Suppr超能文献

心肌细胞衍生的外泌体 microRNA-92a 在体外和体内均介导缺血后肌成纤维细胞的激活。

Cardiomyocyte-derived exosomal microRNA-92a mediates post-ischemic myofibroblast activation both in vitro and ex vivo.

机构信息

Department of Medicine, Division of Cardiology and Department of Molecular Pharmacology, Fleischer Institute for Diabetes and Metabolism (FIDAM), Albert Einstein College of Medicine, Montefiore University Hospital, New York, NY, 10461, USA.

Department of Pneumology and Oncology, AORN "Ospedale dei Colli", 80131, Naples, Italy.

出版信息

ESC Heart Fail. 2020 Feb;7(1):284-288. doi: 10.1002/ehf2.12584. Epub 2020 Jan 25.

Abstract

AIMS

We hypothesize that specific microRNAs (miRNAs) within cardiomyocyte-derived exosomes play a pivotal role in the phenoconversion of cardiac myofibroblasts following myocardial infarction (MI).

METHODS AND RESULTS

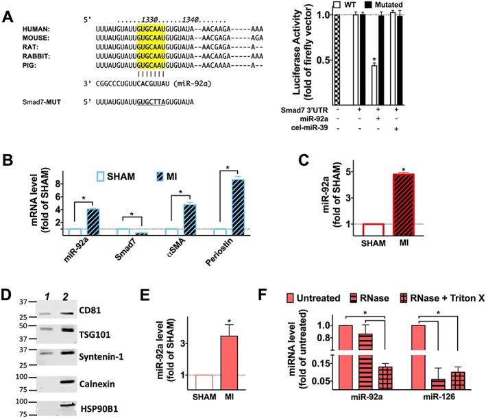
We used an established murine model of MI, obtained in vivo via ligation of the left anterior descending coronary artery. We isolated adult cardiomyocytes and fibroblasts, and we assessed the functional role of cardiomyocyte-derived exosomes and their molecular cargo in the activation of cardiac fibroblasts. We identified and biologically validated miR-92a as a transcriptional regulator of mothers against DPP homologues 7 (SMAD7), a known inhibitor of α-smooth muscle actin (α-SMA), established marker of myofibroblast activation. We found that miR-92a was significantly (P < 0.05) upregulated in cardiomyocyte-derived exosomes and in fibroblasts isolated after MI compared with SHAM conditions (n ≥ 6/group). We tested the activation of myofibroblasts by measuring the expression levels of αSMA, periostin, and collagen. Primary isolated cardiac fibroblasts were activated both when incubated with cardiomyocyte-derived exosomes isolated from ischemic cardiomyocytes and when cultured in conditioned medium of post-MI cardiomyocytes, whereas no significant difference was observed following incubation with exosomes or medium from sham cardiomyocytes. These effects were attenuated when an inhibitor of exosome secretion, GW4869 (10 μM for 12 h) was included in the experimental setting. Through means of specific miR-92a mimic and miR-92a inhibitor, we also verified the mechanistic contribution of miR-92a to the activation of cardiac fibroblasts.

CONCLUSIONS

Our results indicate for the first time that miR-92a is transferred to fibroblasts in form of exosomal cargo and is critical for cardiac myofibroblast activation.

摘要

目的

我们假设心肌细胞衍生的外泌体中的特定 microRNAs(miRNAs)在心肌梗死后心肌成纤维细胞的表型转化中起着关键作用。

方法和结果

我们使用了一种已建立的心肌梗死后的小鼠模型,通过结扎左前降支冠状动脉在体内获得。我们分离成年心肌细胞和成纤维细胞,并评估了心肌细胞衍生的外泌体及其分子货物在激活心肌成纤维细胞中的功能作用。我们鉴定并生物学验证了 miR-92a 作为母亲对抗 DPP 同源物 7(SMAD7)的转录调节剂,SMAD7 是已知的α-平滑肌肌动蛋白(α-SMA)抑制剂,是成肌纤维细胞激活的标志物。我们发现与假手术条件(n≥6/组)相比,miR-92a 在心肌细胞衍生的外泌体中和 MI 后分离的成纤维细胞中显著上调(P<0.05)。我们通过测量α-SMA、periostin 和胶原的表达水平来测试成肌纤维细胞的激活。当用来自缺血性心肌细胞的心肌细胞衍生的外泌体孵育时,原代分离的心肌成纤维细胞被激活,并且当在 MI 后心肌细胞的条件培养基中培养时,也观察到明显的激活作用,而在用 sham 心肌细胞的外泌体或培养基孵育时,没有观察到明显的差异。当在实验设置中包含外泌体分泌抑制剂 GW4869(10 μM 孵育 12 h)时,这些作用会减弱。通过使用特异性 miR-92a 模拟物和 miR-92a 抑制剂,我们还验证了 miR-92a 对心肌成纤维细胞激活的机制贡献。

结论

我们的结果首次表明,miR-92a 以外泌体货物的形式转移到成纤维细胞中,并对心肌成纤维细胞的激活至关重要。

https://cdn.ncbi.nlm.nih.gov/pmc/blobs/26a9/7083461/a406860f16c1/EHF2-7-284-g001.jpg

文献AI研究员

20分钟写一篇综述,助力文献阅读效率提升50倍。

立即体验

用中文搜PubMed

大模型驱动的PubMed中文搜索引擎

马上搜索

文档翻译

学术文献翻译模型,支持多种主流文档格式。

立即体验