Suppr超能文献

Rab25介导的表皮生长因子受体循环利用导致肿瘤获得性放射抗性。

Rab25-Mediated EGFR Recycling Causes Tumor Acquired Radioresistance.

作者信息

Zhang Lu, Xie Bowen, Qiu Yanfang, Jing Di, Zhang Jing, Duan Yumei, Li Zhi, Fan Ming, He Jiang, Qiu Yuanzheng, Tan Rong, Li Jian Jian, Sun Lun-Quan

机构信息

Center for Molecular Medicine, Xiangya Hospital, Central South University, Changsha 410008, China; Key Laboratory of Molecular Radiation Oncology of Hunan Province, Changsha 410008, China; Department of Radiation Oncology, University of California Davis, Sacramento, CA 95817, USA.

Center for Molecular Medicine, Xiangya Hospital, Central South University, Changsha 410008, China.

出版信息

iScience. 2020 Apr 24;23(4):100997. doi: 10.1016/j.isci.2020.100997. Epub 2020 Mar 20.

Abstract

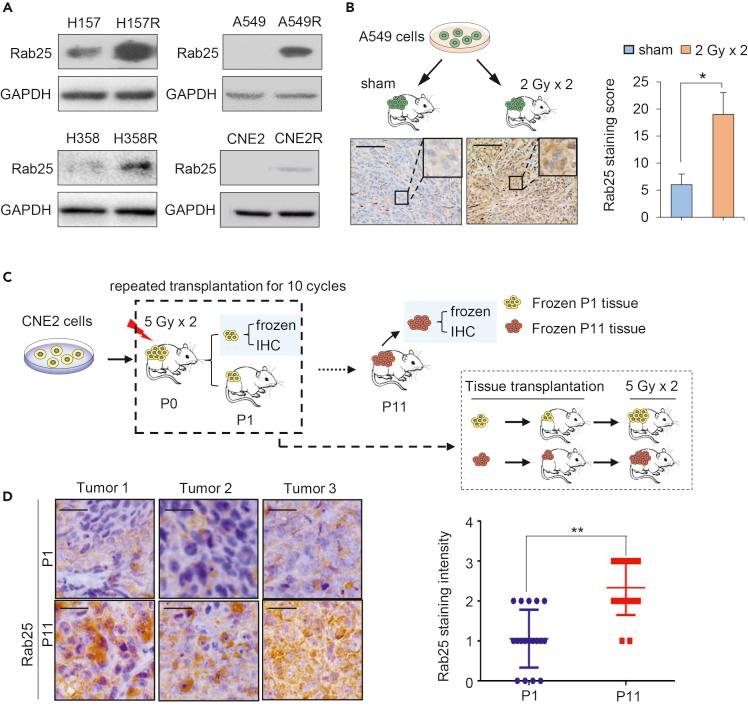
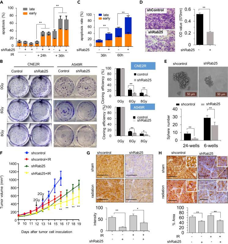
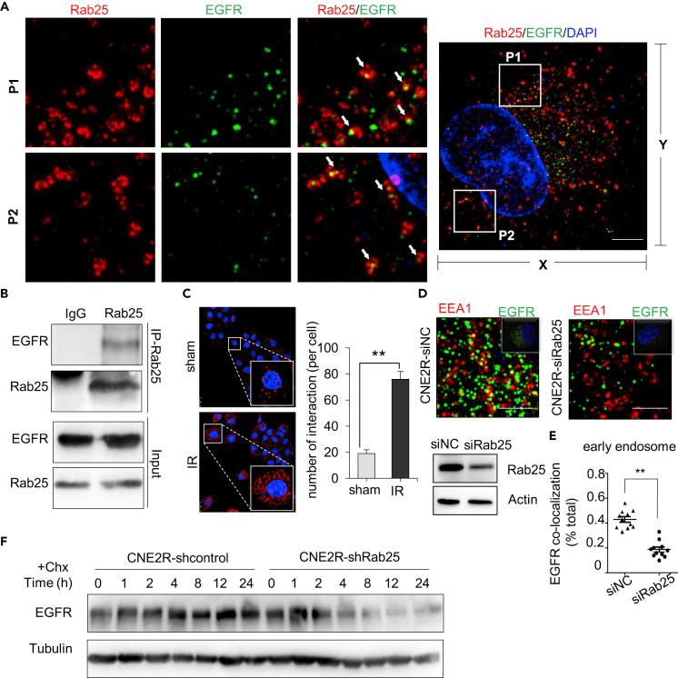
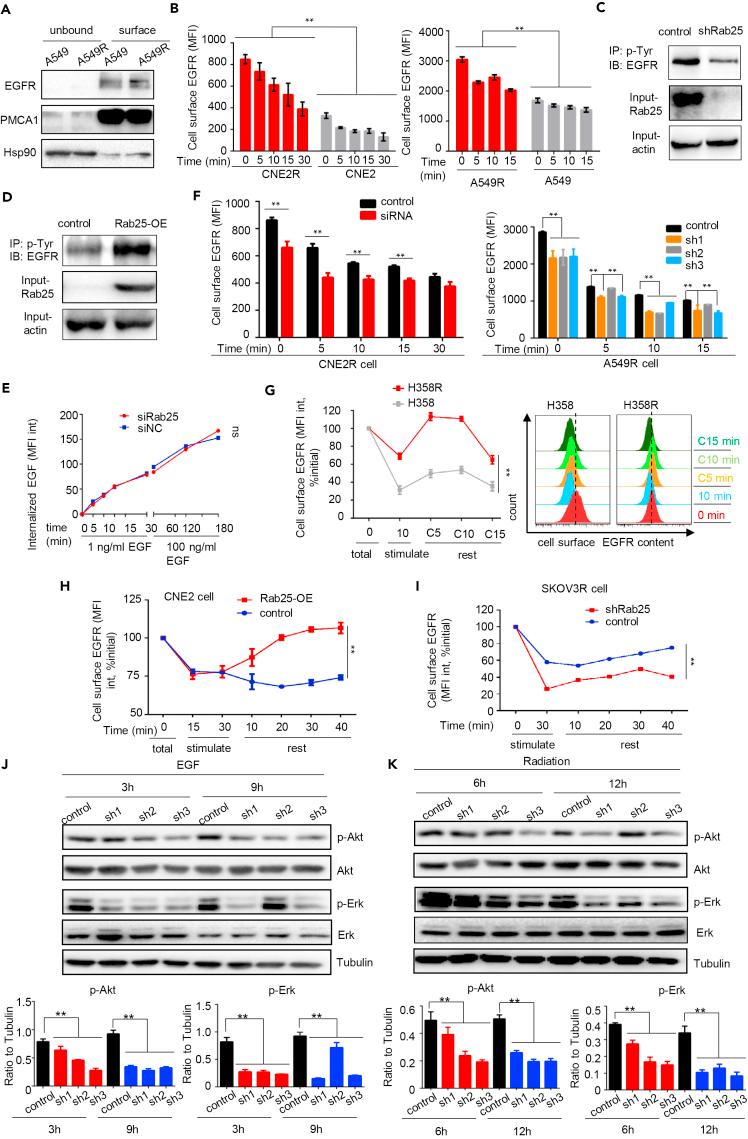
Tumor acquired radioresistance remains as the major limit in cancer radiotherapy (RT). Rab25, a receptor recycling protein, has been reported to be enhanced in tumors with aggressive phenotype and chemotherapy resistance. In this study, elevated Rab25 expression was identified in an array of radioresistant human cancer cell lines, in vivo radioresistant xenograft tumors. Clinical investigation confirmed that Rab25 expression was also associated with a worse prognosis in patients with lung adenocarcinoma (LUAD) and nasopharyngeal carcinoma (NPC). Enhanced activities of EGFR were observed in both NPC and LUAD radioresistant cells. Rab25 interacts with EGFR to enhance EGFR recycling to cell surface and to decrease degradation in cytoplasm. Inhibition of Rab25 showed synergized radiosensitivity with reduced aggressive phenotype. This study provides the clinical and experimental evidence that Rab25 is a potential therapeutic target to alleviate the hyperactive EGFR signaling and to prevent RT-acquired tumor resistance in patients with LUAD and NPC.

