Suppr超能文献

硫氧还蛋白相关跨膜蛋白 2(TMX2)调节 Ran 蛋白梯度和依赖于 importin-β 的核货物运输。

Thioredoxin-related transmembrane protein 2 (TMX2) regulates the Ran protein gradient and importin-β-dependent nuclear cargo transport.

机构信息

Department of Biomedical Chemistry, School of Science and Technology, Kwansei Gakuin University, Sanda, Japan.

Program of Biomedical Science, Graduate School of Integrated Sciences for Life, Hiroshima University, Hiroshima, Japan.

出版信息

Sci Rep. 2019 Oct 25;9(1):15296. doi: 10.1038/s41598-019-51773-x.

Abstract

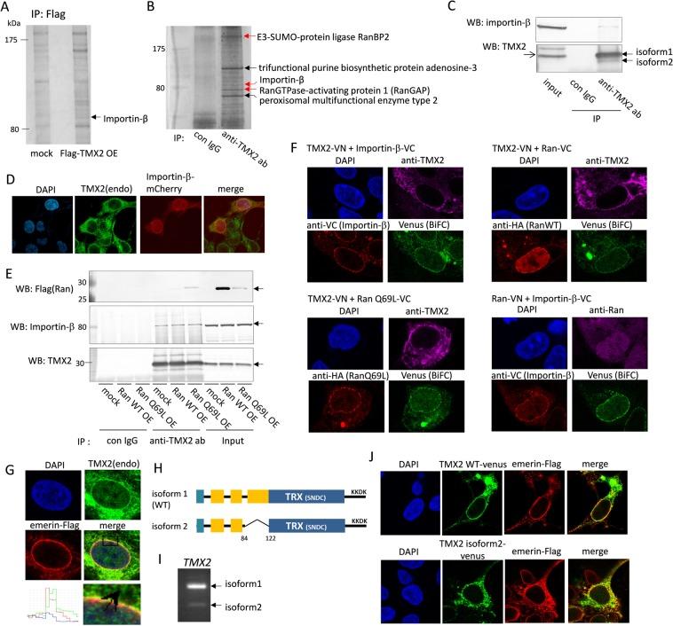
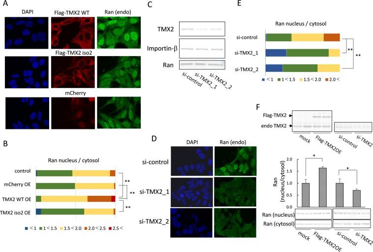
TMX2 is a thioredoxin family protein, but its functions have not been clarified. To elucidate the function of TMX2, we explored TMX2-interacting proteins by LC-MS. As a result, importin-β, Ran GTPase (Ran), RanGAP, and RanBP2 were identified. Importin-β is an adaptor protein which imports cargoes from cytosol to the nucleus, and is exported into the cytosol by interaction with RanGTP. At the cytoplasmic nuclear pore, RanGAP and RanBP2 facilitate hydrolysis of RanGTP to RanGDP and the disassembly of the Ran-importin-β complex, which allows the recycling of importin-β and reentry of Ran into the nucleus. Despite its interaction of TMX2 with importin-β, we showed that TMX2 is not a transport cargo. We found that TMX2 localizes in the outer nuclear membrane with its N-terminus and C-terminus facing the cytoplasm, where it co-localizes with importin-β and Ran. Ran is predominantly distributed in the nucleus, but TMX2 knockdown disrupted the nucleocytoplasmic Ran gradient, and the cysteine 112 residue of Ran was important in its regulation by TMX2. In addition, knockdown of TMX2 suppressed importin-β-mediated transport of protein. These results suggest that TMX2 works as a regulator of protein nuclear transport, and that TMX2 facilitates the nucleocytoplasmic Ran cycle by interaction with nuclear pore proteins.

摘要

TMX2 是一种硫氧还蛋白家族蛋白,但它的功能尚未阐明。为了阐明 TMX2 的功能,我们通过 LC-MS 探索了与 TMX2 相互作用的蛋白质。结果鉴定出了 importin-β、Ran GTPase(Ran)、RanGAP 和 RanBP2。Importin-β 是一种衔接蛋白,可将货物从细胞质导入细胞核,并通过与 RanGTP 相互作用而输出到细胞质。在细胞质核孔处,RanGAP 和 RanBP2 促进 RanGTP 水解为 RanGDP 和 Ran-importin-β 复合物的解体,从而允许 importin-β 循环利用并使 Ran 重新进入细胞核。尽管 TMX2 与 importin-β 相互作用,但我们表明 TMX2 不是运输货物。我们发现 TMX2 其 N 端和 C 端位于细胞质侧,定位于核外膜上,与 importin-β 和 Ran 共定位。Ran 主要分布在核内,但 TMX2 敲低破坏了核质 Ran 梯度,并且 Ran 的半胱氨酸 112 残基在其被 TMX2 调控中很重要。此外,TMX2 敲低抑制了 importin-β 介导的蛋白质运输。这些结果表明,TMX2 作为蛋白质核转运的调节剂发挥作用,并且 TMX2 通过与核孔蛋白相互作用促进核质 Ran 循环。

https://cdn.ncbi.nlm.nih.gov/pmc/blobs/9203/6814788/27cd065eb45d/41598_2019_51773_Fig1_HTML.jpg

文献AI研究员

20分钟写一篇综述,助力文献阅读效率提升50倍。

立即体验

用中文搜PubMed

大模型驱动的PubMed中文搜索引擎

马上搜索

文档翻译

学术文献翻译模型,支持多种主流文档格式。

立即体验