Suppr超能文献

环状 RNA_0000140 通过靶向 miR-31 抑制 Hippo 信号通路抑制口腔鳞状细胞癌的生长和转移。

circRNA_0000140 suppresses oral squamous cell carcinoma growth and metastasis by targeting miR-31 to inhibit Hippo signaling pathway.

机构信息

Stomatological Center of Hainan Province, Affiliated Haikou Hospital, Xiangya School of Medicine, Central South University, Haikou, 570208, China.

出版信息

Cell Death Dis. 2020 Feb 10;11(2):112. doi: 10.1038/s41419-020-2273-y.

Abstract

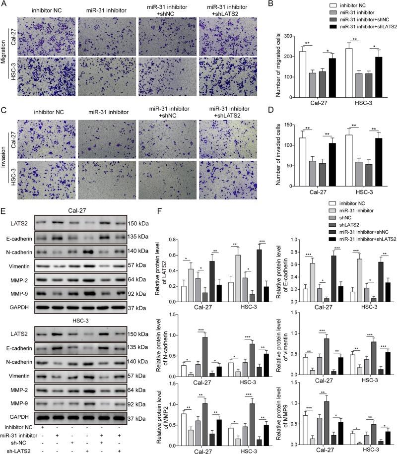
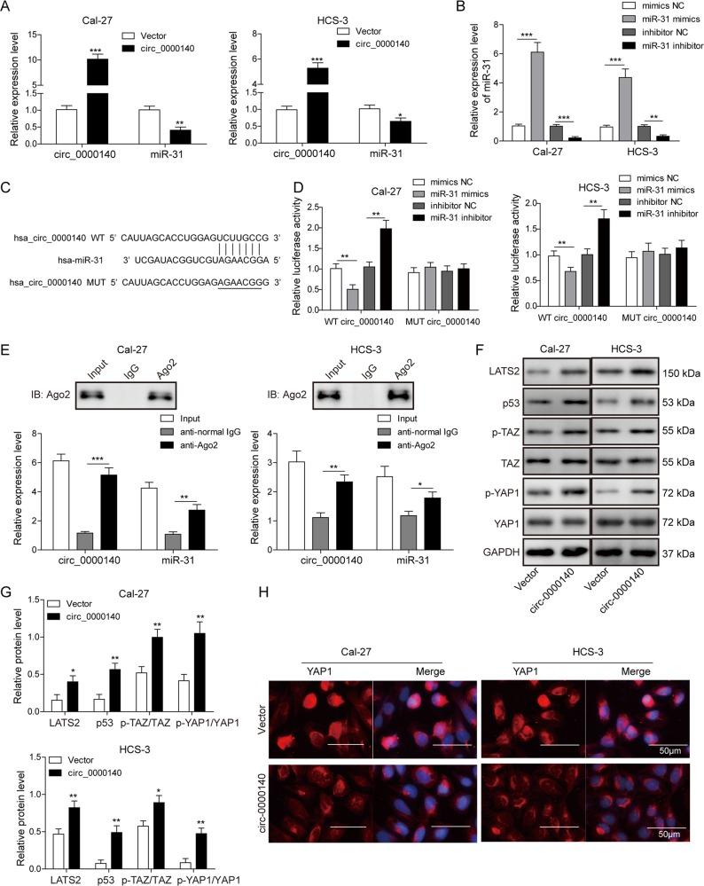
Oral squamous cell carcinoma (OSCC) is one of the most common malignancies and has a poor prognosis. Circular RNA (circRNA) has been increasingly recognized as a crucial contributor to carcinogenesis. circRNA_0000140 has been aberrantly expressed in OSCC, but its role in tumor growth and metastasis remains largely unclear. Sanger sequencing, actinomycin D, and RNase R treatments were used to confirm head-to-tail junction sequences and the stability of circ_0000140. In vitro cell activities, including proliferation, migration, invasion, and apoptosis, were determined by colony formation, transwell, and flow cytometry assays. The expression levels of circ_0000140, Hippo signaling pathway, and serial epithelial-mesenchymal transition (EMT) markers were measured by quantitative real-time PCR, western blotting, immunofluorescence, and immunohistochemistry. Dual luciferase reporter assays and Argonaute 2-RNA immunoprecipitation assays were performed to explore the interplay among circ_0000140, miR-31, and LATS2. Subcutaneous tumor growth was observed in nude mice, in which in vivo metastasis was observed following tail vein injection of OSCC cells. circ_0000140 is derived from exons 7 to 10 of the KIAA0907 gene. It was down-regulated in OSCC tissues and cell lines, and correlated negatively with poor prognostic outcomes in OSCC patients. Gain-of-function experiments demonstrated that circ_0000140 enhancement suppressed cell proliferation, migration, and invasion, and facilitated cell apoptosis in vitro. In xenograft mouse models, overexpression of circ_0000140 was able to repress tumor growth and lung metastasis. Furthermore, mechanistic studies showed that circ_0000140 could bind with miR-31 and up-regulate its target gene LATS2, thus affecting OSCC cellular EMT. Our findings demonstrated the roles of circ_0000140 in OSCC tumorigenesis as well as in metastasis, and circ_0000140 exerts its tumor-suppressing effect through miR-31/LATS2 axis of Hippo signaling pathway in OSCC.

摘要

口腔鳞状细胞癌 (OSCC) 是最常见的恶性肿瘤之一,预后较差。环状 RNA (circRNA) 已被越来越多地认为是致癌作用的关键贡献者。circRNA_0000140 在 OSCC 中表达异常,但它在肿瘤生长和转移中的作用仍很大程度上不清楚。使用 Sanger 测序、放线菌素 D 和 RNase R 处理来确认头尾连接序列和 circ_0000140 的稳定性。通过集落形成、transwell 和流式细胞术测定来确定体外细胞活性,包括增殖、迁移、侵袭和凋亡。通过定量实时 PCR、western blot、免疫荧光和免疫组织化学来测量 circ_0000140、Hippo 信号通路和系列上皮-间充质转化 (EMT) 标志物的表达水平。进行双荧光素酶报告基因检测和 Argonaute 2-RNA 免疫沉淀检测,以探讨 circ_0000140、miR-31 和 LATS2 之间的相互作用。在裸鼠中观察皮下肿瘤生长,并通过 OSCC 细胞尾静脉注射观察体内转移。circ_0000140 来自 KIAA0907 基因的外显子 7 到 10。它在 OSCC 组织和细胞系中下调,并与 OSCC 患者的不良预后结果呈负相关。功能获得实验表明,circ_0000140 增强抑制细胞增殖、迁移和侵袭,并促进体外细胞凋亡。在异种移植小鼠模型中,circ_0000140 的过表达能够抑制肿瘤生长和肺转移。此外,机制研究表明,circ_0000140 可以与 miR-31 结合并上调其靶基因 LATS2,从而影响 OSCC 细胞 EMT。我们的研究结果表明,circ_0000140 在 OSCC 肿瘤发生以及转移中发挥作用,并且 circ_0000140 通过 miR-31/LATS2 轴发挥其肿瘤抑制作用,从而影响 OSCC 的 Hippo 信号通路。

https://cdn.ncbi.nlm.nih.gov/pmc/blobs/be21/7010827/2688233ae2f6/41419_2020_2273_Fig1_HTML.jpg

文献AI研究员

20分钟写一篇综述,助力文献阅读效率提升50倍。

立即体验

用中文搜PubMed

大模型驱动的PubMed中文搜索引擎

马上搜索

文档翻译

学术文献翻译模型,支持多种主流文档格式。

立即体验