Suppr超能文献

糖原代谢调节巨噬细胞介导的急性炎症反应。

Glycogen metabolism regulates macrophage-mediated acute inflammatory responses.

机构信息

Department of Immunology, Tongji Medical College, Huazhong University of Science & Technology, Wuhan, 430030, China.

Department of Biochemistry & Molecular Biology, Tongji Medical College, Huazhong University of Science & Technology, Wuhan, 430030, China.

出版信息

Nat Commun. 2020 Apr 14;11(1):1769. doi: 10.1038/s41467-020-15636-8.

Abstract

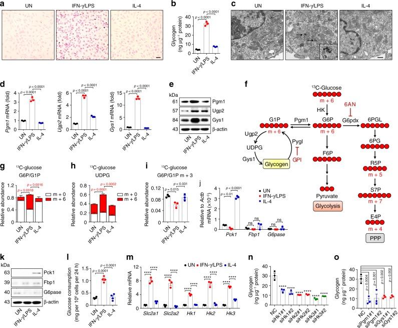
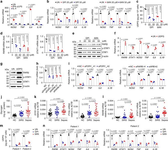
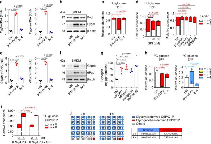
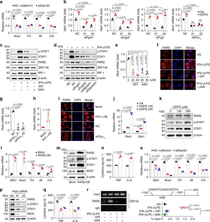
Our current understanding of how sugar metabolism affects inflammatory pathways in macrophages is incomplete. Here, we show that glycogen metabolism is an important event that controls macrophage-mediated inflammatory responses. IFN-γ/LPS treatment stimulates macrophages to synthesize glycogen, which is then channeled through glycogenolysis to generate G6P and further through the pentose phosphate pathway to yield abundant NADPH, ensuring high levels of reduced glutathione for inflammatory macrophage survival. Meanwhile, glycogen metabolism also increases UDPG levels and the receptor P2Y in macrophages. The UDPG/P2Y signaling pathway not only upregulates the expression of STAT1 via activating RARβ but also promotes STAT1 phosphorylation by downregulating phosphatase TC45. Blockade of this glycogen metabolic pathway disrupts acute inflammatory responses in multiple mouse models. Glycogen metabolism also regulates inflammatory responses in patients with sepsis. These findings show that glycogen metabolism in macrophages is an important regulator and indicate strategies that might be used to treat acute inflammatory diseases.

摘要

目前,我们对于糖代谢如何影响巨噬细胞中的炎症通路的理解还不完整。在这里,我们发现糖元代谢是一个控制巨噬细胞介导的炎症反应的重要事件。IFN-γ/LPS 处理刺激巨噬细胞合成糖元,糖元随后通过糖元分解作用转化为 G6P,并进一步通过戊糖磷酸途径产生丰富的 NADPH,从而确保了还原型谷胱甘肽处于高水平,以维持炎症巨噬细胞的存活。同时,糖元代谢还会增加巨噬细胞中 UDPG 水平和 P2Y 受体。UDPG/P2Y 信号通路不仅通过激活 RARβ 而上调 STAT1 的表达,还通过下调磷酸酶 TC45 促进 STAT1 的磷酸化。阻断这条糖元代谢通路会破坏多种小鼠模型中的急性炎症反应。糖元代谢也会调节脓毒症患者的炎症反应。这些发现表明巨噬细胞中的糖元代谢是一个重要的调节因子,并提示了可能用于治疗急性炎症性疾病的策略。

https://cdn.ncbi.nlm.nih.gov/pmc/blobs/5f71/7156451/6da83e2ec4b7/41467_2020_15636_Fig1_HTML.jpg

文献AI研究员

20分钟写一篇综述,助力文献阅读效率提升50倍。

立即体验

用中文搜PubMed

大模型驱动的PubMed中文搜索引擎

马上搜索

文档翻译

学术文献翻译模型,支持多种主流文档格式。

立即体验