Suppr超能文献

miR-615-3p 通过靶向 PICK1/TGFBRI 轴促进乳腺癌的上皮-间充质转化和转移。

miR-615-3p promotes the epithelial-mesenchymal transition and metastasis of breast cancer by targeting PICK1/TGFBRI axis.

机构信息

Department of Breast Surgery, Harbin Medical University Cancer Hospital, 150 Haping Road, Harbin, 150086, China.

Department of Radiology, The Second Affiliated Hospital of Harbin Medical University, 246 Xuefu Road, Harbin, 150086, China.

出版信息

J Exp Clin Cancer Res. 2020 Apr 26;39(1):71. doi: 10.1186/s13046-020-01571-5.

Abstract

BACKGROUND

Increasing evidence indicates that epithelial-mesenchymal transition (EMT) can be regulated by microRNAs (miRNAs). miR-615-3p was shown to be involved in tumor development. However, the role of miR-615-3p in the metastasis of breast cancer remains largely unknown.

METHODS

The expression of miR-615-3p in breast cancer cells and tissues was assessed by qRT-PCR and situ hybridization assays. Effects of miR-615-3p on tumor metastasis were evaluated with experiments in vitro and mouse model. EMT markers were detected by western blot and immunofluorescence assays. Molecular mechanism of miR-615-3p in the regulation of breast cancer cell metastasis was analyzed by Western Blot, Co-immunoprecipitation, and Luciferase assay.

RESULTS

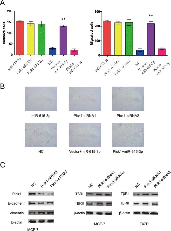
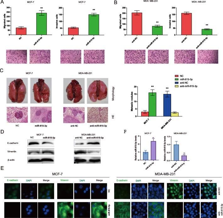
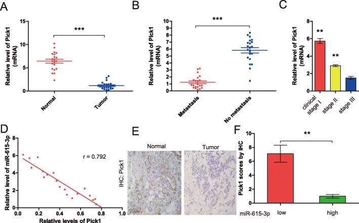
In the present study, we found that miR-615-3p was significantly elevated in breast cancer cells and tissues, especially in those with metastasis. In breast cancer cell lines, stable overexpression of miR-615-3p was sufficient to promote cell motility in vitro, and pulmonary metastasis in vivo, accompanied by the reduced expression of epithelial markers and the increased levels of mesenchymal markers. Further studies revealed that the reintroduction of miR-615-3p increased the downstream signaling of TGF-β, the type I receptor (TGFBRI) by targeting the 3'-untranslated regions (3'-UTR) of PICK1. PICK1 inhibits the binding of DICER1 to Smad2/3 and the processing of pre-miR-615-3p to mature miR-615-3p in breast cancer cells, thus exerting a negative feedback loop.

CONCLUSIONS

Our data highlight an important role of miR-615-3p in the molecular etiology of breast cancer, and implicate the potential application of miR-615-3p in cancer therapy.

摘要

背景

越来越多的证据表明上皮-间充质转化(EMT)可受 microRNAs(miRNAs)调控。miR-615-3p 被证明参与肿瘤发生。然而,miR-615-3p 在乳腺癌转移中的作用仍知之甚少。

方法

通过 qRT-PCR 和原位杂交检测 miR-615-3p 在乳腺癌细胞和组织中的表达。通过体外实验和小鼠模型评估 miR-615-3p 对肿瘤转移的影响。通过 Western blot 和免疫荧光检测 EMT 标志物。通过 Western blot、免疫共沉淀和荧光素酶检测分析 miR-615-3p 调节乳腺癌细胞转移的分子机制。

结果

本研究发现 miR-615-3p 在乳腺癌细胞和组织中显著上调,尤其是在转移的细胞和组织中。在乳腺癌细胞系中,miR-615-3p 的稳定过表达足以促进体外细胞迁移,并伴有上皮标志物表达降低和间质标志物水平升高。进一步的研究表明,通过靶向 PICK1 的 3'非翻译区(3'UTR),miR-615-3p 的再引入增加了 TGF-β、I 型受体(TGFBRI)的下游信号。PICK1 在乳腺癌细胞中抑制 DICER1 与 Smad2/3 的结合以及前 miR-615-3p 向成熟 miR-615-3p 的加工,从而发挥负反馈作用。

结论

我们的数据强调了 miR-615-3p 在乳腺癌分子发病机制中的重要作用,并提示 miR-615-3p 在癌症治疗中的潜在应用。

https://cdn.ncbi.nlm.nih.gov/pmc/blobs/bf2d/7183699/e8f653e3c6b3/13046_2020_1571_Fig1_HTML.jpg

文献AI研究员

20分钟写一篇综述,助力文献阅读效率提升50倍。

立即体验

用中文搜PubMed

大模型驱动的PubMed中文搜索引擎

马上搜索

文档翻译

学术文献翻译模型,支持多种主流文档格式。

立即体验