Suppr超能文献

Argonaute 2 的逆行转运是新生 miRNP 在哺乳动物细胞内质网附着多核糖体上形成的限速步骤。

Retrograde trafficking of Argonaute 2 acts as a rate-limiting step for de novo miRNP formation on endoplasmic reticulum-attached polysomes in mammalian cells.

机构信息

RNA Biology Research Laboratory, Molecular Genetics Division, Council of Scientific and Industrial Research-Indian Institute of Chemical Biology, Kolkata, India.

RNA Biology Research Laboratory, Molecular Genetics Division, Council of Scientific and Industrial Research-Indian Institute of Chemical Biology, Kolkata, India

出版信息

Life Sci Alliance. 2020 Feb 3;3(2). doi: 10.26508/lsa.201800161. Print 2020 Feb.

Abstract

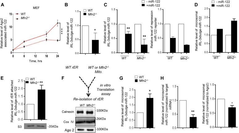
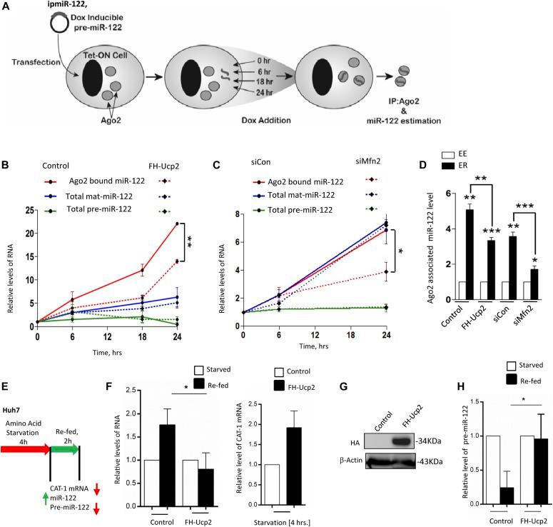
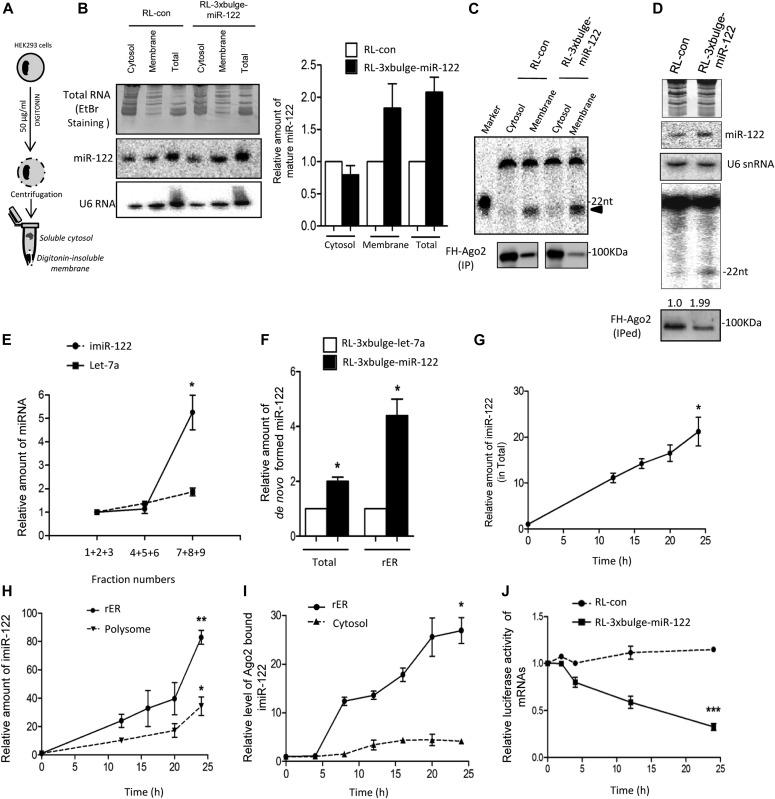
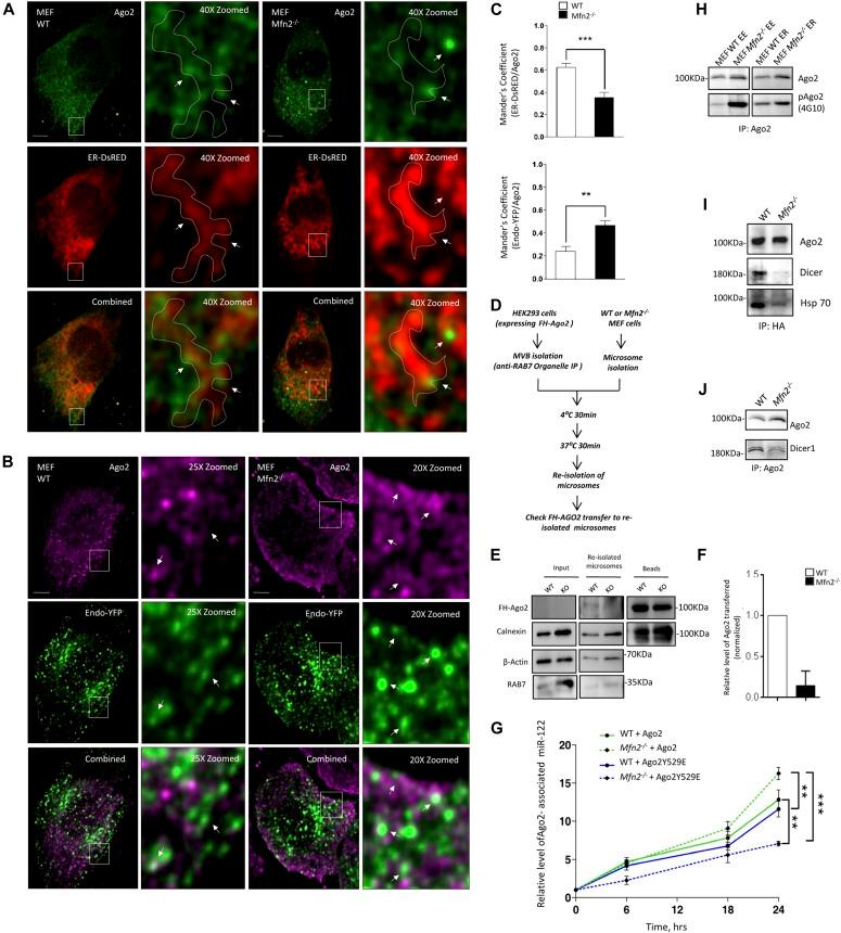
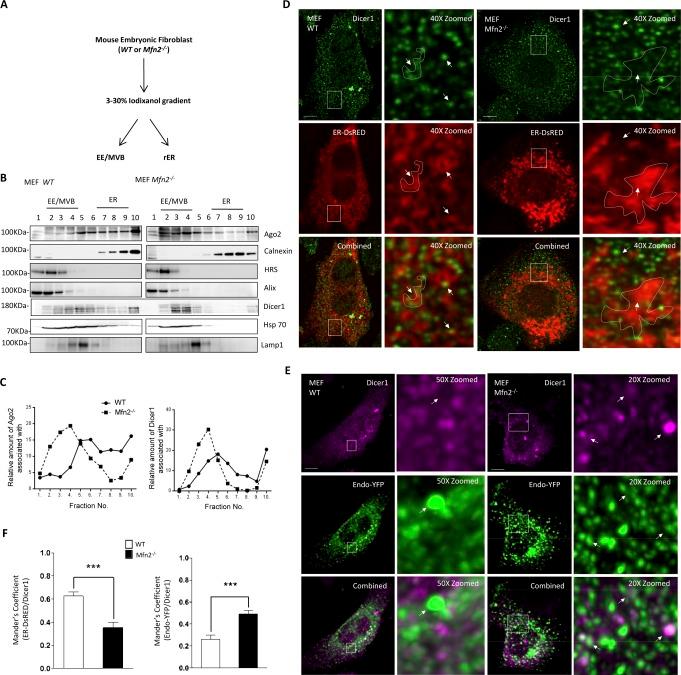
microRNAs are short regulatory RNAs in metazoan cells. Regulation of miRNA activity and abundance is evident in human cells where availability of target messages can influence miRNA biogenesis by augmenting the Dicer1-dependent processing of precursors to mature microRNAs. Requirement of subcellular compartmentalization of Ago2, the key component of miRNA repression machineries, for the controlled biogenesis of miRNPs is reported here. The process predominantly happens on the polysomes attached with the endoplasmic reticulum for which the subcellular Ago2 trafficking is found to be essential. Mitochondrial tethering of endoplasmic reticulum and its interaction with endosomes controls Ago2 availability. In cells with depolarized mitochondria, miRNA biogenesis gets impaired, which results in lowering of de novo-formed mature miRNA levels and accumulation of miRNA-free Ago2 on endosomes that fails to interact with Dicer1 and to traffic back to endoplasmic reticulum for de novo miRNA loading. Thus, mitochondria by sensing the cellular context regulates Ago2 trafficking at the subcellular level, which acts as a rate-limiting step in miRNA biogenesis process in mammalian cells.

