Suppr超能文献

在手术部位持续积聚的抗生素软膏伪装成脂肪瘤。

Persistent collection of antibiotic ointment masquerading as a lipoma arising at a surgical site.

作者信息

Kurokawa Ryo, Amemiya Shiori, Akashi Ken, Abe Osamu

机构信息

Department of Radiology, Graduate School of Medicine, The University of Tokyo, 7-3-1 Hongo, Bunkyo-ku, Tokyo 113-8655, Japan.

Department of Otolaryngology and Head and Neck Surgery, Graduate School of Medicine, The University of Tokyo, 7-3-1 Hongo, Bunkyo-ku, Tokyo 113-8655, Japan.

出版信息

Radiol Case Rep. 2019 Sep 25;14(11):1423-1426. doi: 10.1016/j.radcr.2019.09.012. eCollection 2019 Nov.

Abstract

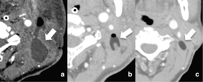
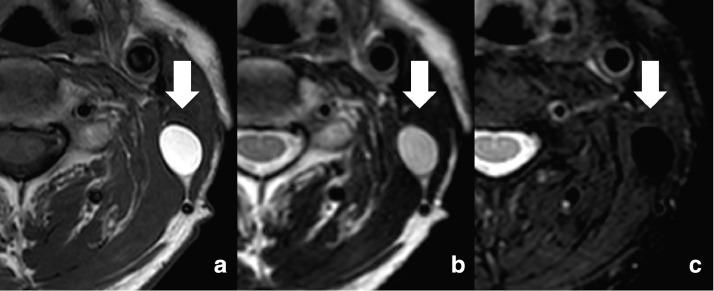
Antibiotic ointments are often used to treat or prevent infections in surgical wounds. However, due to a dearth of reports on adverse effects, the complications of the use of such ointments, especially possible long-term effects, are largely unknown. We experienced a unique case of a cystic lesion that developed after surgical site infection treated with gentamicin ointment in a 62-year-old man who underwent subtotal glossectomy for tongue cancer. The antibiotic ointment that was applied following abscess drainage remained there, replacing the abscess cavity and forming an oval mass. The lesion was found incidentally on follow-up MR examination to monitor cancer recurrence. On both T1- and T2-weighted images, it showed high-intensity reflecting oily base material, constituting the ointment, which appeared to be a fat-containing tumor such as a lipoma that had arisen at the surgical site. Echo-guided drainage extracted the ointment, which was seemingly unaltered from the time it was applied 11 months before. We describe the clinical course and imaging findings to acknowledge this potential adverse effect associated with topical antibiotic treatment for surgical site infection.

摘要

抗生素软膏常用于治疗或预防手术伤口感染。然而,由于关于不良反应的报道较少,此类软膏使用的并发症,尤其是可能的长期影响,在很大程度上尚不明确。我们遇到了一例独特的囊性病变病例,该病例发生在一名62岁因舌癌接受舌次全切除术的男性患者身上,其手术部位感染后用庆大霉素软膏治疗。脓肿引流后涂抹的抗生素软膏留在了原处,取代了脓肿腔并形成了一个椭圆形肿块。该病变是在随访磁共振检查以监测癌症复发时偶然发现的。在T1加权和T2加权图像上,它均显示出高强度信号,反映了构成软膏的油性基质,看起来像是手术部位出现的含脂肪肿瘤,如脂肪瘤。超声引导下引流抽出了软膏,其外观与11个月前涂抹时似乎没有变化。我们描述了该临床过程和影像学表现,以认识到这种与手术部位感染局部抗生素治疗相关的潜在不良反应。

https://cdn.ncbi.nlm.nih.gov/pmc/blobs/6c1f/6823761/f7d026c30103/gr1.jpg

文献AI研究员

20分钟写一篇综述,助力文献阅读效率提升50倍。

立即体验

用中文搜PubMed

大模型驱动的PubMed中文搜索引擎

马上搜索

文档翻译

学术文献翻译模型,支持多种主流文档格式。

立即体验