Suppr超能文献

一种用于椎弓根螺钉固定的新型机器人系统的初步研究:一项随机对照试验。

A preliminary study of a novel robotic system for pedicle screw fixation: A randomised controlled trial.

作者信息

Li Zongze, Chen Jianting, Zhu Qing-An, Zheng Shaoli, Zhong Zhaoming, Yang Jincheng, Yang Dehong, Jiang Hui, Jiang Wangsheng, Zhu Yongjian, Sun Donghui, Huang Wei, Chen Jiarui

机构信息

Department of Spinal Surgery, Nanfang Hospital, Southern Medical University, Guangzhou, China.

Xinjunte Smart Medical Equipment Co.Ltd, Shenzhen, China.

出版信息

J Orthop Translat. 2019 Sep 16;20:73-79. doi: 10.1016/j.jot.2019.09.002. eCollection 2020 Jan.

Abstract

BACKGROUND AND OBJECTIVE

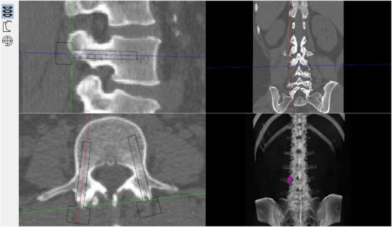
Existing orthopaedic robotic systems are almost restricted to provide guidance for trajectory direction. In the present study, a novel spinal robotic system with automatic drilling power was introduced. The aim of this study is to evaluate the feasibility and safety in pedicle screw ​insertion of posterior lumbar interbody fusion assisted by this novel robotic system.

METHODS AND MATERIALS

A randomised controlled trial was conducted for 17 participants who were required posterior lumbar interbody fusion process. Seven (3 M/4 F) were randomly assigned to the robot-assisted group (RA group), and the other ten (4 M/6 F) were assigned to the conventional technique group (FH group). A novel robotic system was used in the RA group. All measurements were based on postoperative computed tomography (CT) data. Accuracy of screw insertion was determined using the Gertzbein and Robbins Scale. Precision was measured by the entry point deviation distance and the trajectory rotation. Other variables included operation time, radiation time, length of stay, and screw-related complications.

RESULT

A total of 82 pedicle screws were placed in the 17 participants. In the RA group, 90.6% of screws placed were Grade A, and 9.4% were Grade B. In the FH group, 78.0% of screws were Grade A, 20.0% were Grade B, and 2.0% were Grade C. No statistical difference was found in the operation time, radiation time per case, and length of stay between both groups. The radiation time per screw is significantly lower in the RA group. No screw-related complications or revision occurred in the present study.

CONCLUSION

The outcome of screw accuracy of this robotic system was comparable with that of experienced surgeons, and no screw-related complication was found in the RA group during hospitalisation. In addition, radiation time per screw in the robotic group was significantly lower than that in the conventional group, which shows the potential to reduce radiation exposure of pedicle screw fixation assisted by this robotic system.

TRANSLATIONAL POTENTIAL

Our study shows that pedicle screw fixation assisted by "Orthbot" system is accurate and safe. It is concluded that this novel robotic system offers a new option for internal implantation in spine surgery.

摘要

背景与目的

现有的骨科机器人系统几乎仅限于提供轨迹方向引导。在本研究中,引入了一种具有自动钻孔动力的新型脊柱机器人系统。本研究的目的是评估这种新型机器人系统辅助下腰椎椎间融合术椎弓根螺钉植入的可行性和安全性。

方法与材料

对17名需要进行下腰椎椎间融合术的参与者进行了一项随机对照试验。7名(3名男性/4名女性)被随机分配到机器人辅助组(RA组),另外10名(4名男性/6名女性)被分配到传统技术组(FH组)。RA组使用了一种新型机器人系统。所有测量均基于术后计算机断层扫描(CT)数据。使用格茨贝恩和罗宾斯量表确定螺钉植入的准确性。通过进针点偏差距离和轨迹旋转来测量精度。其他变量包括手术时间、辐射时间、住院时间和螺钉相关并发症。

结果

17名参与者共植入82枚椎弓根螺钉。在RA组中,90.6%的植入螺钉为A级,9.4%为B级。在FH组中,78.0%的螺钉为A级,20.0%为B级,2.0%为C级。两组之间的手术时间、每例辐射时间和住院时间均无统计学差异。RA组每枚螺钉的辐射时间显著更低。本研究中未发生螺钉相关并发症或翻修情况。

结论

该机器人系统的螺钉植入准确性结果与经验丰富的外科医生相当,且RA组在住院期间未发现螺钉相关并发症。此外,机器人组每枚螺钉的辐射时间明显低于传统组,这表明该机器人系统辅助下的椎弓根螺钉固定具有减少辐射暴露的潜力。

转化潜力

我们的研究表明,“Orthbot”系统辅助下的椎弓根螺钉固定准确且安全。得出结论,这种新型机器人系统为脊柱手术的内固定植入提供了一种新选择。

https://cdn.ncbi.nlm.nih.gov/pmc/blobs/a503/6939109/ae9726f14f4f/gr1.jpg

文献AI研究员

20分钟写一篇综述,助力文献阅读效率提升50倍。

立即体验

用中文搜PubMed

大模型驱动的PubMed中文搜索引擎

马上搜索

文档翻译

学术文献翻译模型,支持多种主流文档格式。

立即体验