Suppr超能文献

罗伊氏乳杆菌 Lcr35 作为一种有效的治疗方法,可预防无脊椎动物模型秀丽隐杆线虫中的白色念珠菌感染:初步的机制见解。

Lactobacillus rhamnosus Lcr35 as an effective treatment for preventing Candida albicans infection in the invertebrate model Caenorhabditis elegans: First mechanistic insights.

机构信息

Université Clermont Auvergne, INRA, VetAgro Sup, Aurillac, France.

Biose Industrie, Aurillac, France.

出版信息

PLoS One. 2019 Nov 6;14(11):e0216184. doi: 10.1371/journal.pone.0216184. eCollection 2019.

Abstract

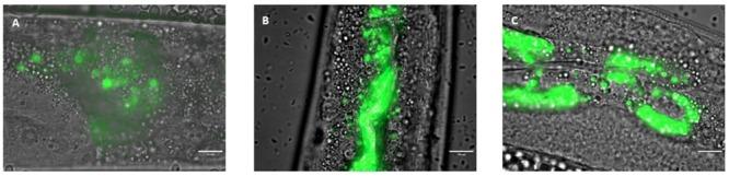
The increased recurrence of Candida albicans infections is associated with greater resistance to antifungal drugs. This involves the establishment of alternative therapeutic protocols, such as probiotic microorganisms whose antifungal potential has already been demonstrated using preclinical models (cell cultures, laboratory animals). Understanding the mechanisms of action of probiotic microorganisms has become a strategic need for the development of new therapeutics for humans. In this study, we investigated the prophylactic anti-C. albicans properties of Lactobacillus rhamnosus Lcr35® using the in vitro Caco-2 cell model and the in vivo Caenorhabditis elegans model. In Caco-2 cells, we showed that the strain Lcr35® significantly inhibited the growth (~2 log CFU.mL-1) and adhesion (150 to 6,300 times less) of the pathogen. Moreover, in addition to having a pro-longevity activity in the nematode (+42.9%, p = 3.56.10-6), Lcr35® protects the animal from the fungal infection (+267% of survival, p < 2.10-16) even if the yeast is still detectable in its intestine. At the mechanistic level, we noticed the repression of genes of the p38 MAPK signalling pathway and genes involved in the antifungal response induced by Lcr35®, suggesting that the pathogen no longer appears to be detected by the worm immune system. However, the DAF-16/FOXO transcription factor, implicated in the longevity and antipathogenic response of C. elegans, is activated by Lcr35®. These results suggest that the probiotic strain acts by stimulating its host via DAF-16 but also by suppressing the virulence of the pathogen.

摘要

白色念珠菌感染的复发率增加与抗真菌药物的耐药性增加有关。这涉及到建立替代治疗方案,例如益生菌微生物,其抗真菌潜力已经通过临床前模型(细胞培养、实验动物)得到证实。了解益生菌微生物的作用机制已成为开发人类新疗法的战略需求。在这项研究中,我们使用体外 Caco-2 细胞模型和体内秀丽隐杆线虫模型研究了鼠李糖乳杆菌 Lcr35®预防白色念珠菌的特性。在 Caco-2 细胞中,我们表明该菌株 Lcr35®显著抑制病原体的生长(~2 对数 CFU.mL-1)和粘附(减少 150 到 6300 倍)。此外,除了在线虫中具有延长寿命的活性(+42.9%,p = 3.56.10-6)外,Lcr35®还能保护动物免受真菌感染(+267%的存活率,p < 2.10-16),即使真菌仍可在其肠道中检测到。在机制水平上,我们注意到 p38 MAPK 信号通路的基因和 Lcr35®诱导的抗真菌反应相关基因的表达受到抑制,这表明线虫的免疫系统不再检测到病原体。然而,DAF-16/FOXO 转录因子参与线虫的寿命和抗病原体反应,被 Lcr35®激活。这些结果表明,益生菌菌株通过激活其宿主的 DAF-16 发挥作用,但也通过抑制病原体的毒力发挥作用。

https://cdn.ncbi.nlm.nih.gov/pmc/blobs/0c0f/6834333/168534a70c20/pone.0216184.g001.jpg

文献AI研究员

20分钟写一篇综述,助力文献阅读效率提升50倍。

立即体验

用中文搜PubMed

大模型驱动的PubMed中文搜索引擎

马上搜索

文档翻译

学术文献翻译模型,支持多种主流文档格式。

立即体验