Suppr超能文献

RARS1 相关的低髓鞘形成性白质脑病:扩展谱。

RARS1-related hypomyelinating leukodystrophy: Expanding the spectrum.

机构信息

Metabolic Unit, Department of Clinical Chemistry, Amsterdam Neuroscience, Amsterdam Gastroenterology & Metabolism, Amsterdam UMC, Vrije Universiteit Amsterdam, Amsterdam, Netherlands.

Department of Paediatric Neurology, Leeds Teaching Hospitals Trust, Leeds, United Kingdom.

出版信息

Ann Clin Transl Neurol. 2020 Jan;7(1):83-93. doi: 10.1002/acn3.50960. Epub 2019 Dec 8.

Abstract

OBJECTIVE

Biallelic variants in RARS1, encoding the cytoplasmic tRNA synthetase for arginine (ArgRS), cause a hypomyelinating leukodystrophy. This study aimed to investigate clinical, neuroradiological and genetic features of patients with RARS1-related disease, and to identify possible genotype-phenotype relationships.

METHODS

We performed a multinational cross-sectional survey among 20 patients with biallelic RARS1 variants identified by next-generation sequencing techniques. Clinical data, brain MRI findings and genetic results were analyzed. Additionally, ArgRS activity was measured in fibroblasts of four patients, and translation of long and short ArgRS isoforms was quantified by western blot.

RESULTS

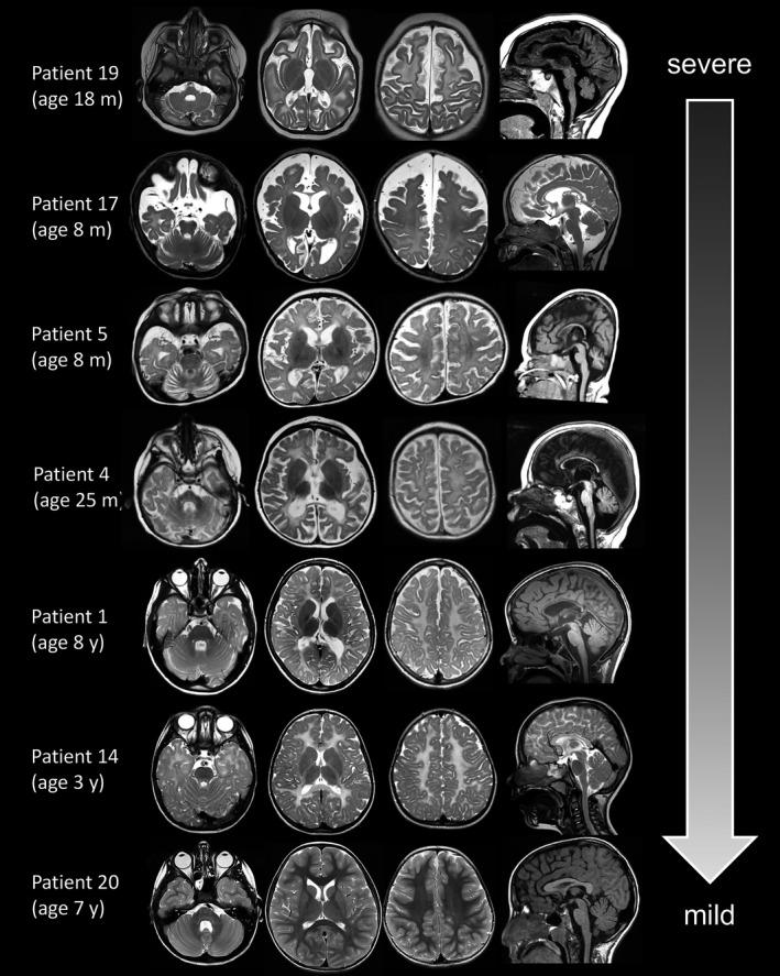
Clinical presentation ranged from severe (onset in the first 3 months, usually with refractory epilepsy and early brain atrophy), to intermediate (onset in the first year with nystagmus and spasticity), and mild (onset around or after 12 months with minimal cognitive impairment and preserved independent walking). The most frequent RARS1 variant, c.5A>G, led to mild or intermediate phenotypes, whereas truncating variants and variants affecting amino acids close to the ArgRS active centre led to severe phenotypes. ArgRS activity was significantly reduced in three patients with intermediate and severe phenotypes; in a fourth patient with intermediate to severe presentation, we measured normal ArgRS activity, but found translation mainly of the short instead of the long ArgRS isoform.

INTERPRETATION

Variants in RARS1 impair ArgRS activity and do not only lead to a classic hypomyelination presentation with nystagmus and spasticity, but to a wide spectrum, ranging from severe, early-onset epileptic encephalopathy with brain atrophy to mild disease with relatively preserved myelination.

摘要

目的

编码精氨酸细胞质 tRNA 合成酶(ArgRS)的 RARS1 双等位基因突变可导致脱髓鞘性脑白质营养不良。本研究旨在研究 RARS1 相关疾病患者的临床、神经影像学和遗传学特征,并确定可能的基因型-表型关系。

方法

我们通过下一代测序技术对 20 名双等位基因 RARS1 变异患者进行了跨国横断面研究。分析了临床数据、脑 MRI 结果和遗传结果。此外,还测量了 4 名患者成纤维细胞中的 ArgRS 活性,并通过 Western blot 定量测定长和短 ArgRS 同工型的翻译。

结果

临床表现范围从严重(发病于前 3 个月,通常伴有难治性癫痫和早期脑萎缩)到中度(发病于第 1 年,伴有眼球震颤和痉挛),再到轻度(发病于 12 个月左右,伴有轻度认知障碍和保留独立行走能力)。最常见的 RARS1 变异,c.5A>G,导致轻度或中度表型,而截断变异和影响 ArgRS 活性中心附近氨基酸的变异导致严重表型。在 3 名中重度表型患者中,ArgRS 活性显著降低;在一名中重度表型的第 4 名患者中,我们测量到正常的 ArgRS 活性,但发现主要翻译短的而不是长的 ArgRS 同工型。

解释

RARS1 中的变异会损害 ArgRS 活性,不仅导致具有眼球震颤和痉挛的经典脱髓鞘表现,还导致广泛的表型范围,从伴有脑萎缩的严重、早发性癫痫性脑病到相对保留髓鞘的轻度疾病。

https://cdn.ncbi.nlm.nih.gov/pmc/blobs/25ba/6952319/a0b514f30e57/ACN3-7-83-g001.jpg

文献AI研究员

20分钟写一篇综述,助力文献阅读效率提升50倍。

立即体验

用中文搜PubMed

大模型驱动的PubMed中文搜索引擎

马上搜索

文档翻译

学术文献翻译模型,支持多种主流文档格式。

立即体验