Suppr超能文献

化疗诱导的细胞焦亡是由 BAK/BAX-caspase-3-GSDME 通路介导的,并被 2-溴棕榈酸抑制。

Chemotherapy-induced pyroptosis is mediated by BAK/BAX-caspase-3-GSDME pathway and inhibited by 2-bromopalmitate.

机构信息

Anhui Province Key Laboratory of Medical Physics and Technology, Center of Medical Physics and Technology, Hefei Institutes of Physical Science, Chinese Academy of Sciences, 230031, Hefei, China.

University of Science and Technology of China, 230026, Hefei, China.

出版信息

Cell Death Dis. 2020 Apr 24;11(4):281. doi: 10.1038/s41419-020-2476-2.

Abstract

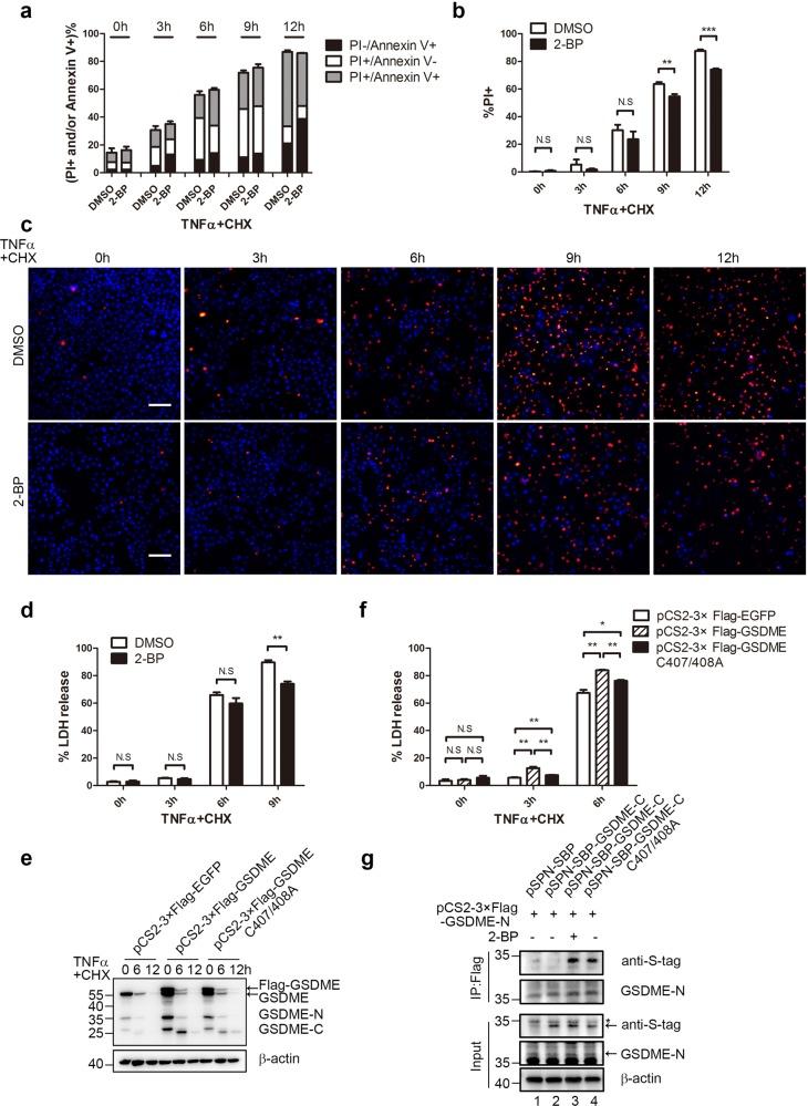
Many chemotherapy treatments induce apoptosis or pyroptosis through BAK/BAX-dependent mitochondrial pathway. BAK/BAX activation causes the mitochondrial outer membrane permeabilization (MOMP), which induces the activation of pro-apoptotic caspase cascade. GSDME cleavage by the pro-apoptotic caspases determines whether chemotherapy drug treatments induce apoptosis or pyroptosis, however, its regulation mechanisms are not clear. In this study, we showed that TNFα+CHX and navitoclax-induced cancer cell pyroptosis through a BAK/BAX-caspase-3-GSDME signaling pathway. GSDME knockdown inhibited the pyroptosis, suggesting the essential role of GSDME in this process. Interestingly, GSDME was found to be palmitoylated on its C-terminal (GSDME-C) during chemotherapy-induced pyroptosis, while 2-bromopalmitate (2-BP) could inhibit the GSDME-C palmitoylation and chemotherapy-induced pyroptosis. Mutation of palmitoylation sites on GSDME also diminished the pyroptosis induced by chemotherapy drugs. Moreover, 2-BP treatment increased the interaction between GSDME-C and GSDME-N, providing a potential mechanism of this function. Further studies indicated several ZDHHC proteins including ZDHHC-2,7,11,15 could interact with and palmitoylate GSDME. Our findings offered new targets to achieve the transformation between chemotherapy-induced pyroptosis and apoptosis.

摘要

许多化疗药物通过 BAK/BAX 依赖性线粒体途径诱导细胞凋亡或细胞焦亡。BAK/BAX 的激活导致线粒体膜通透性改变(MOMP),进而激活促凋亡的半胱氨酸天冬氨酸蛋白酶级联反应。促凋亡的半胱氨酸天冬氨酸蛋白酶对 GSDME 的切割决定了化疗药物治疗是诱导细胞凋亡还是细胞焦亡,但具体的调控机制尚不清楚。在这项研究中,我们表明 TNFα+CHX 和 navitoclax 通过 BAK/BAX-caspase-3-GSDME 信号通路诱导癌细胞焦亡。GSDME 敲低抑制了细胞焦亡,表明 GSDME 在这一过程中起关键作用。有趣的是,我们发现 GSDME 在化疗诱导的细胞焦亡过程中其 C 端(GSDME-C)发生棕榈酰化,而 2-溴棕榈酸(2-BP)可以抑制 GSDME-C 的棕榈酰化和化疗诱导的细胞焦亡。GSDME 棕榈酰化位点的突变也减少了化疗药物诱导的细胞焦亡。此外,2-BP 处理增加了 GSDME-C 和 GSDME-N 之间的相互作用,为这一功能提供了一个潜在的机制。进一步的研究表明,几种 ZDHHC 蛋白,包括 ZDHHC-2、7、11、15,可以与 GSDME 相互作用并对其进行棕榈酰化。我们的研究结果为实现化疗诱导的细胞焦亡和细胞凋亡之间的转化提供了新的靶点。

https://cdn.ncbi.nlm.nih.gov/pmc/blobs/31b6/7181755/bf4f56fd97cb/41419_2020_2476_Fig1_HTML.jpg

文献AI研究员

20分钟写一篇综述,助力文献阅读效率提升50倍。

立即体验

用中文搜PubMed

大模型驱动的PubMed中文搜索引擎

马上搜索

文档翻译

学术文献翻译模型,支持多种主流文档格式。

立即体验