摘要

microRNAs 是真核细胞中的短调控 RNA。miRNA 活性和丰度的调节在人类细胞中显而易见,其中目标消息的可用性可以通过增强 Dicer1 对前体到成熟 microRNA 的依赖性加工来影响 miRNA 的生物发生。本文报道了 Ago2(miRNA 抑制机制的关键组成部分)亚细胞区室化对于 miRNA 颗粒的受控生物发生的要求。该过程主要发生在附着在内质网上的多核糖体上,为此发现亚细胞 Ago2 运输是必需的。内质网与内体的线粒体锚定及其相互作用控制着 Ago2 的可用性。在线粒体去极化的细胞中,miRNA 的生物发生受到损害,导致新形成的成熟 miRNA 水平降低,并且 miRNA 无 Ago2 在其内体上积累,无法与 Dicer1 相互作用并返回到内质网进行新的 miRNA 加载。因此,线粒体通过感知细胞环境在亚细胞水平上调节 Ago2 的运输,这在哺乳动物细胞的 miRNA 生物发生过程中充当限速步骤。

https://cdn.ncbi.nlm.nih.gov/pmc/blobs/23ef/6998040/9921e579695b/LSA-2018-00161_Fig1.jpg

文献AI研究员

20分钟写一篇综述,助力文献阅读效率提升50倍。

立即体验

用中文搜PubMed

大模型驱动的PubMed中文搜索引擎

马上搜索

文档翻译

学术文献翻译模型,支持多种主流文档格式。

立即体验