Suppr超能文献

USP22 通过去泛素化输入蛋白 KPNA2 促进 IRF3 的核易位和抗病毒反应。

USP22 promotes IRF3 nuclear translocation and antiviral responses by deubiquitinating the importin protein KPNA2.

机构信息

Department of Virology, College of Life Sciences, Department of Gastrointestinal Surgery, Zhongnan Hospital of Wuhan University, Wuhan, China.

Department of Immunology, Frontier Science Center for Immunology and Metabolism, Medical Research Institute, Wuhan University, Wuhan, China.

出版信息

J Exp Med. 2020 May 4;217(5). doi: 10.1084/jem.20191174.

Abstract

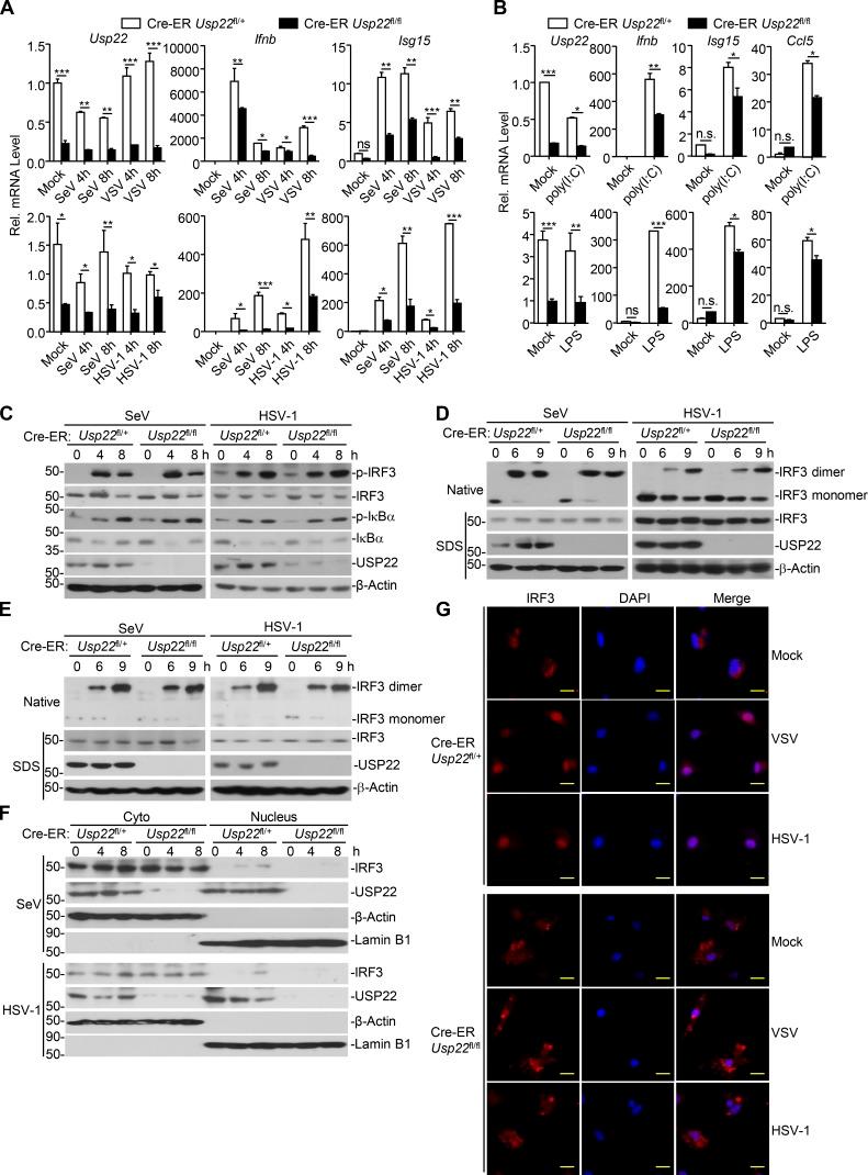
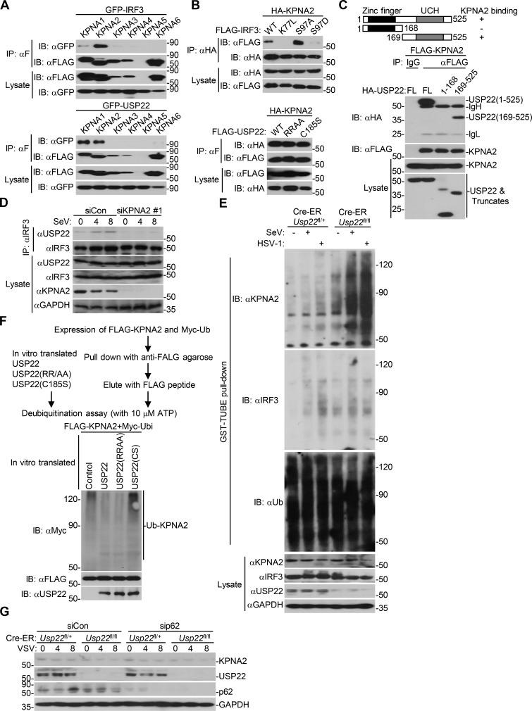
USP22 is a cytoplasmic and nuclear deubiquitinating enzyme, and the functions of cytoplasmic USP22 are unclear. Here, we discovered that cytoplasmic USP22 promoted nuclear translocation of IRF3 by deubiquitianting and stabilizing KPNA2 after viral infection. Viral infection induced USP22-IRF3 association in the cytoplasm in a KPNA2-depedent manner, and knockdown or knockout of USP22 or KPNA2 impaired IRF3 nuclear translocation and expression of downstream genes after viral infection. Consistently, Cre-ER Usp22fl/fl or Lyz2-Cre Usp22fl/fl mice produced decreased levels of type I IFNs after viral infection and exhibited increased susceptibility to lethal viral infection compared with the respective control littermates. Mechanistically, USP22 deubiquitinated and stabilized KPNA2 after viral infection to facilitate efficient nuclear translocation of IRF3. Reconstitution of KPNA2 into USP22 knockout cells restored virus-triggered nuclear translocation of IRF3 and cellular antiviral responses. These findings define a previously unknown function of cytoplasmic USP22 and establish a mechanistic link between USP22 and IRF3 nuclear translocation that expands potential therapeutic strategies for infectious diseases.

