Suppr超能文献

miR-26a通过靶向SOCS5并促进I型干扰素信号传导来抑制猫疱疹病毒1的复制。

miR-26a Inhibits Feline Herpesvirus 1 Replication by Targeting SOCS5 and Promoting Type I Interferon Signaling.

作者信息

Zhang Jikai, Li Zhijie, Huang Jiapei, Yin Hang, Tian Jin, Qu Liandong

机构信息

Division of Zoonosis of Natural Foci, State Key Laboratory of Veterinary Biotechnology, Harbin Veterinary Research Institute, Chinese Academy of Agricultural Sciences, Harbin 150069, China.

出版信息

Viruses. 2019 Dec 18;12(1):2. doi: 10.3390/v12010002.

Abstract

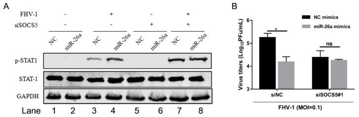
In response to viral infection, host cells activate various antiviral responses to inhibit virus replication. While feline herpesvirus 1 (FHV-1) manipulates the host early innate immune response in many different ways, the host could activate the antiviral response to counteract it through some unknown mechanisms. MicroRNAs (miRNAs) which serve as a class of regulatory factors in the host, participate in the regulation of the host innate immune response against virus infection. In this study, we found that the expression levels of miR-26a were significantly upregulated upon FHV-1 infection. Furthermore, FHV-1 infection induced the expression of miR-26a via a cGAS-dependent pathway, and knockdown of cellular cGAS significantly blocked the expression of miR-26a induced by poly (dA:dT) or FHV-1 infection. Next, we investigated the biological function of miR-26a during viral infection. miR-26a was able to increase the phosphorylation of STAT1 and promote type I IFN signaling, thus inhibiting viral replication. The mechanism study showed that miR-26a directly targeted host SOCS5. Knockdown of SOCS5 increased the phosphorylation of STAT1 and enhanced the type I IFN-mediated antiviral response, and overexpression of suppressor of the cytokine signalling 5 (SOCS5) decreased the phosphorylation of STAT1 and inhibited the type I IFN-mediated antiviral response. Meanwhile, with the knockdown of SOCS5, the upregulated expression of phosphorylated STAT1 and the anti-virus effect induced by miR-26a were significantly inhibited. Taken together, our data demonstrated a new strategy of host miRNAs against FHV-1 infection by enhancing IFN antiviral signaling.

摘要

针对病毒感染,宿主细胞会激活各种抗病毒反应以抑制病毒复制。虽然猫疱疹病毒1型(FHV-1)以多种不同方式操纵宿主早期固有免疫反应,但宿主可通过一些未知机制激活抗病毒反应来对抗它。微小RNA(miRNA)作为宿主中的一类调节因子,参与宿主针对病毒感染的固有免疫反应的调节。在本研究中,我们发现FHV-1感染后miR-26a的表达水平显著上调。此外,FHV-1感染通过cGAS依赖性途径诱导miR-26a的表达,敲低细胞cGAS可显著阻断由聚(dA:dT)或FHV-1感染诱导的miR-26a的表达。接下来,我们研究了miR-26a在病毒感染期间的生物学功能。miR-26a能够增加STAT1的磷酸化并促进I型干扰素信号传导,从而抑制病毒复制。机制研究表明,miR-26a直接靶向宿主的细胞因子信号转导抑制因子5(SOCS5)。敲低SOCS5可增加STAT1的磷酸化并增强I型干扰素介导的抗病毒反应,而细胞因子信号传导抑制因子5(SOCS5)的过表达则降低STAT1的磷酸化并抑制I型干扰素介导的抗病毒反应。同时,随着SOCS5的敲低,miR-26a诱导的磷酸化STAT1的上调表达和抗病毒作用被显著抑制。综上所述,我们的数据证明了宿主miRNA通过增强干扰素抗病毒信号传导来对抗FHV-1感染的新策略。

https://cdn.ncbi.nlm.nih.gov/pmc/blobs/ffae/7020096/314cd9ac0e75/viruses-12-00002-g001.jpg

文献AI研究员

20分钟写一篇综述,助力文献阅读效率提升50倍。

立即体验

用中文搜PubMed

大模型驱动的PubMed中文搜索引擎

马上搜索

文档翻译

学术文献翻译模型,支持多种主流文档格式。

立即体验