摘要

肿瘤获得性放射抗性仍然是癌症放射治疗(RT)的主要限制因素。Rab25是一种受体循环蛋白,据报道在具有侵袭性表型和化疗抗性的肿瘤中表达增强。在本研究中,在一系列放射抗性人癌细胞系、体内放射抗性异种移植肿瘤中鉴定出Rab25表达升高。临床研究证实,Rab25表达在肺腺癌(LUAD)和鼻咽癌(NPC)患者中也与较差的预后相关。在NPC和LUAD放射抗性细胞中均观察到EGFR活性增强。Rab25与EGFR相互作用,以增强EGFR循环至细胞表面并减少其在细胞质中的降解。抑制Rab25显示出与降低侵袭性表型协同的放射敏感性。本研究提供了临床和实验证据,表明Rab25是减轻LUAD和NPC患者中过度活跃的EGFR信号传导以及预防放疗获得性肿瘤抗性的潜在治疗靶点。

https://cdn.ncbi.nlm.nih.gov/pmc/blobs/78da/7132159/ebc70fe48857/fx1.jpg

文献AI研究员

20分钟写一篇综述,助力文献阅读效率提升50倍。

立即体验

用中文搜PubMed

大模型驱动的PubMed中文搜索引擎

马上搜索

文档翻译

学术文献翻译模型,支持多种主流文档格式。

立即体验