Suppr超能文献

EFEMP2通过抑制上皮-间质转化(EMT)和下调基质金属蛋白酶来抑制肺癌细胞的侵袭。

EFEMP2 Suppresses the Invasion of Lung Cancer Cells by Inhibiting Epithelial-Mesenchymal Transition (EMT) and Down-Regulating MMPs.

作者信息

Song Liang, Li Xiang-Xin, Liu Xiang-Yan, Wang Zhou, Yu Yang, Shi Mo, Jiang Bin, He Xiao-Peng

机构信息

Department of Thoracic Surgery, Shandong Provincial Hospital Affiliated to Shandong University, Jinan, Shandong, People's Republic of China.

Department of Hematology, Qilu Hospital of Shandong University, Jinan, Shandong, People's Republic of China.

出版信息

Onco Targets Ther. 2020 Feb 14;13:1375-1396. doi: 10.2147/OTT.S236111. eCollection 2020.

Abstract

BACKGROUND

Epidermal growth factor-containing fibulin-like extracellular matrix protein 2 (EFEMP2), also known as fibulin-4, MBP1 and UPH1, is an extracellular matrix protein associated with a variety of tumors. The purpose of this study was to investigate the prognostic value and the function of EFEMP2 in lung cancer.

METHODS

The mRNA and protein expression of EFEMP2 in lung normal and cancer tissues, lung cancer cell lines (A549, H460, H1299 and H1650) and normal epithelial cell line BEAS-2B were evaluated by immunohistochemistry, RT-qPCR and Western blotting. The Public databases (Oncomine and Kaplan-Meier plotter) were used to investigate the prognostic value of EFEMP2 in lung cancer. RNA interference (RNAi) and overexpression transfection were performed to detect the effects of EFEMP2 up- or down-regulation on lung normal and cancer cell proliferation, invasion and metastasis in vitro and in vivo.

RESULTS

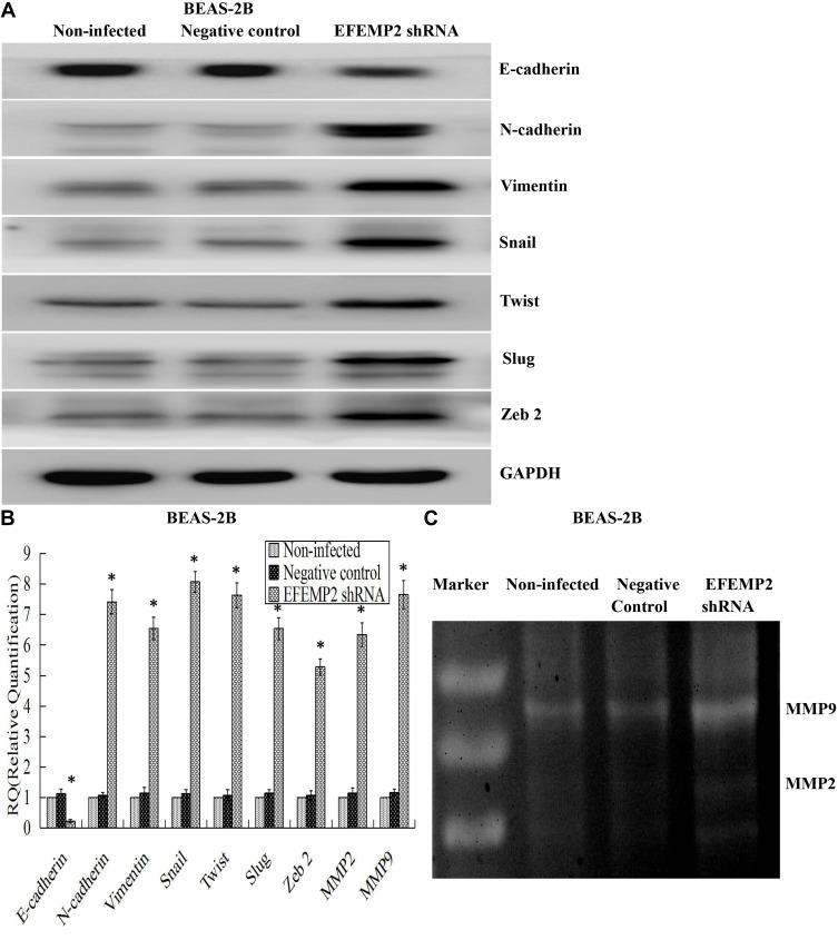
EFEMP2 was lowly expressed in lung cancer tissues and cells, and its low expression was associated with malignant phenotype and poor prognosis of lung cancer. The same conclusion had been drawn from the Public databases. EFEMP2 overexpression significantly inhibited the invasion of lung cancer cells, hampered the process of EMT, and decreased the expression and activity of MMP2 and MMP9, while EFEMP2 knockdown remarkably enhanced the invasion of lung cancer cells, promoted EMT, and increased the expression and activity of MMP2 and MMP9.

CONCLUSION

The low expression of EFEMP2 was detected in lung cancer and was positively correlated with the poor prognosis of patients. EFEMP2 was a tumor suppressor gene that inhibited the progress of lung cancer, which suggested a new research objective for the future studies.

摘要

背景

含表皮生长因子的类纤连蛋白细胞外基质蛋白2(EFEMP2),也称为纤连蛋白-4、MBP1和UPH1,是一种与多种肿瘤相关的细胞外基质蛋白。本研究旨在探讨EFEMP2在肺癌中的预后价值及功能。

方法

采用免疫组织化学、RT-qPCR和蛋白质免疫印迹法评估EFEMP2在肺正常组织和癌组织、肺癌细胞系(A549、H460、H1299和H1650)及正常上皮细胞系BEAS-2B中的mRNA和蛋白表达。利用公共数据库(Oncomine和Kaplan-Meier plotter)研究EFEMP2在肺癌中的预后价值。进行RNA干扰(RNAi)和过表达转染,以检测EFEMP2上调或下调对肺正常细胞和癌细胞体外及体内增殖、侵袭和转移的影响。

结果

EFEMP2在肺癌组织和细胞中低表达,其低表达与肺癌的恶性表型及不良预后相关。公共数据库也得出了相同结论。EFEMP2过表达显著抑制肺癌细胞的侵袭,阻碍上皮-间质转化(EMT)进程,并降低基质金属蛋白酶2(MMP2)和基质金属蛋白酶9(MMP9)的表达及活性,而EFEMP2基因敲低则显著增强肺癌细胞的侵袭,促进EMT,并增加MMP2和MMP9的表达及活性。

结论

肺癌中检测到EFEMP2低表达,且与患者的不良预后呈正相关。EFEMP2是一种抑制肺癌进展的肿瘤抑制基因,为未来研究提供了新的研究目标。

https://cdn.ncbi.nlm.nih.gov/pmc/blobs/4f91/7034775/dd782bd5dbe0/OTT-13-1375-g0001.jpg

文献AI研究员

20分钟写一篇综述,助力文献阅读效率提升50倍。

立即体验

用中文搜PubMed

大模型驱动的PubMed中文搜索引擎

马上搜索

文档翻译

学术文献翻译模型,支持多种主流文档格式。

立即体验