Suppr超能文献

2019年甲状腺粗针活检实践指南:韩国甲状腺协会临床实践指南制定委员会报告

2019 Practice guidelines for thyroid core needle biopsy: a report of the Clinical Practice Guidelines Development Committee of the Korean Thyroid Association.

作者信息

Jung Chan Kwon, Baek Jung Hwan, Na Dong Gyu, Oh Young Lyun, Yi Ka Hee, Kang Ho-Cheol

机构信息

Department of Hospital Pathology, College of Medicine, The Catholic University of Korea, Seoul, Korea.

Cancer Research Institute, College of Medicine, The Catholic University of Korea, Seoul, Korea.

出版信息

J Pathol Transl Med. 2020 Jan;54(1):64-86. doi: 10.4132/jptm.2019.12.04. Epub 2020 Jan 15.

Abstract

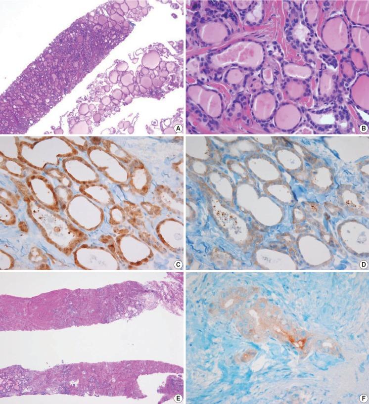
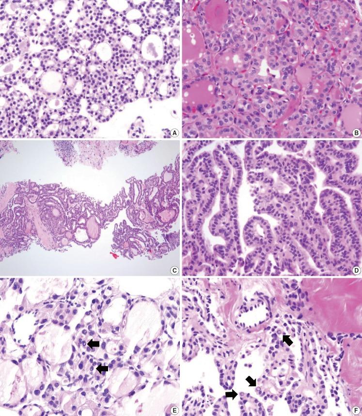
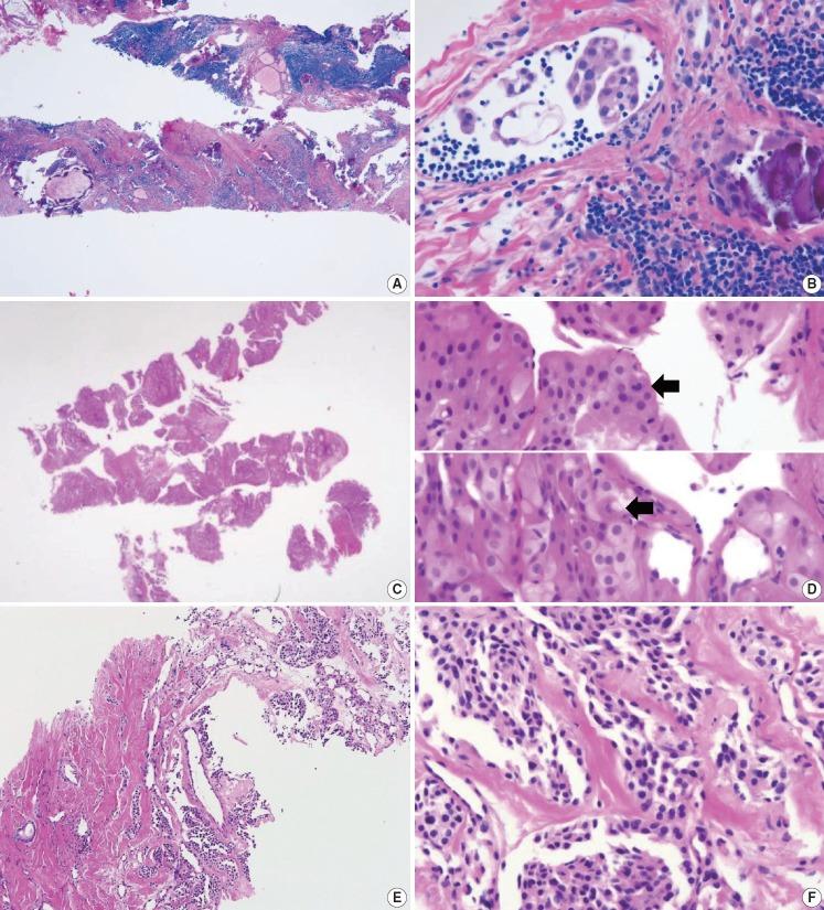
Ultrasound-guided core needle biopsy (CNB) has been increasingly used for the pre-operative diagnosis of thyroid nodules. Since the Korean Society of the Thyroid Radiology published the 'Consensus Statement and Recommendations for Thyroid CNB' in 2017 and the Korean Endocrine Pathology Thyroid CNB Study Group published 'Pathology Reporting of Thyroid Core Needle Biopsy' in 2015, advances have occurred rapidly not only in the management guidelines for thyroid nodules but also in the diagnostic terminology and classification schemes. The Clinical Practice Guidelines Development Committee of the Korean Thyroid Association (KTA) reviewed publications on thyroid CNB from 1995 to September 2019 and updated the recommendations and statements for the diagnosis and management of thyroid nodules using CNB. Recommendations for the resolution of clinical controversies regarding the use of CNB were based on expert opinion. These practical guidelines include recommendations and statements regarding indications for CNB, patient preparation, CNB technique, biopsy-related complications, biopsy specimen preparation and processing, and pathology interpretation and reporting of thyroid CNB.

摘要

超声引导下粗针穿刺活检(CNB)已越来越多地用于甲状腺结节的术前诊断。自韩国甲状腺放射学会于2017年发布《甲状腺CNB共识声明与建议》以及韩国内分泌病理甲状腺CNB研究组于2015年发布《甲状腺粗针穿刺活检的病理报告》以来,不仅甲状腺结节的管理指南,而且诊断术语和分类方案都迅速取得了进展。韩国甲状腺协会(KTA)临床实践指南制定委员会回顾了1995年至2019年9月期间关于甲状腺CNB的出版物,并更新了使用CNB诊断和管理甲状腺结节的建议和声明。关于CNB使用的临床争议解决方案的建议基于专家意见。这些实用指南包括关于CNB的适应证、患者准备、CNB技术、活检相关并发症、活检标本制备和处理以及甲状腺CNB的病理解释和报告的建议和声明。

https://cdn.ncbi.nlm.nih.gov/pmc/blobs/dba4/6986975/007dd09a5228/jptm-2019-12-04f1.jpg

文献AI研究员

20分钟写一篇综述,助力文献阅读效率提升50倍。

立即体验

用中文搜PubMed

大模型驱动的PubMed中文搜索引擎

马上搜索

文档翻译

学术文献翻译模型,支持多种主流文档格式。

立即体验