Suppr超能文献

卡波西肉瘤相关疱疹病毒裂解复制不依赖于后期促进复合物活性。

Kaposi's Sarcoma-Associated Herpesvirus Lytic Replication Is Independent of Anaphase-Promoting Complex Activity.

机构信息

Translational Cancer Medicine Research Program, University of Helsinki, Helsinki, Finland.

Heinrich Pette Institute, Leibniz Institute for Experimental Virology, Hamburg, Germany.

出版信息

J Virol. 2020 Jun 16;94(13). doi: 10.1128/JVI.02079-19.

Abstract

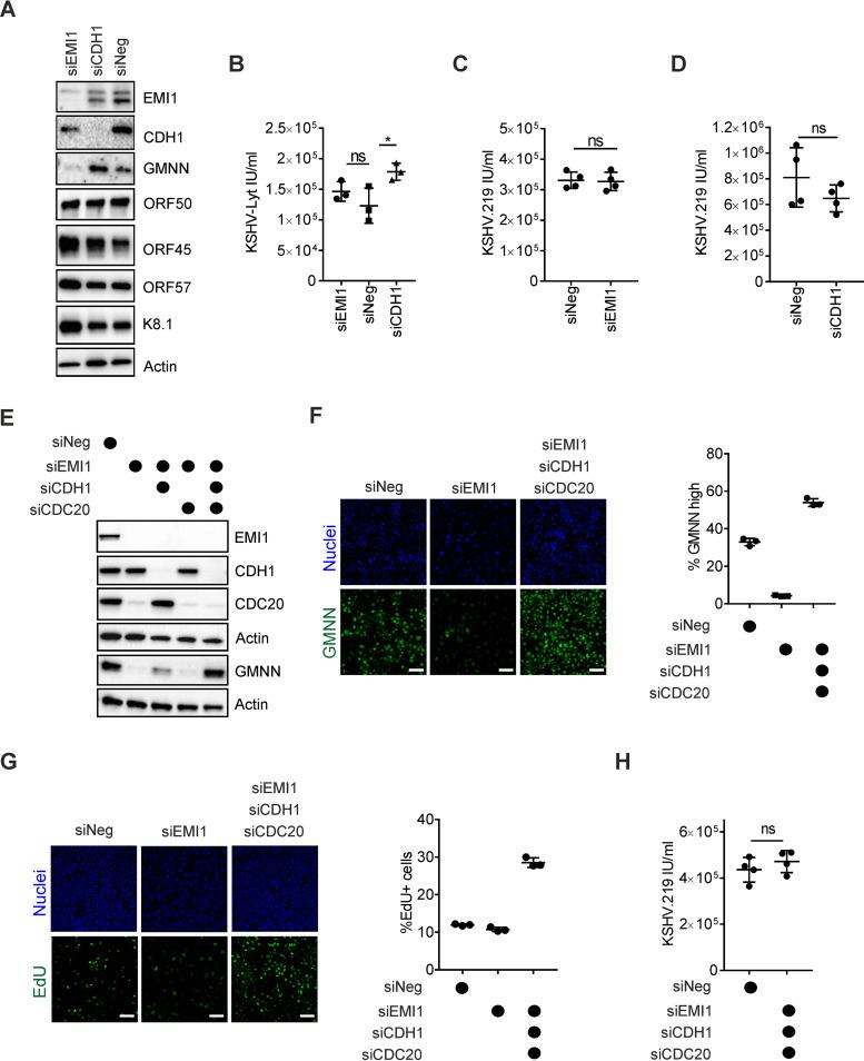
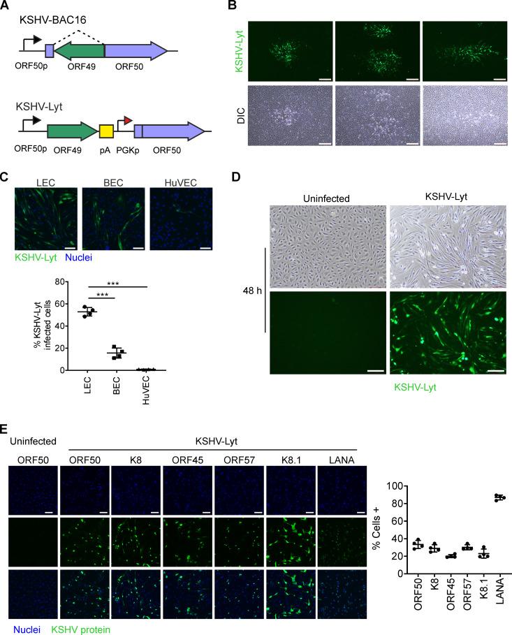
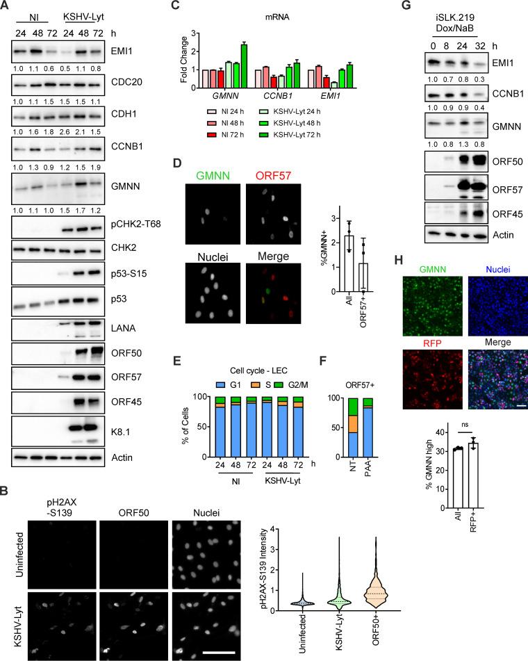
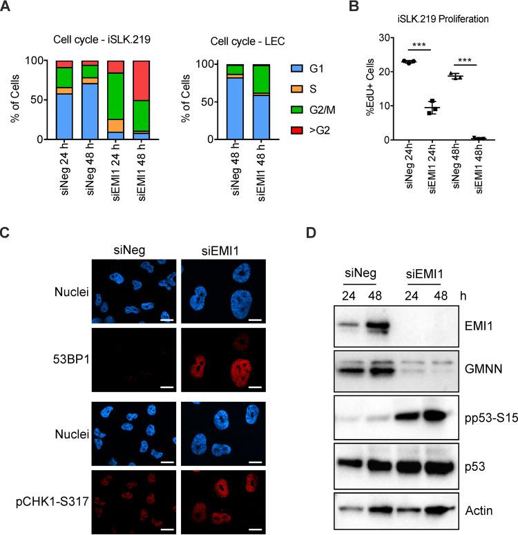
The anaphase-promoting complex, or cyclosome (APC/C), is a large E3 ubiquitin ligase composed of 14 subunits. The activity of APC/C oscillates during the cell cycle to ensure a timely transition through each phase by promoting the degradation of important cell cycle regulators. Of the human herpesviruses, cytomegalovirus (HCMV) and Epstein-Barr virus (EBV) both impair the activity of APC/C during their lytic replication cycle through virus-encoded protein kinases. Here, we addressed whether the oncogenic Kaposi's sarcoma-associated herpesvirus (KSHV) deregulates the activity of APC/C during the lytic replication cycle. To this end, we used the well-characterized iSLK.219 cell model of KSHV infection and established a new infection model of primary lymphatic endothelial cells (LECs) infected with a lytically replicating KSHV BAC16 mutant. In contrast to those of EBV and HCMV, the KSHV lytic cycle occurs while the APC/C is active. Moreover, interfering with the activity of APC/C did not lead to major changes in the production of infectious virus. We further investigated whether rereplication stress induced by the unscheduled activation of the APC/C-CDH1 complex affects the number and integrity of KSHV viral episomes. Deep sequencing of the viral episomes and host chromosomes in iSLK.219 cells revealed that, while distinct regions in the cellular chromosomes were severely affected by rereplication stress, the integrity of the viral episomes remained unaltered. DNA viruses have evolved complex strategies to gain control over the cell cycle. Several of them target APC/C, a key cellular machinery that controls the timely progression of the cell cycle, by either blocking or enhancing its activity. Here, we investigated the activity of APC/C during the lytic replication cycle of KSHV and found that, in contrast to that of KSHV's close relatives EBV and HCMV, KSHV lytic replication occurs while the APC/C is active. Perturbing APC/C activity by depleting a core protein or the adaptor proteins of the catalytic domain, and hence interfering with normal cell-cycle progression, did not affect virus replication. This suggests that KSHV has evolved to replicate independently of the activity of APC/C and in various cell cycle conditions.

