Suppr超能文献

卡塔尔不同国籍健康献血者中人类乳头瘤病毒(HPV)和爱泼斯坦-巴尔病毒(EBV)的共流行情况。

Co-prevalence of human Papillomaviruses (HPV) and Epstein-Barr virus (EBV) in healthy blood donors from diverse nationalities in Qatar.

作者信息

Gupta Ishita, Nasrallah Gheyath K, Sharma Anju, Jabeen Ayesha, Smatti Maria K, Al-Thawadi Hamda A, Sultan Ali A, Alkhalaf Moussa, Vranic Semir, Moustafa Ala-Eddin Al

机构信息

1College of Medicine, QU Health, Qatar University, Doha, Qatar.

2Biomedical Research Centre, Qatar University, Doha, Qatar.

出版信息

Cancer Cell Int. 2020 Apr 3;20:107. doi: 10.1186/s12935-020-01190-2. eCollection 2020.

Abstract

BACKGROUND

Infections by both human oncoviruses, human Papillomaviruses (HPV) and Epstein-Barr virus (EBV) are very common in the adult human population and are associated with various malignancies. While HPV is generally transmitted sexually or via skin-to-skin contact, EBV is frequently transmitted by oral secretions, blood transfusions and organ transplants. This study aims to determine the prevalence and circulating genotypes of HPV and EBV in healthy blood donors in Qatar.

METHODS

We explored the co-prevalence of high-risk HPVs and EBV in 378 males and only 7 females blood donors of different nationalities (mainly from Qatar, Egypt, Syria, Jordan, Pakistan, and India) residing in Qatar, using polymerase chain reaction (PCR). DNA was extracted from the buffy coat and genotyping was performed using PCR and nested-PCR targeting E6 and E7 as well as LMP-1 of HPV and EBV, respectively.

RESULTS

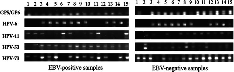
We found that from the total number of 385 cases of healthy blood donors studied, 54.8% and 61% of the samples are HPVs and EBV positive, respectively. Additionally, our data revealed that the co-presence of both high-risk HPVs and EBV is 40.4% of the total samples. More significantly, this study pointed out for the first time that the most frequent high-risk HPV types in Qatar are 59 (54.8%), 31 (53.7%), 52 (49.1%), 51 (48.6%), 58 (47%) and 35 (45.5%), while the most commonly expressed low-risk HPV types are 53 (50.6%), 11 (45.5), 73 (41.7%) and 6 (41.3%), with all the cases showing multiple HPVs infection.

CONCLUSION

In this study, we demonstrated for the first time that HPV and EBV are commonly co-present in healthy blood donors in Qatar. On the other hand, it is important to highlight that these oncoviruses can also be co-present in several types of human cancers where they can cooperate in the initiation and/or progression of these cancers. Therefore, more studies regarding the co-presence of these oncoviruses and their interaction are necessary to understand their cooperative role in human diseases.

摘要

背景

人类致癌病毒,即人乳头瘤病毒(HPV)和爱泼斯坦-巴尔病毒(EBV)的感染在成年人群中非常普遍,且与多种恶性肿瘤相关。HPV通常通过性传播或皮肤接触传播,而EBV则常通过口腔分泌物、输血和器官移植传播。本研究旨在确定卡塔尔健康献血者中HPV和EBV的流行率及循环基因型。

方法

我们使用聚合酶链反应(PCR),对居住在卡塔尔的378名男性和仅7名不同国籍(主要来自卡塔尔、埃及、叙利亚、约旦、巴基斯坦和印度)的女性献血者中高危HPV和EBV的共流行情况进行了探究。从血沉棕黄层中提取DNA,并分别使用针对HPV的E6和E7以及EBV的LMP-1的PCR和巢式PCR进行基因分型。

结果

我们发现,在所研究的385例健康献血者中,分别有54.8%和61%的样本HPV和EBV呈阳性。此外,我们的数据显示,高危HPV和EBV的共存情况占总样本的40.4%。更值得注意的是,本研究首次指出,卡塔尔最常见的高危HPV类型为59型(54.8%)、31型(53.7%)、52型(49.1%)、51型(48.6%)、58型(47%)和35型(45.5%),而最常表达的低危HPV类型为53型(50.6%)、11型(45.5%)、73型(41.7%)和6型(41.3%),所有病例均显示多重HPV感染。

结论

在本研究中,我们首次证明HPV和EBV在卡塔尔健康献血者中普遍共存。另一方面,必须强调的是,这些致癌病毒也可能在几种人类癌症中共存,它们可能在这些癌症的发生和/或发展过程中相互协作。因此,有必要开展更多关于这些致癌病毒共存及其相互作用的研究,以了解它们在人类疾病中的协同作用。

https://cdn.ncbi.nlm.nih.gov/pmc/blobs/4536/7118960/97c56b5d3b7c/12935_2020_1190_Fig1_HTML.jpg

文献AI研究员

20分钟写一篇综述,助力文献阅读效率提升50倍。

立即体验

用中文搜PubMed

大模型驱动的PubMed中文搜索引擎

马上搜索

文档翻译

学术文献翻译模型,支持多种主流文档格式。

立即体验