Suppr超能文献

放大发酵产物对角质形成细胞和无毛小鼠紫外线B诱导损伤的皮肤保湿作用

Skin Hydration Effects of Scale-Up Fermented against Ultraviolet B-Induced Damage in Keratinocyte Cells and Hairless Mice.

作者信息

Im A-Rang, Yeon Sung Hum, Ji Kon-Young, Son Rak Ho, Um Key An, Chae Sungwook

机构信息

Herbal Medicine Research Division, Korea Institute of Oriental Medicine, 1672 Yuseong-daero, Yuseong-gu, Daejeon 34054, Republic of Korea.

Biomodulation Major, Department of Agricultural Biotechnology, Seoul National University, Seoul 157-742, Republic of Korea.

出版信息

Evid Based Complement Alternat Med. 2020 Jan 13;2020:3121936. doi: 10.1155/2020/3121936. eCollection 2020.

Abstract

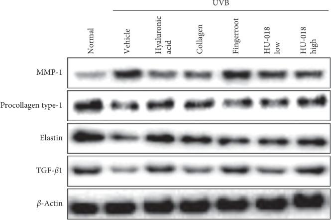
Photoaging occurs by chronic skin exposure to the sun and ultraviolet irradiation and leads to skin aging accompanied by a lack of skin hydration. We previously demonstrated the photoprotective effect of fermented (honeybush) extract on the skin. In this study, we evaluated the skin hydration effects of scaled-up fermented honeybush extract (HU-018) against ultraviolet B (UVB) radiation in HaCaT immortalized human keratinocytes and hairless mice. Pretreating HaCaT cells with HU-018 attenuated the decreased hyaluronic acid (HA) levels and mRNA expression of genes encoding involucrin, filaggrin, and loricrin by UVB irradiation. HU-018 treatment also ameliorated the decreased stratum corneum (SC) hydration and the increased levels of transepidermal water loss (TEWL) and erythema index (EI) in hairless mice after UVB exposure. Microarray analysis revealed changes in gene expression patterns of hyaluronan synthase 2 (Has2), transforming growth factor-beta 3 (TGF-3), and elastin induced by HU-018 in UVB-irradiated mice. Consistently, the mRNA expression of Has2, TGF-3, and elastin was increased by HU-018 treatment. Moreover, HU-018 restored the increased epidermal thickness and collagen disorganization in skin tissue of UVB-irradiated mice. HU-018 treatment also decreased matrix metalloproteinase-1 (MMP-1) expression and increased procollagen type-1, elastin, and TGF-1 expression. In conclusion, we found that HU-018 promoted skin hydration processes in UVB-irradiated keratinocytes and hairless mice by modulating involucrin, filaggrin, loricrin, and HA expression and ameliorating visible signs of photoaging. Thus, HU-018 may be a good skin hydration agent for skin care.

摘要

光老化是由于皮肤长期暴露于阳光和紫外线辐射而发生的,会导致皮肤老化并伴有皮肤水分不足。我们之前证明了发酵(蜜树茶)提取物对皮肤的光保护作用。在本研究中,我们评估了放大规模的发酵蜜树茶提取物(HU - 018)对HaCaT永生化人角质形成细胞和无毛小鼠中紫外线B(UVB)辐射的皮肤保湿效果。用HU - 018预处理HaCaT细胞可减轻UVB照射引起的透明质酸(HA)水平降低以及编码兜甲蛋白、丝聚蛋白和loricrin的基因的mRNA表达降低。HU - 018处理还改善了UVB照射后无毛小鼠角质层(SC)水分减少以及经表皮水分流失(TEWL)和红斑指数(EI)升高的情况。微阵列分析揭示了HU - 018在UVB照射小鼠中诱导的透明质酸合酶2(Has2)、转化生长因子 - β3(TGF - 3)和弹性蛋白基因表达模式的变化。一致地,HU - 018处理使Has2、TGF - 3和弹性蛋白的mRNA表达增加。此外,HU - 018恢复了UVB照射小鼠皮肤组织中增加的表皮厚度和胶原蛋白紊乱。HU - 018处理还降低了基质金属蛋白酶 - 1(MMP - 1)的表达,并增加了I型前胶原、弹性蛋白和TGF - 1的表达。总之,我们发现HU - 018通过调节兜甲蛋白、丝聚蛋白、loricrin和HA的表达以及改善光老化的可见迹象,促进了UVB照射的角质形成细胞和无毛小鼠中的皮肤保湿过程。因此,HU - 018可能是一种用于皮肤护理的良好皮肤保湿剂。

https://cdn.ncbi.nlm.nih.gov/pmc/blobs/b342/6982363/47bd299cff55/ECAM2020-3121936.001.jpg

文献AI研究员

20分钟写一篇综述,助力文献阅读效率提升50倍。

立即体验

用中文搜PubMed

大模型驱动的PubMed中文搜索引擎

马上搜索

文档翻译

学术文献翻译模型,支持多种主流文档格式。

立即体验