Suppr超能文献

来自[具体来源未给出]的乙酸乙酯提取物对MDA-MB-231人乳腺癌细胞的抗癌作用:通过广泛诱导细胞凋亡、细胞周期阻滞和抗转移作用。

Anticancer Effect of the Ethyl Acetate Fraction from on MDA-MB-231 Human Breast Cancer Cells through Extensive Induction of Apoptosis, Cell Cycle Arrest, and Antimetastasis.

作者信息

Kwon Ji-Hye, Kim Jae-Hyeon, Ryu Deok-Seon, Lee Hyun-Ji, Lee Dong-Seok

机构信息

Department of Biomedical Laboratory Science, Inje University, 197 Inje-ro, Gimhae 50834, Gyeongnam, Republic of Korea.

Department of Biomedical Laboratory Science, Soonchunhyang University, Asan 31538, Chungnam, Republic of Korea.

出版信息

Evid Based Complement Alternat Med. 2019 Nov 6;2019:8951510. doi: 10.1155/2019/8951510. eCollection 2019.

Abstract

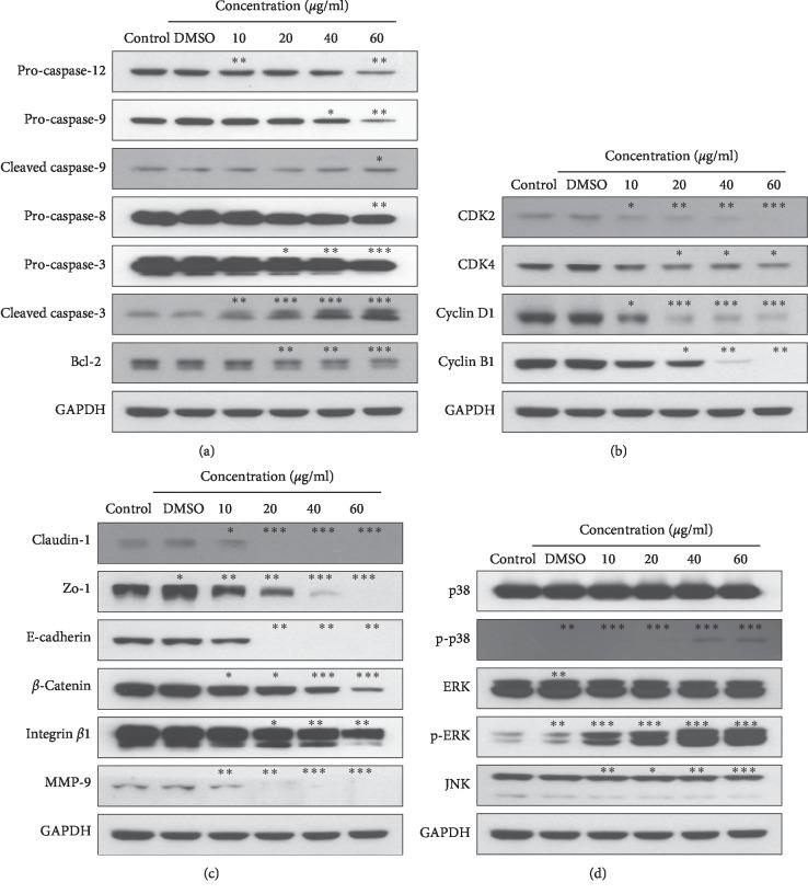
The antibreast cancer activities of the ethyl acetate fraction from (OJEF) were investigated in MDA-MB-231 human breast cancer cells through WST assay, DAPI staining, flow cytometry analysis, and western blotting. OJEF effectively inhibited MDA-MB-231 cells by inducing apoptosis via intrinsic, extrinsic, and endoplasmic reticulum (ER) stress response pathways, cell cycle arrest at the G1/S phase, and antimetastasis including inhibition of tight junction, adherens junction, invasion, and migration. The MAPK family-mediated upstream signal transduction through p-p38 and p-ERK was considered to affect the downstream signal transduction including induction of apoptosis, cell cycle arrest, and antimetastasis. In conclusion, we executed an integrated study on the anticancer activities of OJEF, which extensively induced apoptosis, cell cycle arrest, and antimetastasis in estrogen-independent MDA-MB-231 human breast cancer cells known to be liable to metastasize.

摘要

通过WST检测、DAPI染色、流式细胞术分析和蛋白质印迹法,研究了(OJEF)乙酸乙酯部位对MDA-MB-231人乳腺癌细胞的抗乳腺癌活性。OJEF通过内源性、外源性和内质网(ER)应激反应途径诱导细胞凋亡,使细胞周期停滞在G1/S期,并具有抗转移作用,包括抑制紧密连接、黏附连接、侵袭和迁移,从而有效抑制MDA-MB-231细胞。丝裂原活化蛋白激酶(MAPK)家族通过p-p38和p-ERK介导的上游信号转导被认为会影响包括诱导细胞凋亡、细胞周期停滞和抗转移在内的下游信号转导。总之,我们对OJEF的抗癌活性进行了综合研究,OJEF在已知易转移的雌激素非依赖性MDA-MB-231人乳腺癌细胞中广泛诱导细胞凋亡、细胞周期停滞和抗转移。

https://cdn.ncbi.nlm.nih.gov/pmc/blobs/0e49/6874866/4e523a38c0be/ECAM2019-8951510.001.jpg

文献AI研究员

20分钟写一篇综述,助力文献阅读效率提升50倍。

立即体验

用中文搜PubMed

大模型驱动的PubMed中文搜索引擎

马上搜索

文档翻译

学术文献翻译模型,支持多种主流文档格式。

立即体验