摘要

后期促进复合物(APC/C)是一种由 14 个亚基组成的大型 E3 泛素连接酶。APC/C 的活性在细胞周期中呈振荡式变化,通过促进重要细胞周期调节剂的降解,确保细胞及时通过每个阶段。在人类疱疹病毒中,巨细胞病毒(HCMV)和 EBV 均通过病毒编码的蛋白激酶在其裂解复制周期中损害 APC/C 的活性。在这里,我们研究了致癌性卡波西肉瘤相关疱疹病毒(KSHV)是否在其裂解复制周期中调节 APC/C 的活性。为此,我们使用了已被充分研究的 KSHV 感染的 iSLK.219 细胞模型,并建立了一种新的感染裂解复制 KSHV BAC16 突变体的原代淋巴内皮细胞(LEC)的感染模型。与 EBV 和 HCMV 不同,KSHV 的裂解周期发生在 APC/C 活跃的时候。此外,干扰 APC/C 的活性不会导致感染性病毒产量发生重大变化。我们进一步研究了 APC/C-CDH1 复合物的非调度激活引起的复制再同步压力是否会影响 KSHV 病毒外切体的数量和完整性。在 iSLK.219 细胞中对病毒外切体和宿主染色体进行深度测序表明,虽然细胞染色体的不同区域受到复制再同步压力的严重影响,但病毒外切体的完整性保持不变。DNA 病毒已进化出复杂的策略来控制细胞周期。其中一些通过阻断或增强其活性来针对 APC/C,这是一种控制细胞周期适时进展的关键细胞机制。在这里,我们研究了 KSHV 裂解复制周期中 APC/C 的活性,发现与 KSHV 的近亲 EBV 和 HCMV 不同,KSHV 裂解复制发生在 APC/C 活跃的时候。通过耗尽核心蛋白或催化结构域的衔接蛋白来扰乱 APC/C 活性,从而干扰正常的细胞周期进程,不会影响病毒复制。这表明 KSHV 已经进化到可以独立于 APC/C 的活性并在各种细胞周期条件下进行复制。

https://cdn.ncbi.nlm.nih.gov/pmc/blobs/7f40/7307157/7452dbbbb979/JVI.02079-19-f0001.jpg

文献AI研究员

20分钟写一篇综述,助力文献阅读效率提升50倍。

立即体验

用中文搜PubMed

大模型驱动的PubMed中文搜索引擎

马上搜索

文档翻译

学术文献翻译模型,支持多种主流文档格式。

立即体验