Suppr超能文献

褪黑素通过 Toll 样受体 4 信号通路控制杯状细胞分化和抗菌肽产生来控制结肠炎中的微生物群。

Melatonin controls microbiota in colitis by goblet cell differentiation and antimicrobial peptide production through Toll-like receptor 4 signalling.

机构信息

Department of Internal Medicine and Institute of Gastroenterology, Yonsei University College of Medicine, Seoul, Korea.

Brain Korea 21 PLUS Project for Medical Science, Yonsei University College of Medicine, Seoul, Korea.

出版信息

Sci Rep. 2020 Feb 10;10(1):2232. doi: 10.1038/s41598-020-59314-7.

Abstract

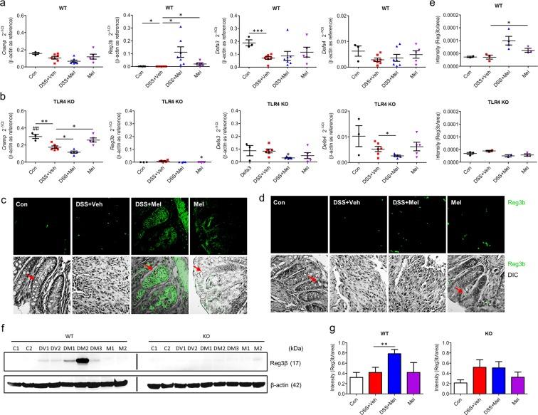
Microbial dysbiosis has long been postulated to be associated with the pathogenesis of inflammatory bowel disease (IBD). Although evidence supporting the anti-colitic effects of melatonin have been accumulating, it is not clear how melatonin affects the microbiota. Herein, we investigated the effects of melatonin on the microbiome in colitis and identified involvement of Toll-like receptor (TLR) 4 signalling in the effects. Melatonin improved dextran sulfate sodium (DSS)-induced colitis and reverted microbial dysbiosis in wild-type (WT) mice but not in TLR4 knockout (KO) mice. Induction of goblet cells was observed with melatonin administration, which was accompanied by suppression of Il1b and Il17a and induction of melatonin receptor and Reg3β, an antimicrobial peptide (AMP) against Gram-negative bacteria. In vitro, melatonin treatment of HT-29 intestinal epithelial cells promotes mucin and wound healing and inhibits growth of Escherichia coli. Herein, we showed that melatonin significantly increases goblet cells, Reg3β, and the ratio of Firmicutes to Bacteriodetes by suppressing Gram-negative bacteria through TLR4 signalling. Our study suggests that sensing of bacteria through TLR4 and regulation of bacteria through altered goblet cells and AMPs is involved in the anti-colitic effects of melatonin. Melatonin may have use in therapeutics for IBD.

摘要

微生物失调长期以来一直被认为与炎症性肠病(IBD)的发病机制有关。尽管越来越多的证据支持褪黑素具有抗结肠炎作用,但褪黑素如何影响微生物群尚不清楚。在此,我们研究了褪黑素对结肠炎中微生物组的影响,并确定了 Toll 样受体(TLR)4 信号在这些影响中的作用。褪黑素改善了葡聚糖硫酸钠(DSS)诱导的结肠炎,并使野生型(WT)小鼠的微生物失调得到逆转,但在 TLR4 敲除(KO)小鼠中则没有。褪黑素给药后观察到杯状细胞的诱导,伴随着 Il1b 和 Il17a 的抑制以及褪黑素受体和 Reg3β的诱导,Reg3β 是一种针对革兰氏阴性菌的抗菌肽(AMP)。在体外,褪黑素处理 HT-29 肠上皮细胞可促进粘蛋白和伤口愈合,并抑制大肠杆菌的生长。在此,我们通过 TLR4 信号抑制革兰氏阴性菌,表明褪黑素通过抑制革兰氏阴性菌,显著增加杯状细胞、Reg3β 和厚壁菌门与拟杆菌门的比例。我们的研究表明,通过 TLR4 感知细菌以及通过改变的杯状细胞和 AMP 调节细菌,参与了褪黑素的抗结肠炎作用。褪黑素可能在 IBD 的治疗中有一定的作用。

https://cdn.ncbi.nlm.nih.gov/pmc/blobs/281d/7010660/f63ae196fe92/41598_2020_59314_Fig1_HTML.jpg

文献AI研究员

20分钟写一篇综述,助力文献阅读效率提升50倍。

立即体验

用中文搜PubMed

大模型驱动的PubMed中文搜索引擎

马上搜索

文档翻译

学术文献翻译模型,支持多种主流文档格式。

立即体验