Suppr超能文献

β-淀粉样蛋白在 ASC 纤维周围聚集会增强其对小胶质细胞的毒性。

β-Amyloid Clustering around ASC Fibrils Boosts Its Toxicity in Microglia.

机构信息

Department of Neurodegenerative Disease and Gerontopsychiatry/Neurology, University of Bonn Medical Center, 53127 Bonn, Germany.

Institute of Structural Biology, University of Bonn, 53127 Bonn, Germany.

出版信息

Cell Rep. 2020 Mar 17;30(11):3743-3754.e6. doi: 10.1016/j.celrep.2020.02.025.

Abstract

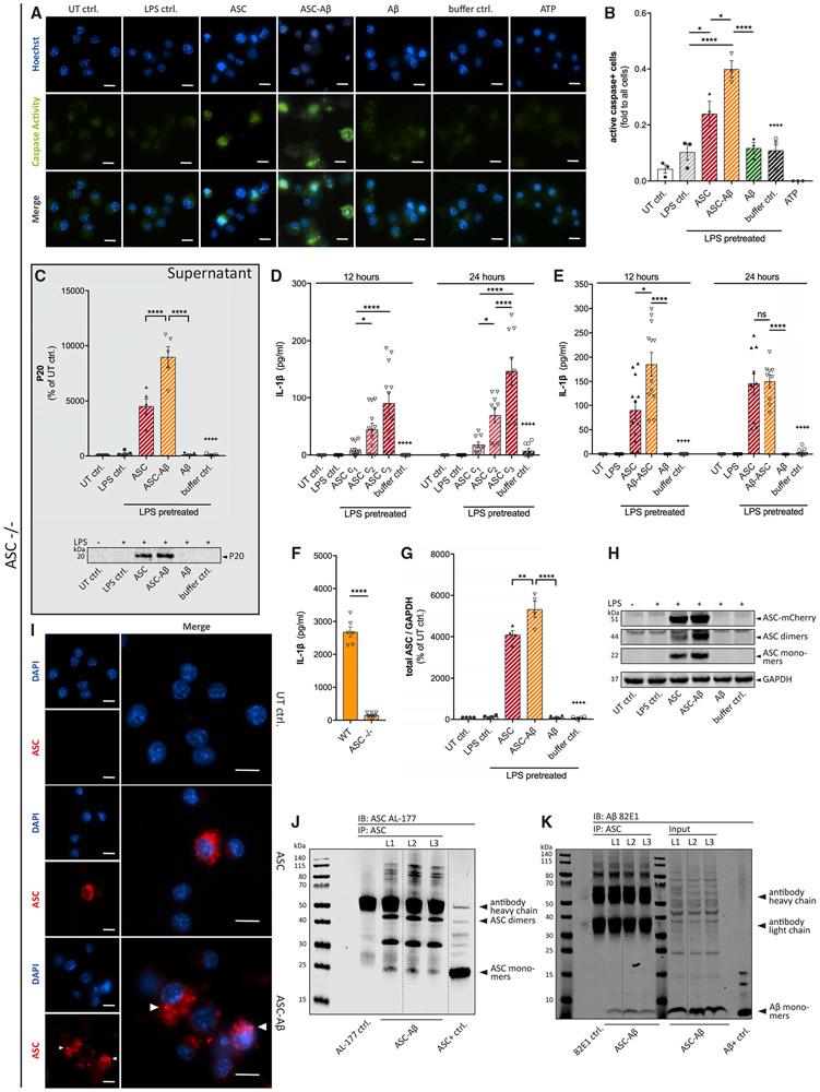
Alzheimer's disease is the world's most common neurodegenerative disorder. It is associated with neuroinflammation involving activation of microglia by β-amyloid (Aβ) deposits. Based on previous studies showing apoptosis-associated speck-like protein containing a CARD (ASC) binding and cross-seeding extracellular Aβ, we investigate the propagation of ASC between primary microglia and the effects of ASC-Aβ composites on microglial inflammasomes and function. Indeed, ASC released by a pyroptotic cell can be functionally built into the neighboring microglia NOD-like receptor protein (NLRP3) inflammasome. Compared with protein-only application, exposure to ASC-Aβ composites amplifies the proinflammatory response, resulting in pyroptotic cell death, setting free functional ASC and inducing a feedforward stimulating vicious cycle. Clustering around ASC fibrils also compromises clearance of Aβ by microglia. Together, these data enable a closer look at the turning point from acute to chronic Aβ-related neuroinflammation through formation of ASC-Aβ composites.

摘要

阿尔茨海默病是世界上最常见的神经退行性疾病。它与神经炎症有关,涉及β-淀粉样蛋白(Aβ)沉积激活小胶质细胞。基于先前的研究表明凋亡相关斑点样蛋白包含一个 CARD(ASC)结合和交叉播种细胞外 Aβ,我们研究 ASC 在原代小胶质细胞之间的传播以及 ASC-Aβ 复合物对小胶质细胞炎症小体和功能的影响。事实上,由细胞焦亡释放的 ASC 可以在功能上整合到相邻的小胶质细胞 NOD 样受体蛋白(NLRP3)炎症小体中。与仅蛋白质应用相比,暴露于 ASC-Aβ 复合物会放大促炎反应,导致细胞焦亡死亡,释放功能正常的 ASC,并诱导正反馈刺激恶性循环。围绕 ASC 纤维的聚集也会损害小胶质细胞对 Aβ 的清除。总之,这些数据使我们能够更深入地了解通过形成 ASC-Aβ 复合物,从急性到慢性 Aβ 相关神经炎症的转折点。

https://cdn.ncbi.nlm.nih.gov/pmc/blobs/abdc/8729885/a4f82b0db1f5/nihms-1686483-f0002.jpg

文献AI研究员

20分钟写一篇综述,助力文献阅读效率提升50倍。

立即体验

用中文搜PubMed

大模型驱动的PubMed中文搜索引擎

马上搜索

文档翻译

学术文献翻译模型,支持多种主流文档格式。

立即体验