摘要

USP22 是一种细胞质和核去泛素化酶,其细胞质功能尚不清楚。在这里,我们发现细胞质 USP22 通过去泛素化和稳定 KPNA2 后促进 IRF3 的核易位。病毒感染以 KPNA2 依赖性方式诱导 USP22-IRF3 在细胞质中的结合,敲低或敲除 USP22 或 KPNA2 会损害病毒感染后 IRF3 的核易位和下游基因的表达。一致地,Cre-ER Usp22fl/fl 或 Lyz2-Cre Usp22fl/fl 小鼠在病毒感染后产生较低水平的 I 型 IFN,并表现出对致命病毒感染的易感性增加,与各自的对照同窝仔相比。在机制上,USP22 在病毒感染后对 KPNA2 进行去泛素化和稳定化,以促进 IRF3 的有效核易位。将 KPNA2 重建到 USP22 敲除细胞中恢复了病毒触发的 IRF3 核易位和细胞抗病毒反应。这些发现定义了细胞质 USP22 的一个以前未知的功能,并在 USP22 和 IRF3 核易位之间建立了一种机制联系,为传染病的潜在治疗策略提供了扩展。

https://cdn.ncbi.nlm.nih.gov/pmc/blobs/c8f5/7201923/2e17ca49bb9f/JEM_20191174_GA.jpg

文献AI研究员

20分钟写一篇综述,助力文献阅读效率提升50倍。

立即体验

用中文搜PubMed

大模型驱动的PubMed中文搜索引擎

马上搜索

文档翻译

学术文献翻译模型,支持多种主流文档格式。

立即体验