laboratory of Animal Epidemiology of the Ministry of Agriculture, College of Veterinary Medicine, China Agricultural University, No. 2 Yuanmingyuan West Road, Haidian district, Beijing, 100193, People's Republic of China.

State Key Laboratory of Proteomics, Beijing Proteome Research Center, National Center for Protein Sciences-Beijing (PHOENIX Center), Beijing Institute of Lifeomics, Beijing, China.

出版信息

BMC Vet Res. 2019 Oct 24;15(1):362. doi: 10.1186/s12917-019-2136-x.

Abstract

BACKGROUND

Tembusu virus (TMUV) usually affects adult ducks, causing a severe drop of egg production. It has also been shown to be pathogenic in commercial Pekin ducklings below 7 weeks of age. Here, we report a TMUV-caused neurological disease in young egg-type ducklings and the pathogenicity of the egg-type duck-origin TMUV isolates in meat-type Pekin ducklings.

RESULTS

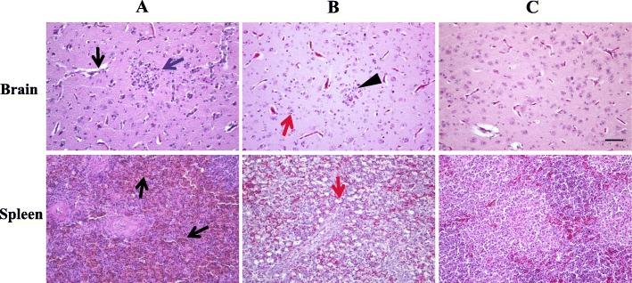
The disease occurred in 25 to 40-day-old Jinding ducklings in China, and was characterized by paralysis. Gross lesions were lacking and microscopic lesions appeared chiefly in brain and spleen. Inoculation in embryonated duck eggs resulted in isolation of TMUV Y and GL. The clinical signs and microscopic lesions observed in the spontaneously infected egg-type ducks were repeated in Pekin ducklings by experimental infection. Notably, both Y and GL strains caused 100% mortality in the case of 2-day-old inoculation by intracerebral route. High mortalities (80 and 70%) also occurred following infection of the Y virus at 2 days of age by intramuscular route and at 9 days of age by intracerebral route.

CONCLUSIONS

These findings demonstrate that the egg-type duck-origin TMUVs exhibit high pathogenicity in Pekin ducklings, and that the severity of the disease in ducklings is dependent on the infection route and the age of birds at the time of infection. The availability of the highly pathogenic TMUV strains provides a useful material with which to begin investigations into the molecular basis of TMUV pathogenicity in ducks.

摘要

背景

黄病毒(TMUV)通常感染成年鸭,导致产蛋量严重下降。研究表明,它对 7 周龄以下的商业北京鸭雏鸭也具有致病性。在此,我们报告了一种由 TMUV 引起的雏鸭神经疾病,以及蛋鸭源 TMUV 分离株对肉鸭北京鸭的致病性。

结果

该疾病发生在中国 25 至 40 日龄的金定鸭中,特征为瘫痪。大体病变缺乏,显微镜下病变主要出现在脑和脾脏。接种鸭胚可分离出 TMUV Y 和 GL 株。在自然感染的蛋鸭中观察到的临床症状和显微镜下病变,通过实验感染在肉鸭北京鸭中重复出现。值得注意的是,Y 和 GL 株通过脑内途径接种 2 日龄雏鸭时,死亡率均达到 100%。Y 病毒通过肌肉途径接种 2 日龄和脑内途径接种 9 日龄雏鸭时,死亡率也分别高达 80%和 70%。

结论

这些发现表明,蛋鸭源 TMUV 在肉鸭中具有高致病性,雏鸭的疾病严重程度取决于感染途径和感染时鸟类的年龄。高致病性 TMUV 株的出现为研究 TMUV 在鸭中的致病性分子基础提供了有用的材料。

https://cdn.ncbi.nlm.nih.gov/pmc/blobs/6678/6813075/5b05a2935be7/12917_2019_2136_Fig1_HTML.jpg

文献AI研究员

20分钟写一篇综述,助力文献阅读效率提升50倍。

立即体验

用中文搜PubMed

大模型驱动的PubMed中文搜索引擎

马上搜索

文档翻译

学术文献翻译模型,支持多种主流文档格式。

立即体验